• Tel: 858.663.9055
  • SeparatorEmail: info@nsjbio.com
  • Tel: 858.663.9055
  • Email: info@nsjbio.com
Home >> Antibodies >> SHMT2 Antibody / Serine hydroxymethyltransferase

SHMT2 Antibody / Serine hydroxymethyltransferase (FY12404)

  Catalog No Formulation Size Price (USD)  
Image FY12404 Adding 0.2 ml of distilled water will yield a concentration of 500 ug/ml 100 ug 449
Bulk quote request
Western blot analysis of SHMT2 using anti-SHMT2 antibody. Electrophoresis was performed on a 10% SDS-PAGE gel at 80V (Stacking gel) / 120V (Resolving gel) for 2 hours. Lane 1: human 293T whole cell lysates, Lane 2: human Hela whole cell lysates, Lane 3: human HepG2 whole cell lysates, Lane 4: human Jurkat whole cell lysates, Lane 5: rat kidney tissue lysates, Lane 6: rat liver tissue lysates, Lane 7: mouse kidney tissue lysates, Lane 8: mouse liver tissue lysates. After electrophoresis, proteins were transferred to a nitrocellulose membrane at 150 mA for 50-90 minutes. Blocked the membrane with 5% non-fat milk/TBS for 1.5 hour at RT. The membrane was incubated with rabbit anti-SHMT2 antibody at 0.5 ug/ml overnight at 4oC, then washed with TBS-0.1%Tween 3 times with 5 minutes each and probed with a goat anti-rabbit IgG-HRP secondary antibody at a dilution of 1:5000 for 1.5 hour at RT. The signal was developed using an ECL Plus Western Blotting Substrate. The expected molecular weight of SHMT2 is ~56 kDa.
Western blot analysis of SHMT2 using anti-SHMT2 antibody. Electrophoresis was performed on a 10% SDS-PAGE gel at 80V (Stacking gel) / 120V (Resolving gel) for 2 hours. Lane 1: human HEL whole cell lysates, Lane 2: human K562 whole cell lysates, Lane 3: human HepG2 whole cell lysates, Lane 4: human Jurkat whole cell lysates, Lane 5: rat C6 whole cell lysates, Lane 6: mouse RAW264.7 whole cell lysates, Lane 7: mouse ANA-1 whole cell lysates. After electrophoresis, proteins were transferred to a nitrocellulose membrane at 150 mA for 50-90 minutes. Blocked the membrane with 5% non-fat milk/TBS for 1.5 hour at RT. The membrane was incubated with rabbit anti-SHMT2 antibody at 1:1000 overnight at 4oC, then washed with TBS-0.1%Tween 3 times with 5 minutes each and probed with a goat anti-rabbit IgG-HRP secondary antibody at a dilution of 1:5000 for 1.5 hour at RT. The signal was developed using an ECL Plus Western Blotting Substrate. The expected molecular weight of SHMT2 is ~56 kDa.
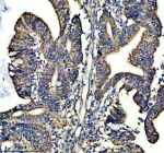
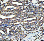
Immunohistochemical staining of SHMT2 using anti-SHMT2 antibody. SHMT2 was detected in a paraffin-embedded section of human colon tissue. Heat mediated antigen retrieval was performed in EDTA buffer (pH 8.0, epitope retrieval solution). The tissue section was blocked with 10% goat serum. The tissue section was then incubated with 2 ug/ml rabbit anti-SHMT2 antibody overnight at 4oC. Peroxidase Conjugated Goat Anti-rabbit IgG was used as secondary antibody and incubated for 30 minutes at 37oC. The tissue section was developed using an HRP secondary and DAB substrate.
Immunohistochemical staining of SHMT2 using anti-SHMT2 antibody. SHMT2 was detected in a paraffin-embedded section of human bladder cancer tissue. Heat mediated antigen retrieval was performed in EDTA buffer (pH 8.0, epitope retrieval solution). The tissue section was blocked with 10% goat serum. The tissue section was then incubated with 2 ug/ml rabbit anti-SHMT2 antibody overnight at 4oC. Peroxidase Conjugated Goat Anti-rabbit IgG was used as secondary antibody and incubated for 30 minutes at 37oC. The tissue section was developed using an HRP secondary and DAB substrate.
Immunohistochemical staining of SHMT2 using anti-SHMT2 antibody. SHMT2 was detected in a paraffin-embedded section of human lung cancer tissue. Heat mediated antigen retrieval was performed in EDTA buffer (pH 8.0, epitope retrieval solution). The tissue section was blocked with 10% goat serum. The tissue section was then incubated with 2 ug/ml rabbit anti-SHMT2 antibody overnight at 4oC. Peroxidase Conjugated Goat Anti-rabbit IgG was used as secondary antibody and incubated for 30 minutes at 37oC. The tissue section was developed using an HRP secondary and DAB substrate.
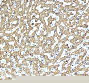
Immunohistochemical staining of SHMT2 using anti-SHMT2 antibody. SHMT2 was detected in a paraffin-embedded section of human liver cancer tissue. Heat mediated antigen retrieval was performed in EDTA buffer (pH 8.0, epitope retrieval solution). The tissue section was blocked with 10% goat serum. The tissue section was then incubated with 2 ug/ml rabbit anti-SHMT2 antibody overnight at 4oC. Peroxidase Conjugated Goat Anti-rabbit IgG was used as secondary antibody and incubated for 30 minutes at 37oC. The tissue section was developed using an HRP secondary and DAB substrate.
Immunohistochemical staining of SHMT2 using anti-SHMT2 antibody. SHMT2 was detected in a paraffin-embedded section of human colon cancer tissue. Heat mediated antigen retrieval was performed in EDTA buffer (pH 8.0, epitope retrieval solution). The tissue section was blocked with 10% goat serum. The tissue section was then incubated with 2 ug/ml rabbit anti-SHMT2 antibody overnight at 4oC. Peroxidase Conjugated Goat Anti-rabbit IgG was used as secondary antibody and incubated for 30 minutes at 37oC. The tissue section was developed using an HRP secondary and DAB substrate.
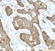
Immunohistochemical staining of SHMT2 using anti-SHMT2 antibody. SHMT2 was detected in a paraffin-embedded section of human thyroid cancer tissue. Heat mediated antigen retrieval was performed in EDTA buffer (pH 8.0, epitope retrieval solution). The tissue section was blocked with 10% goat serum. The tissue section was then incubated with 2 ug/ml rabbit anti-SHMT2 antibody overnight at 4oC. Peroxidase Conjugated Goat Anti-rabbit IgG was used as secondary antibody and incubated for 30 minutes at 37oC. The tissue section was developed using an HRP secondary and DAB substrate.
Immunohistochemical staining of SHMT2 using anti-SHMT2 antibody. SHMT2 was detected in a paraffin-embedded section of human breast cancer tissue. Heat mediated antigen retrieval was performed in EDTA buffer (pH 8.0, epitope retrieval solution). The tissue section was blocked with 10% goat serum. The tissue section was then incubated with 2 ug/ml rabbit anti-SHMT2 antibody overnight at 4oC. Peroxidase Conjugated Goat Anti-rabbit IgG was used as secondary antibody and incubated for 30 minutes at 37oC. The tissue section was developed using an HRP secondary and DAB substrate.
Immunohistochemical staining of SHMT2 using anti-SHMT2 antibody. SHMT2 was detected in a paraffin-embedded section of human liver tissue. Heat mediated antigen retrieval was performed in EDTA buffer (pH 8.0, epitope retrieval solution). The tissue section was blocked with 10% goat serum. The tissue section was then incubated with 2 ug/ml rabbit anti-SHMT2 antibody overnight at 4oC. Peroxidase Conjugated Goat Anti-rabbit IgG was used as secondary antibody and incubated for 30 minutes at 37oC. The tissue section was developed using an HRP secondary and DAB substrate.
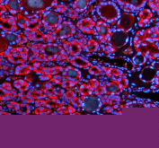
Immunofluorescent staining of FFPE human colon cancer tissue with SHMT2 antibody (red) and DAPI nuclear stain (blue). HIER: steam section in pH8 EDTA buffer for 20 min.
Immunofluorescent staining of FFPE human thyroid cancer tissue with SHMT2 antibody (red) and DAPI nuclear stain (blue). HIER: steam section in pH8 EDTA buffer for 20 min.
Immunofluorescent staining of FFPE human U2OS cells with SHMT2 antibody (green) and DAPI nuclear stain (blue). HIER: steam section in pH6 citrate buffer for 20 min.
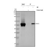
Immunoprecipitation of SHMT2 protein from 500ug of human 293T whole cell lysate with 2ug of SHMT2 antibody.
Flow cytometry analysis of fixed and permeabilized human HepG2 cells with SHMT2 antibody at 1ug/million cells (blocked with goat sera); Red=cells alone, Green=isotype control, Blue= SHMT2 antibody.
Availability 1-2 days
Species Reactivity Human, Mouse, Rat
Format Lyophilized
Host Rabbit
Clonality Polyclonal (rabbit origin)
Isotype Rabbit IgG
Purity Immunogen affinity purified
Buffer Each vial contains 4 mg Trehalose, 0.9 mg NaCl, 0.2 mg Na2HPO4.
UniProt P34897
Localization Cytoplasmic, Nuclear
Applications Western Blot : 0.25-0.5ug/ml
Immunohistochemistry : 2-5ug/ml
Immunofluorescence : 5ug/ml
Immunocytochemistry/Immunofluorescence : 5ug/ml
Immunoprecipitation : 2-4ug/500ug of lysate
Flow Cytometry : 1-3ug/million cells
ELISA : 0.1-0.5ug/ml
Limitations This SHMT2 antibody is available for research use only.
Review this product on BioCompare and get a $20 Amazon gift card

Description

The SHMT2 antibody targets Serine hydroxymethyltransferase, mitochondrial, an enzyme encoded by the SHMT2 gene that catalyzes the reversible conversion of serine and tetrahydrofolate to glycine and 5,10-methylenetetrahydrofolate. This reaction is central to one-carbon metabolism, providing key intermediates for nucleotide synthesis, methylation reactions, and redox regulation. Serine hydroxymethyltransferase, mitochondrial operates within the mitochondrial folate cycle and contributes to biosynthetic and energetic demands in proliferating cells. The SHMT2 antibody provides a reliable reagent for studying one-carbon metabolism, mitochondrial function, and cancer metabolism.

Serine hydroxymethyltransferase, mitochondrial forms homotetramers that utilize pyridoxal phosphate (PLP) as a cofactor for catalysis. Its activity links amino acid metabolism with folate-mediated one-carbon flux, coordinating mitochondrial and cytosolic metabolic networks. The SHMT2 antibody enables visualization of this enzyme within mitochondria, supporting studies of its spatial regulation and contribution to biosynthetic pathways under nutrient limitation or hypoxic conditions. SHMT2 expression increases in rapidly dividing cells to sustain nucleotide production and redox balance.

Aberrant activation of one-carbon metabolism, including SHMT2 upregulation, is a hallmark of cancer metabolism. Overexpression of Serine hydroxymethyltransferase, mitochondrial enhances proliferation and resistance to oxidative stress by supplying reduced folate cofactors and NADPH. The SHMT2 antibody facilitates detection of this metabolic enzyme in tumor tissues and cell lines, aiding evaluation of its role in tumorigenesis and metabolic adaptation. SHMT2 has been proposed as a potential therapeutic target, as inhibition disrupts nucleotide synthesis and redox homeostasis in cancer cells.

Beyond oncology, Serine hydroxymethyltransferase, mitochondrial contributes to neural development, mitochondrial respiration, and cellular methylation capacity. It provides one-carbon units necessary for formate generation and DNA methylation reactions that influence epigenetic regulation. The SHMT2 antibody supports research into these metabolic control points, enabling functional analysis of folate cycle dynamics in metabolic disorders, neurodegenerative diseases, and aging.

The SHMT2 antibody performs effectively in western blotting, immunofluorescence, and immunohistochemistry, showing clear mitochondrial staining patterns. NSJ Bioreagents provides this antibody with validated specificity for consistent performance in biochemistry, metabolism, and cancer biology research. By enabling detailed study of Serine hydroxymethyltransferase, mitochondrial expression and activity, the SHMT2 antibody supports discovery into one-carbon metabolism and mitochondrial regulation under physiological and pathological conditions.

Application Notes

Optimal dilution of the SHMT2 antibody should be determined by the researcher.

Immunogen

E.coli-derived human SHMT2 recombinant protein (Position: A9-H504) was used as the immunogen for the SHMT2 antibody.

Storage

After reconstitution, the SHMT2 antibody can be stored for up to one month at 4oC. For long-term, aliquot and store at -20oC. Avoid repeated freezing and thawing.

Cross
Bulk Quote Request Form
Name*:
Organization*:
Email*:
Phone Number*:
Catalog No.*:
Comments and Specifics(amount, formulation, etc.)*:
Validation code: Captchapackage Image


Can't read the image? click here to refresh.
    *required field

Your bulk quote request has been submitted successfully!

Please contact us if you have any questions.