• Tel: 858.663.9055
  • SeparatorEmail: info@nsjbio.com
  • Tel: 858.663.9055
  • Email: info@nsjbio.com
Home >> Antibodies >> SHD Antibody / SH2 domain-containing adapter protein D

SHD Antibody / SH2 domain-containing adapter protein D (FY12914)

  Catalog No Formulation Size Price (USD)  
Image FY12914 Adding 0.2 ml of distilled water will yield a concentration of 500 ug/ml 100 ug 439
Bulk quote request
Immunofluorescent staining of SHD using anti-SHD antibody (red). SHD was detected in a paraffin-embedded section of human liver cancer tissue. Heat mediated antigen retrieval was performed in EDTA buffer (pH 8.0, epitope retrieval solution). The tissue section was blocked with 10% goat serum. The tissue section was then incubated with 5 ug/ml rabbit anti-SHD antibody overnight at 4oC. Cy3 Conjugated Goat Anti-Rabbit IgG was used as secondary antibody at 1:500 dilution and incubated for 30 minutes at 37oC. The section was counterstained with DAPI nuclear stain (blue). Visualize using a fluorescence microscope and filter sets appropriate for the label used.
Western blot analysis of SHD using anti-SHD antibody. Electrophoresis was performed on a 10% SDS-PAGE gel at 80V (Stacking gel) / 120V (Resolving gel) for 2 hours. Lane 1: human SH-SY5Y whole cell lysates, Lane 2: human SK-N-SH whole cell lysates, Lane 5: rat brain tissue lysates, Lane 6: rat C6 whole cell lysates, Lane 5: rat PC-12 whole cell lysates, Lane 6: mouse brain tissue lysates, Lane 7: mouse NIH/3T3 whole cell lysates, Lane 8: mouse Neuro-2a whole cell lysates. After electrophoresis, proteins were transferred to a nitrocellulose membrane at 150 mA for 50-90 minutes. Blocked the membrane with 5% non-fat milk/TBS for 1.5 hour at RT. The membrane was incubated with rabbit anti-SHD antibody at 0.5 ug/ml overnight at 4oC, then washed with TBS-0.1%Tween 3 times with 5 minutes each and probed with a goat anti-rabbit IgG-HRP secondary antibody at a dilution of 1:5000 for 1.5 hour at RT. The signal was developed using an ECL Plus Western Blotting Substrate. A ~45 kDa band with a closely spaced lower band is detected across samples, running higher than the ~38 kDa prediction. The doublet pattern is consistent with phosphorylation-dependent mobility and minor isoform differences reported for SH2-domain adaptor proteins.
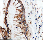
Immunohistochemical staining of SHD using anti-SHD antibody. SHD was detected in a paraffin-embedded section of human colon cancer tissue. Heat mediated antigen retrieval was performed in EDTA buffer (pH 8.0, epitope retrieval solution). The tissue section was blocked with 10% goat serum. The tissue section was then incubated with 2 ug/ml rabbit anti-SHD antibody overnight at 4oC. Peroxidase Conjugated Goat Anti-rabbit IgG was used as secondary antibody and incubated for 30 minutes at 37oC. The tissue section was developed using an HRP secondary and DAB substrate.
Immunohistochemical staining of SHD using anti-SHD antibody. SHD was detected in a paraffin-embedded section of human liver cancer tissue. Heat mediated antigen retrieval was performed in EDTA buffer (pH 8.0, epitope retrieval solution). The tissue section was blocked with 10% goat serum. The tissue section was then incubated with 2 ug/ml rabbit anti-SHD antibody overnight at 4oC. Peroxidase Conjugated Goat Anti-rabbit IgG was used as secondary antibody and incubated for 30 minutes at 37oC. The tissue section was developed using an HRP secondary and DAB substrate.
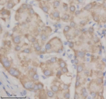
Immunohistochemical staining of SHD using anti-SHD antibody. SHD was detected in a paraffin-embedded section of human liver tissue. Heat mediated antigen retrieval was performed in EDTA buffer (pH 8.0, epitope retrieval solution). The tissue section was blocked with 10% goat serum. The tissue section was then incubated with 2 ug/ml rabbit anti-SHD antibody overnight at 4oC. Peroxidase Conjugated Goat Anti-rabbit IgG was used as secondary antibody and incubated for 30 minutes at 37oC. The tissue section was developed using an HRP secondary and DAB substrate.
Immunohistochemical staining of SHD using anti-SHD antibody. SHD was detected in a paraffin-embedded section of mouse brain tissue. Heat mediated antigen retrieval was performed in EDTA buffer (pH 8.0, epitope retrieval solution). The tissue section was blocked with 10% goat serum. The tissue section was then incubated with 2 ug/ml rabbit anti-SHD antibody overnight at 4oC. Peroxidase Conjugated Goat Anti-rabbit IgG was used as secondary antibody and incubated for 30 minutes at 37oC. The tissue section was developed using an HRP secondary and DAB substrate.
Immunohistochemical staining of SHD using anti-SHD antibody. SHD was detected in a paraffin-embedded section of rat brain tissue. Heat mediated antigen retrieval was performed in EDTA buffer (pH 8.0, epitope retrieval solution). The tissue section was blocked with 10% goat serum. The tissue section was then incubated with 2 ug/ml rabbit anti-SHD antibody overnight at 4oC. Peroxidase Conjugated Goat Anti-rabbit IgG was used as secondary antibody and incubated for 30 minutes at 37oC. The tissue section was developed using an HRP secondary and DAB substrate.
Immunohistochemical staining of SHD using anti-SHD antibody. SHD was detected in a paraffin-embedded section of rat brain tissue. Heat mediated antigen retrieval was performed in EDTA buffer (pH 8.0, epitope retrieval solution). The tissue section was blocked with 10% goat serum. The tissue section was then incubated with 2 ug/ml rabbit anti-SHD antibody overnight at 4oC. Peroxidase Conjugated Goat Anti-rabbit IgG was used as secondary antibody and incubated for 30 minutes at 37oC. The tissue section was developed using an HRP secondary and DAB substrate.
Immunohistochemical staining of SHD using anti-SHD antibody. SHD was detected in a paraffin-embedded section of human colon cancer tissue. Heat mediated antigen retrieval was performed in EDTA buffer (pH 8.0, epitope retrieval solution). The tissue section was blocked with 10% goat serum. The tissue section was then incubated with 2 ug/ml rabbit anti-SHD antibody overnight at 4oC. Peroxidase Conjugated Goat Anti-rabbit IgG was used as secondary antibody and incubated for 30 minutes at 37oC. The tissue section was developed using an HRP secondary and DAB substrate.
Immunofluorescent staining of SHD using anti-SHD antibody. SHD was detected in a paraffin-embedded section of rat brain tissue. Heat mediated antigen retrieval was performed in EDTA buffer (pH 8.0, epitope retrieval solution). The tissue section was blocked with 10% goat serum. The tissue section was then incubated with 5 ug/ml rabbit anti-SHD antibody overnight at 4oC. Cy3 Conjugated Goat Anti-Rabbit IgG was used as secondary antibody at 1:500 dilution and incubated for 30 minutes at 37oC. The section was counterstained with DAPI nuclear stain (blue). Visualize using a fluorescence microscope and filter sets appropriate for the label used.
Flow cytometry analysis of fixed and permeabilized human SH-SY5Y cells with SHC antibody at 1ug/million cells (blocked with goat sera); Red=cells alone, Green=isotype control, Blue= SHD antibody.
Availability 1-2 days
Species Reactivity Human, Mouse, Rat
Format Lyophilized
Clonality Polyclonal (rabbit origin)
Isotype Rabbit IgG
Purity Immunogen affinity purified
Buffer Each vial contains 4 mg Trehalose, 0.9 mg NaCl, 0.2 mg Na2HPO4.
UniProt Q96IW2
Localization Cytoplasmic
Applications Western Blot : 0.25-0.5ug/ml
Immunohistochemistry : 2-5ug/ml
Immunofluorescence : 5ug/ml
Flow Cytometry : 1-3ug/million cells
ELISA : 0.1-0.5ug/ml
Limitations This SHD antibody is available for research use only.
Review this product on BioCompare and get a $20 Amazon gift card

Description

SHD antibody detects SH2 domain-containing adapter protein D, a cytoplasmic adaptor molecule that transduces tyrosine kinase signals controlling cell differentiation, immune activation, and neuronal development. Encoded by the SHD gene on chromosome 4q28.1, this protein contains an SH2 (Src homology 2) domain that recognizes phosphotyrosine motifs and mediates protein-protein interactions within intracellular signaling cascades. SHD acts as a linker between activated receptors and downstream signaling enzymes, contributing to signal amplification and specificity.

Structurally, SHD is a 440-amino-acid protein of approximately 48 kilodaltons featuring a central SH2 domain flanked by low-complexity regions that facilitate interaction with membrane receptors and signaling complexes. It localizes to the cytoplasm and plasma membrane following receptor activation and participates in pathways initiated by growth factors, cytokines, and immune receptors. Through its SH2-mediated binding, SHD recruits kinases and phosphatases that regulate phosphorylation dynamics and cellular response outcomes.

The SHD antibody is widely used in immunology, signal transduction, and neurobiology research to study SH2 domain-mediated signaling, receptor cross-talk, and cytoplasmic adaptor functions. Western blot analysis detects a 48 kilodalton band corresponding to SHD, while immunofluorescence shows diffuse cytoplasmic and membrane-associated staining. This antibody enables detailed examination of signaling network architecture and adaptor-mediated pathway modulation.

Functionally, SHD contributes to the organization of signaling complexes downstream of tyrosine kinases, facilitating rapid response to extracellular cues. It modulates pathways involving MAPK, JAK/STAT, and PI3K signaling cascades, thereby influencing immune activation, synaptic development, and cell fate determination. Dysregulation of SHD expression may alter immune receptor signaling and neuronal differentiation, implicating the protein in both immunological and developmental disorders. The SHD antibody provides a valuable research tool for characterizing intracellular adaptor networks and phosphotyrosine-dependent signaling mechanisms. NSJ Bioreagents validates this antibody for its applications, ensuring specificity and reliability in kinase and receptor signaling research.

Application Notes

Optimal dilution of the SHD antibody should be determined by the researcher.

Immunogen

E.coli-derived human SHD recombinant protein (Position: M1-P340) was used as the immunogen for the SHD antibody.

Storage

After reconstitution, the SHD antibody can be stored for up to one month at 4oC. For long-term, aliquot and store at -20oC. Avoid repeated freezing and thawing.

Cross
Bulk Quote Request Form
Name*:
Organization*:
Email*:
Phone Number*:
Catalog No.*:
Comments and Specifics(amount, formulation, etc.)*:
Validation code: Captchapackage Image


Can't read the image? click here to refresh.
    *required field

Your bulk quote request has been submitted successfully!

Please contact us if you have any questions.