• Tel: 858.663.9055
  • SeparatorEmail: info@nsjbio.com
  • Tel: 858.663.9055
  • Email: info@nsjbio.com
Home >> Antibodies >> SHC Antibody / SHC1 / SHC transforming protein 1

SHC Antibody / SHC1 / SHC transforming protein 1 (R30997)

  Catalog No Formulation Size Price (USD)  
Image R30997 0.5mg/ml if reconstituted with 0.2ml sterile DI water 100 ug 449
Bulk quote request
Western blot testing of SHC antibody and Lane 1: rat brain; and human samples 2: A549; 3: A431; 4: 293T; 5: HeLa; 6: Jurkat cell lysate. Predicted molecular weight ~63kDa.
Western blot testing of SHC antibody and Lane 1: Recombinant human protein 10ng; 2: 5ng; 3: 2.5ng
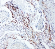
IHC-P: SHC1 antibody testing of human lung cancer tissue. HIER: steamed with pH6 citrate buffer.
ICC testing of SHC antibody and A549 cells
IHC-P: SHC antibody testing of rat brain tissue. HIER: steamed with pH6 citrate buffer.
IHC-F testing of SHC antibody and rat brain tissue
IHC-F testing of SHC antibody and rat intestine tissue
Availability 1-3 business days
Species Reactivity Human, Mouse, Rat
Format Antigen affinity purified
Host Rabbit
Clonality Polyclonal (rabbit origin)
Isotype Rabbit IgG
Purity Antigen affinity
Buffer Lyophilized from 1X PBS with 2.5% BSA and 0.025% sodium azide/thimerosal
UniProt P29353
Localization Cytoplasmic, membranous
Applications Western Blot : 0.5-1ug/ml
IHC (FFPE) : 0.5-1ug/ml
IHC (Frozen) : 0.5-1ug/ml
Immunocytochemistry : 0.5-1ug/ml
Limitations This SHC antibody is available for research use only.
Review this product on BioCompare and get a $20 Amazon gift card

Related Products

  • Applications : WB
    Reactivity : Human, Mouse, Rat
  • Applications : WB, IHC-P, IHC-F
    Reactivity : Human, Mouse, Rat

Description

SHC-transforming protein 1, also known as SHCA, is a protein that in humans is encoded by the SHC1 gene. SCOP classifies the 3D structure as belonging to the SH2 domain family. By Southern analysis of somatic cell hybrids followed by both isotopic and fluorescence in situ hybridization, Huebner et al.(1994) assigned the SHC1 gene to 1q21. Yulug et al.(1995) used fluorescence in situ hybridization to map the SHC1 gene to 1q21. By the same method, an SHC-related sequence (SHCL1) was mapped to 17q21-q22. By FISH analysis and direct sequencing of vectorette library PCR products, Harun et al.(1997) identified SHC1P1, a 3.2-kb processed pseudogene, in Xq12-q13.1. SHC1P1 is 85% identical to mouse SHC p66. Reporter assays showed FKHRL1 transactivates CAT, suggesting a capacity to augment antioxidant scavenging. Nemoto and Finkel(2002) concluded that there is an important functional relationship between forkhead proteins(e.g., FKHRL1), SHC1, and intracellular oxidants, all of which are though to be involved in the aging process in worms and mammals.

Application Notes

The stated application concentrations are suggested starting amounts. Titration of the SHC antibody may be required due to differences in protocols and secondary/substrate sensitivity.

Immunogen

An amino acid sequence from the C-terminus of human SHC (DPSYVNVQNLDKARQAV) was used as the immunogen for this SHC antibody.

Storage

After reconstitution, the SHC antibody can be stored for up to one month at 4oC. For long-term, aliquot and store at -20oC. Avoid repeated freezing and thawing.

Cross
Bulk Quote Request Form
Name*:
Organization*:
Email*:
Phone Number*:
Catalog No.*:
Comments and Specifics(amount, formulation, etc.)*:
Validation code: Captchapackage Image


Can't read the image? click here to refresh.
    *required field

Your bulk quote request has been submitted successfully!

Please contact us if you have any questions.