• Tel: 858.663.9055
  • SeparatorEmail: info@nsjbio.com
  • Tel: 858.663.9055
  • Email: info@nsjbio.com
Home >> Antibodies >> SHANK3 Antibody

SHANK3 Antibody (RQ5762)

  Catalog No Formulation Size Price (USD)  
Image RQ5762 0.5mg/ml if reconstituted with 0.2ml sterile DI water 100 ug 449
Bulk quote request
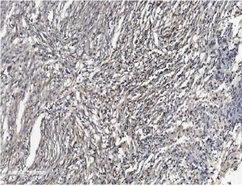
IHC staining of FFPE human meningoma tissue with SHANK3 antibody. HIER: boil tissue sections in pH8 EDTA for 20 min and allow to cool before testing.
IHC staining of FFPE rat brain tissue with SHANK3 antibody. HIER: boil tissue sections in pH8 EDTA for 20 min and allow to cool before testing.
Western blot testing of 1) rat brain and 2) mouse brain lysate with SHANK3 antibody. Expected molecular weight ~185 kDa.
Flow cytometry testing of human Raji cells with SHANK3 antibody at 1ug/million cells (blocked with goat sera); Red=cells alone, Green=isotype control, Blue= SHANK3 antibody.
Flow cytometry testing of mouse HEPA1-6 cells with SHANK3 antibody at 1ug/million cells (blocked with goat sera); Red=cells alone, Green=isotype control, Blue= SHANK3 antibody.
Flow cytometry testing of rat NRK cells with SHANK3 antibody at 1ug/million cells (blocked with goat sera); Red=cells alone, Green=isotype control, Blue= SHANK3 antibody.
Availability 1-3 business days
Species Reactivity Human, Mouse, Rat
Format Antigen affinity purified
Host Rabbit
Clonality Polyclonal (rabbit origin)
Isotype Rabbit IgG
Purity Affinity purified
Buffer Lyophilized from 1X PBS with 2% Trehalose and 0.025% sodium azide
UniProt Q9BYB0
Applications Western Blot : 0.5-1ug/ml
Immunohistochemistry : 1-2ug/ml
Flow Cytometry : 1-3ug/million cells
Direct ELISA : 0.1-0.5ug/ml
Limitations This SHANK3 antibody is available for research use only.
Review this product on BioCompare and get a $20 Amazon gift card

Description

SH3 and multiple ankyrin repeat domains 3 (Shank3), also known as proline-rich synapse-associated protein 2 (ProSAP2), is a protein that in humans is encoded by the SHANK3 gene. This gene is a member of the Shank gene family. Shank proteins are multidomain scaffold proteins of the postsynaptic density that connect neurotransmitter receptors, ion channels, and other membrane proteins to the actin cytoskeleton and G-protein-coupled signaling pathways. Additionally, Shank proteins play a role in synapse formation and dendritic spine maturation. Mutations in this gene are a cause of autism spectrum disorder (ASD), which is characterized by impairments in social interaction and communication, and restricted behavioral patterns and interests. Mutations in this gene also cause schizophrenia type 15, and are a major causative factor in the neurological symptoms of 22q13.3 deletion syndrome, which is also known as Phelan-McDermid syndrome. Additional isoforms have been described for this gene but they have not yet been experimentally verified.

Application Notes

Optimal dilution of the SHANK3 antibody should be determined by the researcher.

Immunogen

Recombinant human protein (amino acids E1391-H1698) was used as the immunogen for the SHANK3 antibody.

Storage

After reconstitution, the SHANK3 antibody can be stored for up to one month at 4oC. For long-term, aliquot and store at -20oC. Avoid repeated freezing and thawing.

Cross
Bulk Quote Request Form
Name*:
Organization*:
Email*:
Phone Number*:
Catalog No.*:
Comments and Specifics(amount, formulation, etc.)*:
Validation code: Captchapackage Image


Can't read the image? click here to refresh.
    *required field

Your bulk quote request has been submitted successfully!

Please contact us if you have any questions.