• Tel: 858.663.9055
  • SeparatorEmail: info@nsjbio.com
  • Tel: 858.663.9055
  • Email: info@nsjbio.com
Home >> Antibodies >> SGPP1 Antibody / Sphingosine-1-phosphate phosphatase 1

SGPP1 Antibody / Sphingosine-1-phosphate phosphatase 1 (F54282)

  Catalog No Formulation Size Price (USD)  
Image F54282-0.4ML In 1X PBS, pH 7.4, with 0.09% sodium azide 0.4 ml 439
Image
F54282-0.08ML In 1X PBS, pH 7.4, with 0.09% sodium azide 0.08 ml 205
Bulk quote request
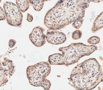
IHC testing of FFPE human placenta tissue with SGPP1 antibody. HIER: steam section in pH9 EDTA for 20 min and allow to cool prior to staining.
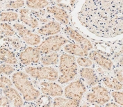
IHC testing of FFPE human kidney tissue with SGPP1 antibody. HIER: steam section in pH9 EDTA for 20 min and allow to cool prior to staining.
Western blot testing of human 1) HACAT and 2) A431 cell lysate with SGPP1 antibody. Predicted molecular weight ~49 kDa.
Western blot testing of human placenta lysate with SGPP1 antibody. Predicted molecular weight ~49 kDa.
Western blot testing of human NCI-H292 cell lysate with SGPP1 antibody. Predicted molecular weight ~49 kDa.
Availability 1-3 business days
Species Reactivity Human
Format Purified
Host Rabbit
Clonality Polyclonal (rabbit origin)
Isotype Rabbit Ig
Purity Antigen affinity purified
UniProt Q9BX95
Localization Cytoplasmic
Applications Western Blot : 1:500-1:2000
Immunohistochemistry (FFPE) : 1:25
Limitations This SGPP1 antibody is available for research use only.
Review this product on BioCompare and get a $20 Amazon gift card

Description

Sphingosine-1-phosphate (S1P) is a bioactive sphingolipid metabolite that regulates diverse biologic processes. SGPP1 catalyzes the degradation of S1P via salvage and recycling of sphingosine into long-chain ceramides [supplied by OMIM].

Application Notes

The stated application concentrations are suggested starting points. Titration of the SGPP1 antibody may be required due to differences in protocols and secondary/substrate sensitivity.

Immunogen

A portion of amino acids 13-42 from the human protein were used as the immunogen for the SGPP1 antibody.

Storage

Aliquot the SGPP1 antibody and store frozen at -20oC or colder. Avoid repeated freeze-thaw cycles.

Cross
Bulk Quote Request Form
Name*:
Organization*:
Email*:
Phone Number*:
Catalog No.*:
Comments and Specifics(amount, formulation, etc.)*:
Validation code: Captchapackage Image


Can't read the image? click here to refresh.
    *required field

Your bulk quote request has been submitted successfully!

Please contact us if you have any questions.