• Tel: 858.663.9055
  • SeparatorEmail: info@nsjbio.com
  • Tel: 858.663.9055
  • Email: info@nsjbio.com
Home >> Antibodies >> SGLT2 Antibody

SGLT2 Antibody (RQ5150)

  Catalog No Formulation Size Price (USD)  
Image RQ5150 0.5mg/ml if reconstituted with 0.2ml sterile DI water 100 ug 449
Bulk quote request
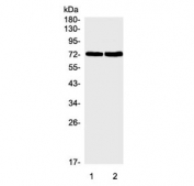
Western blot testing of 1) human HL-60, 2) human ThP-1, 3) rat kidney, 4) rat spleen, 5) rat lung, 6) mouse kidney, 7) mouse spleen and 8) mouse lung lysate with SGLT2 antibody. Predicted molecular weight ~73 kDa.
Western blot testing of 1) rat kidney, 2) rat spleen, 3) rat lung, 4) mouse kidney, 5) mouse spleen and 6) mouse lung lysate with SGLT2 antibody. Predicted molecular weight ~73 kDa.
Western blot testing of human 1) HL-60 and 2) ThP-1 cell lysate with SGLT2 antibody. Predicted molecular weight ~73 kDa.
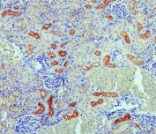
IHC staining of FFPE human renal cancer with SGLT2 antibody. HIER: boil tissue sections in pH6, 10mM citrate buffer, for 20 min and allow to cool before testing.
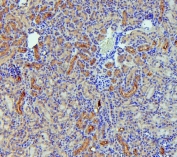
IHC staining of FFPE mouse kidney with SGLT2 antibody. HIER: boil tissue sections in pH6, 10mM citrate buffer, for 20 min and allow to cool before testing.
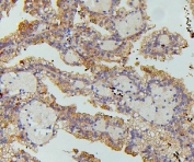
IHC staining of FFPE rat kidney with SGLT2 antibody. HIER: boil tissue sections in pH6, 10mM citrate buffer, for 20 min and allow to cool before testing.
Flow cytometry testing of human HepG2 cells with SGLT2 antibody at 1ug/million cells (blocked with goat sera); Red=cells alone, Green=isotype control, Blue= SGLT2 antibody.
Availability 1-3 business days
Species Reactivity Human, Mouse, Rat
Format Antigen affinity purified
Host Rabbit
Clonality Polyclonal (rabbit origin)
Isotype Rabbit IgG
Purity Affinity purified
Buffer Lyophilized from 1X PBS with 2% Trehalose and 0.025% sodium azide
UniProt P31639
Applications Western Blot : 0.1-0.5ug/ml
Immunohistochemistry (FFPE) : 0.5-1ug/ml
Flow Cytometry : 1-3ug/million cells
Direct ELISA : 0.1-0.5ug/ml
Limitations This SGLT2 antibody is available for research use only.
Review this product on BioCompare and get a $20 Amazon gift card

Description

The sodium/glucose cotransporter 2 (SGLT2) is a protein that in humans is encoded by the SLC5A2 gene. It is mapped to 16p11.2. This gene encodes a member of the sodium glucose cotransporter family which are sodium-dependent glucose transport proteins. The encoded protein is the major cotransporter involved in glucose reabsorption in the kidney. Mutations in this gene are associated with renal glucosuria. Two transcript variants, one protein-coding and one not, have been found for this gene.

Application Notes

Optimal dilution of the SGLT2 antibody should be determined by the researcher.

Immunogen

Amino acids A15-N656 from the human protein were used as the immunogen for the SGLT2 antibody.

Storage

Store the SGLT2 antibody at -20oC.

Cross
Bulk Quote Request Form
Name*:
Organization*:
Email*:
Phone Number*:
Catalog No.*:
Comments and Specifics(amount, formulation, etc.)*:
Validation code: Captchapackage Image


Can't read the image? click here to refresh.
    *required field

Your bulk quote request has been submitted successfully!

Please contact us if you have any questions.