• Tel: 858.663.9055
  • SeparatorEmail: info@nsjbio.com
  • Tel: 858.663.9055
  • Email: info@nsjbio.com
Home >> Antibodies >> SGK3 Antibody / Serine/threonine-protein kinase Sgk3

SGK3 Antibody / Serine/threonine-protein kinase Sgk3 (F54957)

  Catalog No Formulation Size Price (USD)  
Image F54957-0.4ML In 1X PBS, pH 7.4, with 0.09% sodium azide 0.4 ml 439
Image
F54957-0.08ML In 1X PBS, pH 7.4, with 0.09% sodium azide 0.08 ml 205
Bulk quote request
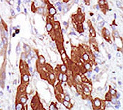
IHC testing of FFPE human cancer tissue with SGK3 antibody. HIER: steam section in pH6 citrate buffer for 20 min and allow to cool prior to staining.
IHC testing of FFPE human hepatocellular carcinoma tissue with SGK3 antibody. HIER: steam section in pH6 citrate buffer for 20 min and allow to cool prior to staining.
Western blot testing of human A375 cell lysate with SGK3 antibody. Predicted molecular weight ~57 kDa.
Availability 1-3 business days
Species Reactivity Human
Format Purified
Host Rabbit
Clonality Polyclonal (rabbit origin)
Isotype Rabbit Ig
Purity Purified
UniProt Q96BR1
Localization Cytoplasmic
Applications Immunohistochemistry (FFPE) : 1:50-1:100
Western Blot : 1:500-1:1000
Limitations This SGK3 antibody is available for research use only.
Review this product on BioCompare and get a $20 Amazon gift card

Description

SGK3, a Ser/Thr protein kinase, is similar to serum- and glucocorticoid-induced protein kinase (SGK), but this gene product is not induced by serum or glucocorticoids. Expression is induced in response to signals that activate phosphatidylinositol 3-kinase, which is also true for SGK.

Application Notes

The stated application concentrations are suggested starting points. Titration of the SGK3 antibody may be required due to differences in protocols and secondary/substrate sensitivity.

Immunogen

A portion of amino acids 1-30 from the human protein was used as the immunogen for the SGK3 antibody.

Storage

Aliquot the SGK3 antibody and store frozen at -20oC or colder. Avoid repeated freeze-thaw cycles.

Cross
Bulk Quote Request Form
Name*:
Organization*:
Email*:
Phone Number*:
Catalog No.*:
Comments and Specifics(amount, formulation, etc.)*:
Validation code: Captchapackage Image


Can't read the image? click here to refresh.
    *required field

Your bulk quote request has been submitted successfully!

Please contact us if you have any questions.