- Tel: 858.663.9055
- 
									 Email: info@nsjbio.com Email: info@nsjbio.com
- Tel: 858.663.9055
- Email: info@nsjbio.com
 Email: info@nsjbio.com
Email: info@nsjbio.com
								Related Products
| 
 | 
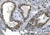
Serine/threonine-protein kinase Sgk1 also known as serum and glucocorticoid-regulated kinase 1 is an enzyme that in humans is encoded by the SGK1 gene. It is mapped to 6q23.2. This gene encodes a serine/threonine protein kinase that plays an important role in cellular stress response. This kinase activates certain potassium, sodium, and chloride channels, suggesting an involvement in the regulation of processes such as cell survival, neuronal excitability, and renal sodium excretion. High levels of expression of this gene may contribute to conditions such as hypertension and diabetic nephropathy. Several alternatively spliced transcript variants encoding different isoforms have been noted for this gene.
Optimal dilution of the SGK1 antibody should be determined by the researcher.
Amino acids LIAFMKQRRMGLNDFIQKIANNS from the human protein were used as the immunogen for the SGK1 antibody.
After reconstitution, the SGK1 antibody can be stored for up to one month at 4oC. For long-term, aliquot and store at -20oC. Avoid repeated freezing and thawing.
 
Your bulk quote request has been submitted successfully!
Please contact us if you have any questions.