• Tel: 858.663.9055
  • SeparatorEmail: info@nsjbio.com
  • Tel: 858.663.9055
  • Email: info@nsjbio.com
Home >> Antibodies >> SFXN4 Antibody / Sideroflexin 4

SFXN4 Antibody / Sideroflexin 4 (FY12979)

  Catalog No Formulation Size Price (USD)  
Image FY12979 Adding 0.2 ml of distilled water will yield a concentration of 500 ug/ml 100 ug 439
Bulk quote request
Immunofluorescent staining of SFXN4 using anti-SFXN4 antibody (red). SFXN4 was detected in a paraffin-embedded section of rat brain tissue. Heat mediated antigen retrieval was performed in EDTA buffer (pH 8.0, epitope retrieval solution). The tissue section was blocked with 10% goat serum. The tissue section was then incubated with 5 ug/ml rabbit anti-SFXN4 antibody overnight at 4oC. Cy3 Conjugated Goat Anti-Rabbit IgG was used as secondary antibody at 1:500 dilution and incubated for 30 minutes at 37oC. The section was counterstained with DAPI nuclear stain (blue). Visualize using a fluorescence microscope and filter sets appropriate for the label used.
Western blot analysis of SFXN4 using anti-SFXN4 antibody. Electrophoresis was performed on a 10% SDS-PAGE gel at 80V (Stacking gel) / 120V (Resolving gel) for 2 hours. Lane 1: human K562 whole cell lysates, Lane 2: human whole cell lysates, Lane 3: rat brain tissue lysates, Lane 4: mouse brain tissue lysates. After electrophoresis, proteins were transferred to a nitrocellulose membrane at 150 mA for 50-90 minutes. Blocked the membrane with 5% non-fat milk/TBS for 1.5 hour at RT. The membrane was incubated with rabbit anti-SFXN4 antibody at 0.5 ug/ml overnight at 4oC, then washed with TBS-0.1%Tween 3 times with 5 minutes each and probed with a goat anti-rabbit IgG-HRP secondary antibody at a dilution of 1:5000 for 1.5 hour at RT. The signal was developed using an ECL Plus Western Blotting Substrate. A specific band was detected for SFXN4 at approximately 38 kDa. The expected molecular weight of SFXN4 is ~38 kDa.
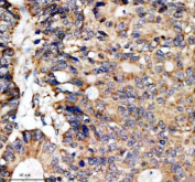
Immunohistochemical staining of SFXN4 using anti-SFXN4 antibody. SFXN4 was detected in a paraffin-embedded section of human colon cancer tissue. Heat mediated antigen retrieval was performed in EDTA buffer (pH 8.0, epitope retrieval solution). The tissue section was blocked with 10% goat serum. The tissue section was then incubated with 2 ug/ml rabbit anti-SFXN4 antibody overnight at 4oC. Peroxidase Conjugated Goat Anti-rabbit IgG was used as secondary antibody and incubated for 30 minutes at 37oC. The tissue section was developed using an HRP secondary and DAB substrate.
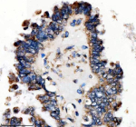
Immunohistochemical staining of SFXN4 using anti-SFXN4 antibody. SFXN4 was detected in a paraffin-embedded section of human ovarian cancer tissue. Heat mediated antigen retrieval was performed in EDTA buffer (pH 8.0, epitope retrieval solution). The tissue section was blocked with 10% goat serum. The tissue section was then incubated with 2 ug/ml rabbit anti-SFXN4 antibody overnight at 4oC. Peroxidase Conjugated Goat Anti-rabbit IgG was used as secondary antibody and incubated for 30 minutes at 37oC. The tissue section was developed using an HRP secondary and DAB substrate.
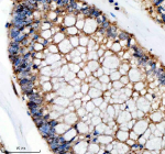
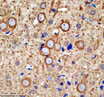
Immunohistochemical staining of SFXN4 using anti-SFXN4 antibody. SFXN4 was detected in a paraffin-embedded section of rat brain tissue. Heat mediated antigen retrieval was performed in EDTA buffer (pH 8.0, epitope retrieval solution). The tissue section was blocked with 10% goat serum. The tissue section was then incubated with 2 ug/ml rabbit anti-SFXN4 antibody overnight at 4oC. Peroxidase Conjugated Goat Anti-rabbit IgG was used as secondary antibody and incubated for 30 minutes at 37oC. The tissue section was developed using an HRP secondary and DAB substrate.
Immunohistochemical staining of SFXN4 using anti-SFXN4 antibody. SFXN4 was detected in a paraffin-embedded section of human colon cancer tissue. Heat mediated antigen retrieval was performed in EDTA buffer (pH 8.0, epitope retrieval solution). The tissue section was blocked with 10% goat serum. The tissue section was then incubated with 2 ug/ml rabbit anti-SFXN4 antibody overnight at 4oC. Peroxidase Conjugated Goat Anti-rabbit IgG was used as secondary antibody and incubated for 30 minutes at 37oC. The tissue section was developed using an HRP secondary and DAB substrate.
Immunofluorescent staining of SFXN4 using anti-SFXN4 antibody (green) and anti-Beta Tubulin antibody (red). SFXN4 was detected in an immunocytochemical section of cells. Enzyme antigen retrieval was performed using IHC enzyme antigen retrieval reagent for 15 mins. The cells were blocked with 10% goat serum. And then incubated with 5 ug/ml rabbit anti-SFXN4 antibody and mouse anti-Beta Tubulin antibody overnight at 4oC. DyLight 488 Conjugated Goat Anti-Rabbit IgG and Cy3 Conjugated Goat Anti-Mouse IgG were used as secondary antibody at 1:500 dilution and incubated for 30 minutes at 37oC. Visualize using a fluorescence microscope and filter sets appropriate for the label used.
Flow Cytometry analysis of cells using anti-SFXN4 antibody. Overlay histogram showing cells stained with (Blue line). To facilitate intracellular staining, cells were fixed with 4% paraformaldehyde and permeabilized with permeabilization buffer. The cells were blocked with 10% normal goat serum. And then incubated with rabbit anti-SFXN4 antibody (1 ug/million cells) for 30 min at 20oC. DyLight 488 conjugated goat anti-rabbit IgG (5-10 ug/million cells) was used as secondary antibody for 30 minutes at 20oC. Isotype control antibody (Green line) was rabbit IgG (1 ug/million cells) used under the same conditions. Unlabelled sample without incubation with primary antibody and secondary antibody (Red line) was used as a blank control.
Availability 1-2 days
Species Reactivity Human, Mouse, Rat
Format Lyophilized
Clonality Polyclonal (rabbit origin)
Isotype Rabbit IgG
Purity Immunogen affinity purified
Buffer Each vial contains 4 mg Trehalose, 0.9 mg NaCl, 0.2 mg Na2HPO4.
UniProt Q6P4A7
Localization Cytoplasm (Mitochondria)
Applications Western Blot : 0.25-0.5ug/ml
Immunohistochemistry : 2-5ug/ml
Immunofluorescence : 5ug/ml
Immunocytochemistry/Immunofluorescence : 5ug/ml
Flow Cytometry : 1-3ug/million cells
ELISA : 0.1-0.5ug/ml
Limitations This SFXN4 antibody is available for research use only.
Review this product on BioCompare and get a $20 Amazon gift card

Description

SFXN4 antibody detects Sideroflexin-4, a mitochondrial inner membrane protein involved in iron-sulfur cluster biogenesis and mitochondrial respiration. The UniProt recommended name is Sideroflexin-4 (SFXN4), a member of the sideroflexin family of transporters that regulate iron metabolism and mitochondrial energy production. SFXN4 plays a crucial role in maintaining mitochondrial homeostasis by supporting the synthesis and incorporation of iron-sulfur cofactors into respiratory chain complexes.

Functionally, SFXN4 antibody identifies a 317-amino-acid transmembrane protein that contributes to the maturation of mitochondrial iron-sulfur (Fe-S) proteins. SFXN4 facilitates iron import into the mitochondrial matrix and interacts with key components of the Fe-S assembly machinery, including ISCU and NFS1. Through this interaction, it ensures the proper incorporation of Fe-S clusters into enzymes critical for electron transport, oxidative phosphorylation, and metabolic regulation. Disruption of SFXN4 impairs mitochondrial respiration, leading to decreased ATP production and increased oxidative stress.

The SFXN4 gene is located on chromosome 10q26.3 and encodes a protein with multiple transmembrane domains localized to the inner mitochondrial membrane. It belongs to the sideroflexin family, which includes five human homologs (SFXN1-SFXN5) with distinct but overlapping roles in amino acid and iron transport. Among these, SFXN4 has a specialized role in mitochondrial iron utilization and heme biosynthesis. Loss-of-function mutations in SFXN4 cause mitochondrial complex I and III deficiencies, resulting in mitochondrial myopathy, anemia, and developmental delay.

In normal physiology, SFXN4 maintains iron homeostasis and supports mitochondrial protein synthesis. It is essential for cell survival under metabolic stress conditions requiring efficient oxidative phosphorylation. Dysfunction of SFXN4 affects the activity of Fe-S cluster-dependent enzymes such as aconitase and succinate dehydrogenase, contributing to defects in the tricarboxylic acid (TCA) cycle and respiratory chain function.

SFXN4 antibody is widely used in mitochondrial biology, metabolism, and bioenergetics research. It is valuable for western blotting, immunofluorescence, and mitochondrial fractionation studies to analyze SFXN4 expression and localization. In disease research, this antibody helps investigate mitochondrial dysfunctions linked to anemia, neurodegeneration, and metabolic syndromes. Reduced SFXN4 expression is associated with impaired mitochondrial translation and decreased oxidative capacity, while overexpression may alter cellular redox balance.

Structurally, SFXN4 contains multiple hydrophobic helices forming a membrane-spanning topology that mediates metabolite and ion transport. Its function depends on coordination with mitochondrial carrier proteins and iron chaperones. NSJ Bioreagents provides SFXN4 antibody reagents validated for use in mitochondrial metabolism, iron homeostasis, and respiratory chain research.

Application Notes

Optimal dilution of the SFXN4 antibody should be determined by the researcher.

Immunogen

E.coli-derived human SFXN4 recombinant protein (Position: M1-V337) was used as the immunogen for the SFXN4 antibody.

Storage

After reconstitution, the SFXN4 antibody can be stored for up to one month at 4oC. For long-term, aliquot and store at -20oC. Avoid repeated freezing and thawing.

Cross
Bulk Quote Request Form
Name*:
Organization*:
Email*:
Phone Number*:
Catalog No.*:
Comments and Specifics(amount, formulation, etc.)*:
Validation code: Captchapackage Image


Can't read the image? click here to refresh.
    *required field

Your bulk quote request has been submitted successfully!

Please contact us if you have any questions.