• Tel: 858.663.9055
  • SeparatorEmail: info@nsjbio.com
  • Tel: 858.663.9055
  • Email: info@nsjbio.com
Home >> Antibodies >> SF3B4 Antibody / Splicing factor 3B subunit 4

SF3B4 Antibody / Splicing factor 3B subunit 4 (RQ4925)

  Catalog No Formulation Size Price (USD)  
Image RQ4925 0.5mg/ml if reconstituted with 0.2ml sterile DI water 100 ug 449
Bulk quote request
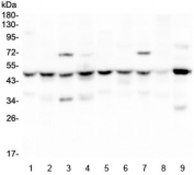
Western blot testing of human 1) placenta, 2) MDA-MB-231, 3) U-2 OS, 4) HL-60, 5) A549, 6) PC-3, 7) ThP-1 and 8) U-87 MG lysate with SF3B4 antibody at 0.5ug/ml. Predicted molecular weight ~44 kDa but routinely observed at ~49 kDa.
Western blot testing of 1) rat brain, 2) rat lung, 3) rat liver, 4) rat stomach, 5) mouse brain, 6) mouse lung, 7) mouse liver, 8) mouse stomach and 9) mouse NIH3T3 lysate with SF3B4 antibody at 0.5ug/ml. Predicted molecular weight ~44 kDa but routinely observed at ~49 kDa.
Availability 1-3 business days
Species Reactivity Human, Mouse, Rat
Format Antigen affinity purified
Host Rabbit
Clonality Polyclonal (rabbit origin)
Isotype Rabbit IgG
Purity Antigen affinity purified
Buffer Lyophilized from 1X PBS with 2% Trehalose and 0.025% sodium azide
UniProt Q15427
Applications Western Blot : 0.5-1ug/ml
Limitations This SF3B4 antibody is available for research use only.
Review this product on BioCompare and get a $20 Amazon gift card

Related Products

Description

Splicing factor 3B subunit 4 is a protein that in humans is encoded by the SF3B4 gene. This gene encodes one of four subunits of the splicing factor 3B. The protein encoded by this gene cross-links to a region in the pre-mRNA immediately upstream of the branchpoint sequence in pre-mRNA in the prespliceosomal complex A. It also may be involved in the assembly of the B, C and E spliceosomal complexes. In addition to RNA-binding activity, this protein interacts directly and highly specifically with subunit 2 of the splicing factor 3B. This protein contains two N-terminal RNA-recognition motifs (RRMs), consistent with the observation that it binds directly to pre-mRNA.

Application Notes

Optimal dilution of the SF3B4 antibody should be determined by the researcher.

Immunogen

Amino acids LDEKVSEPLLWELFLQA from the human protein were used as the immunogen for the SF3B4 antibody.

Storage

After reconstitution, the SF3B4 antibody can be stored for up to one month at 4oC. For long-term, aliquot and store at -20oC. Avoid repeated freezing and thawing.

Cross
Bulk Quote Request Form
Name*:
Organization*:
Email*:
Phone Number*:
Catalog No.*:
Comments and Specifics(amount, formulation, etc.)*:
Validation code: Captchapackage Image


Can't read the image? click here to refresh.
    *required field

Your bulk quote request has been submitted successfully!

Please contact us if you have any questions.