• Tel: 858.663.9055
  • SeparatorEmail: info@nsjbio.com
  • Tel: 858.663.9055
  • Email: info@nsjbio.com
Home >> Antibodies >> SF3a120 Antibody / Splicing factor 3A subunit 1 / SF3A1

SF3a120 Antibody / Splicing factor 3A subunit 1 / SF3A1 (RQ7633)

  Catalog No Formulation Size Price (USD)  
Image RQ7633 0.5mg/ml if reconstituted with 0.2ml sterile DI water 100 ug 449
Bulk quote request
Western blot testing of 1) rat lung, 2) rat brain, 3) rat thymus, 4) rat C6, 5) mouse lung, 6) mouse brain, 7) mouse thymus and 8) mouse Neuro-2a cell lysate with SF3a120 antibody. Predicted molecular weight ~89 kDa but commonly observed at ~120 kDa.
Western blot testing of human 1) HeLa, 2) Jurkat, 3) K562, 4) 293T, 5) U-251, 6) Daudi and 7) MOLT4 cell lysate with SF3a120 antibody. Predicted molecular weight ~89 kDa but commonly observed at ~120 kDa.
IHC staining of FFPE human ovarian serous cancer tissue with SF3a120 antibody. HIER: boil tissue sections in pH8 EDTA for 20 min and allow to cool before testing.
IHC staining of FFPE human larynx squamous cell carcinoma tissue with SF3a120 antibody. HIER: boil tissue sections in pH8 EDTA for 20 min and allow to cool before testing.
IHC staining of FFPE human lung adenocarcinoma tissue with SF3a120 antibody. HIER: boil tissue sections in pH8 EDTA for 20 min and allow to cool before testing.
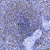
IHC staining of FFPE human spleen tissue with SF3a120 antibody. HIER: boil tissue sections in pH8 EDTA for 20 min and allow to cool before testing.
IHC staining of FFPE human prostate adenocarcinoma tissue with SF3a120 antibody. HIER: boil tissue sections in pH8 EDTA for 20 min and allow to cool before testing.
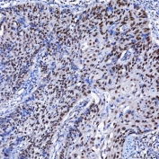
IHC staining of FFPE human liver cancer tissue with SF3a120 antibody. HIER: boil tissue sections in pH8 EDTA for 20 min and allow to cool before testing.
IHC staining of FFPE rat kidney tissue with SF3a120 antibody. HIER: boil tissue sections in pH8 EDTA for 20 min and allow to cool before testing.
Immunofluorescent staining of FFPE human intestinal cancer tissue with SF3a120 antibody. HIER: steam section in pH8 EDTA buffer for 20 min.
Immunofluorescent staining of FFPE rat colon tissue with SF3a120 antibody. HIER: steam section in pH8 EDTA buffer for 20 min.
Immunofluorescent staining of FFPE human PC-3 cells with SF3a120 antibody (red) and Alpha Tubulin mAb (red). HIER: steam section in pH6 citrate buffer for 20 min.
Immunoprecipitation of SF3a120 protein from 500ug of human HeLa whole cell lysate with 2ug of SF3a120 antibody.
Availability 1-3 business days
Species Reactivity Human, Mouse, Rat
Format Antigen affinity purified
Host Rabbit
Clonality Polyclonal (rabbit origin)
Isotype Rabbit IgG
Purity Antigen affinity purified
Buffer Lyophilized from 1X PBS with 2% Trehalose
UniProt Q15459
Localization Nuclear
Applications Western Blot : 0.5-1ug/ml
Immunohistochemistry (FFPE) : 2-5ug/ml
Immunofluorescence : 5ug/ml
Immunoprecipitation : 2ug per 500ug of lysate
Direct ELISA : 0.1-0.5ug/ml
Limitations This SF3a120 antibody is available for research use only.
Review this product on BioCompare and get a $20 Amazon gift card

Related Products

Description

SF3a120 antibody detects Splicing factor 3A subunit 1, also known as SF3A1, a core component of the spliceosomal SF3A complex essential for pre-mRNA splicing. The UniProt recommended name is Splicing factor 3A subunit 1 (SF3A1). As the largest subunit of the heterotrimeric SF3A complex, SF3A1 plays a central role in early spliceosome assembly by stabilizing U2 snRNP binding to the pre-mRNA branch point sequence. This positioning is critical for the accurate removal of introns, the formation of functional mRNA transcripts, and the maintenance of gene expression integrity across eukaryotic cells.

Functionally, SF3a120 antibody identifies an approximately 793-amino-acid nuclear protein containing zinc finger domains, ubiquitin-like motifs, and regions that mediate interactions with other spliceosomal components. SF3A1 associates with SF3A2 and SF3A3 to form the complete SF3A complex, which joins the U2 snRNP to establish the prespliceosomal A complex. SF3A1 contributes structural rigidity and RNA-binding capability, enabling stable recognition of the branch point through coordinated interactions with SF3B proteins and U2 snRNA. This stabilizing role ensures correct intron definition and prevents aberrant splice site usage, both essential for high-fidelity mRNA maturation.

The SF3A1 gene is located on chromosome 22q12.1 and is expressed ubiquitously, reflecting its indispensable role in RNA metabolism. Expression is particularly high in tissues with elevated transcriptional or proliferative activity, including bone marrow, thymus, gastrointestinal mucosa, and various cancer types. Within the nucleus, SF3A1 concentrates in speckles rich in splicing factors, dynamically redistributing in response to transcriptional activity and cellular stress. Its modular architecture allows participation not only in core splicing events but also in co-transcriptional support of chromatin-associated RNA processing.

SF3A1 integrates into several regulatory networks beyond basal mRNA splicing. It contributes to alternative splicing decisions that control developmental programs, immune signaling, differentiation, and stress responses. Proper SF3A1 function affects exon inclusion/exclusion patterns across genes involved in apoptosis, metabolic regulation, cytoskeletal remodeling, and cell cycle control. Additionally, SF3A1 participates in quality-control checkpoints that help distinguish productive pre-mRNA substrates from aberrant or incompletely assembled transcripts.

Pathologically, dysregulation of SF3A1 and other spliceosomal proteins has been implicated in cancer, neurodegenerative diseases, immunological disorders, and inherited splicing defects. Although SF3A1 itself is not as frequently mutated as other spliceosome-associated genes, its altered expression has been observed in breast cancer, colorectal cancer, leukemia, and high-proliferation tumors, where widespread splicing changes contribute to oncogenic signaling, metabolic rewiring, and resistance to apoptosis. Reduced SF3A1 function can trigger exon skipping, intron retention, and production of unstable or nonfunctional transcripts, impacting protein homeostasis and cellular fitness. In neurodegenerative conditions, impaired spliceosomal assembly-including SF3A1 disruption-has been linked to RNA-binding protein aggregation and compromised neuronal transcript processing.

As interest in RNA-based regulation grows, SF3A1 has emerged as a key node connecting transcriptional activity, RNA structure, and splicing kinetics. Studies involving SF3a120 antibody enable detailed evaluation of spliceosome assembly pathways, alternative splicing programs, and changes in RNA maturation during stress, development, and disease progression. Because SF3A1 interacts with multiple RNA and protein partners, it also serves as a useful marker for assessing nuclear speckle integrity, spliceosomal perturbation, and transcription-splicing coupling mechanisms.

SF3a120 antibody is validated for use in relevant research applications to detect Splicing factor 3A subunit 1 expression and to examine spliceosomal dynamics, pre-mRNA maturation, and nuclear RNA metabolism. NSJ Bioreagents provides SF3a120 antibody reagents optimized for studies in RNA biology, gene expression regulation, developmental biology, cancer research, and transcriptome stability.

Application Notes

Optimal dilution of the SF3a120 antibody should be determined by the researcher.

Immunogen

E. coli-derived recombinant human protein (amino acids K20-Q556) was used as the immunogen for the SF3a120 antibody.

Storage

After reconstitution, the SF3a120 antibody can be stored for up to one month at 4oC. For long-term, aliquot and store at -20oC. Avoid repeated freezing and thawing.

Cross
Bulk Quote Request Form
Name*:
Organization*:
Email*:
Phone Number*:
Catalog No.*:
Comments and Specifics(amount, formulation, etc.)*:
Validation code: Captchapackage Image


Can't read the image? click here to refresh.
    *required field

Your bulk quote request has been submitted successfully!

Please contact us if you have any questions.