• Tel: 858.663.9055
  • SeparatorEmail: info@nsjbio.com
  • Tel: 858.663.9055
  • Email: info@nsjbio.com
Home >> Antibodies >> SF2 Antibody / SRSF1

SF2 Antibody / SRSF1 (R32198)

  Catalog No Formulation Size Price (USD)  
Image R32198 0.5mg/ml if reconstituted with 0.2ml sterile DI water 100 ug 449
Bulk quote request
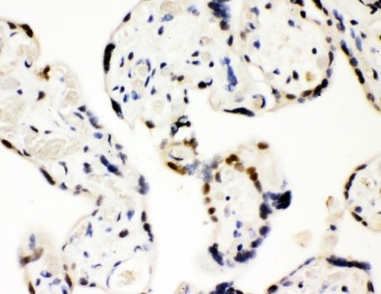
IHC testing of FFPE human placental tissue with SF2 antibody. HIER: Boil the paraffin sections in pH8 EDTA for 20 minutes and allow to cool prior to staining.
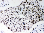
IHC testing of FFPE human breast cancer with SF2 antibody. HIER: Boil the paraffin sections in pH 6, 10mM citrate buffer for 20 minutes and allow to cool prior to staining.
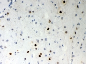
IHC testing of FFPE mouse brain with SF2 antibody. HIER: Boil the paraffin sections in pH 6, 10mM citrate buffer for 20 minutes and allow to cool prior to staining.
IHC testing of FFPE rat brain with SF2 antibody. HIER: Boil the paraffin sections in pH 6, 10mM citrate buffer for 20 minutes and allow to cool prior to staining.
Western blot testing of 1) human HeLa, 2) human SW620, 3) human MCF7, 4) human 293T, 5) rat brain, 6) rat liver, 7) mouse brain and 8) mouse liver tissue lysate with SF2 antibody. Predicted molecular weight ~28 kDa.
Availability 1-3 business days
Species Reactivity Human, Mouse, Rat
Format Antigen affinity purified
Host Rabbit
Clonality Polyclonal (rabbit origin)
Isotype Rabbit IgG
Purity Antigen affinity
Buffer Lyophilized from 1X PBS with 2.5% BSA and 0.025% sodium azide
UniProt Q07955
Localization Nuclear, cytoplasmic
Applications Western Blot : 0.1-0.5ug/ml
Immunohistochemistry (FFPE) : 2-5ug/ml
Limitations This SF2 antibody is available for research use only.
Review this product on BioCompare and get a $20 Amazon gift card

Related Products

Description

SF2, also known as Serine/arginine-rich splicing factor 1 (SRSF1), is a protein that in humans is encoded by the SFRS1 gene. This gene encodes a member of the arginine/serine-rich splicing factor protein family. There is a pseudogene of this gene on chromosome 13. The encoded protein can either activate or repress splicing, depending on its phosphorylation state and its interaction partners. Multiple transcript variants have been found for this gene. ASF/SF2 is necessary for all splicing reactions to occur, and influences splice site selection in a concentration-dependent manner, resulting in alternative splicing.

Application Notes

Optimal dilution of the SF2 antibody should be determined by the researcher.

Immunogen

Amino acids VIRGPAGNNDCRIYVGNLPPDIRTKDIE of human SF2 were used as the immunogen for the SF2 antibody.

Storage

After reconstitution, the SF2 antibody can be stored for up to one month at 4oC. For long-term, aliquot and store at -20oC. Avoid repeated freezing and thawing.

Cross
Bulk Quote Request Form
Name*:
Organization*:
Email*:
Phone Number*:
Catalog No.*:
Comments and Specifics(amount, formulation, etc.)*:
Validation code: Captchapackage Image


Can't read the image? click here to refresh.
    *required field

Your bulk quote request has been submitted successfully!

Please contact us if you have any questions.