• Tel: 858.663.9055
  • SeparatorEmail: info@nsjbio.com
  • Tel: 858.663.9055
  • Email: info@nsjbio.com
Home >> Antibodies >> SF-1 Antibody / Steroidogenic Factor 1 / NR5A1

SF-1 Antibody / Steroidogenic Factor 1 / NR5A1 [clone NR5A1/3420] (V9468)

  Catalog No Formulation Size Price (USD)  
Image V9468-100UG 0.2 mg/ml in 1X PBS with 0.1 mg/ml BSA (US sourced), 0.05% sodium azide 100 ug 559
Image
V9468-20UG 0.2 mg/ml in 1X PBS with 0.1 mg/ml BSA (US sourced), 0.05% sodium azide 20 ug 259
Image
V9468SAF-100UG 1 mg/ml in 1X PBS; BSA free, sodium azide free 100 ug 559
Microvalidated
Bulk quote request
Analysis of HuProt(TM) microarray containing more than 19,000 full-length human proteins using SF-1 antibody (clone NR5A1/3420). These results demonstrate the foremost specificity of the NR5A1/3420 mAb. Z- and S- score: The Z-score represents the strength of a signal that an antibody (in combination with a fluorescently-tagged anti-IgG secondary Ab) produces when binding to a particular protein on the HuProt(TM) array. Z-scores are described in units of standard deviations (SD's) above the mean value of all signals generated on that array. If the targets on the HuProt(TM) are arranged in descending order of the Z-score, the S-score is the difference (also in units of SD's) between the Z-scores. The S-score therefore represents the relative target specificity of an Ab to its intended target.
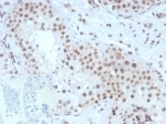
IHC staining of FFPE human testis tissue with SF-1 antibody (clone NR5A1/3420) at 2ug/ml. Negative control inset: PBS instead of primary antibody to control for secondary binding. HIER: boil tissue sections in pH 9 10mM Tris with 1mM EDTA for 20 min and allow to cool before testing.
Availability 1-3 business days
Species Reactivity Human
Format Purified
Host Mouse
Clonality Monoclonal (mouse origin)
Isotype Mouse IgG2b, kappa
Clone Name NR5A1/3420
Purity Protein A/G affinity
UniProt Q13285
Localization Nucleus
Applications Immunohistochemistry (FFPE) : 1-2ug/ml
Limitations This SF-1 antibody is available for research use only.
Review this product on BioCompare and get a $20 Amazon gift card

Related Products

Description

The protein encoded by this gene is a transcriptional activator involved in sex determination. The encoded protein binds DNA as a monomer. Defects in this gene are a cause of XY sex reversal with or without adrenal failure as well as adrenocortical insufficiency without ovarian defect. Steroidogenic Factor 1 (SF-1) is considered an orphan nuclear receptor that belongs to subfamily 5. It was found to be a regulator of steroidogenic enzyme gene expression. Oxysterols are suggested as its ligands. It is expressed in all steroidogenic tissues, including the adrenal cortex, testicular Sertoli cells, and Leydig cells, ovarian theca, hypothalamus, and anterior pituitary. SF-1 plays an important role in adrenal and gonadal development. SF-1 is highly valuable marker to determine the adrenocortical origin of an adrenal mass.

Application Notes

Optimal dilution of the Steroidogenic Factor 1 antibody should be determined by the researcher.

Immunogen

A portion of amino acids 220-461 was used as the immunogen for the SF-1 antibody.

Storage

Aliquot the Steroidogenic Factor 1 antibody and store frozen at -20oC or colder. Avoid repeated freeze-thaw cycles.

Cross
Bulk Quote Request Form
Name*:
Organization*:
Email*:
Phone Number*:
Catalog No.*:
Comments and Specifics(amount, formulation, etc.)*:
Validation code: Captchapackage Image


Can't read the image? click here to refresh.
    *required field

Your bulk quote request has been submitted successfully!

Please contact us if you have any questions.