• Tel: 858.663.9055
  • SeparatorEmail: info@nsjbio.com
  • Tel: 858.663.9055
  • Email: info@nsjbio.com
Home >> Antibodies >> SESN2 Antibody / Sestrin 2

SESN2 Antibody / Sestrin 2 (FY13211)

  Catalog No Formulation Size Price (USD)  
Image FY13211 Adding 0.2 ml of distilled water will yield a concentration of 500 ug/ml 100 ug 439
Bulk quote request
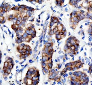
Immunohistochemical staining of SESN2 using anti-SESN2 antibody. SESN2 was detected in a paraffin-embedded section of human breast cancer tissue. Heat mediated antigen retrieval was performed in EDTA buffer (pH 8.0, epitope retrieval solution). The tissue section was blocked with 10% goat serum. The tissue section was then incubated with 2 ug/ml rabbit anti-SESN2 antibody overnight at 4oC. Peroxidase Conjugated Goat Anti-rabbit IgG was used as secondary antibody and incubated for 30 minutes at 37oC. The tissue section was developed using an HRP secondary and DAB substrate.
Western blot analysis of SESN2 using anti-SESN2 antibody. Electrophoresis was performed on a 10% SDS-PAGE gel at 80V (Stacking gel) / 120V (Resolving gel) for 2 hours. Lane 1: human K562 whole cell lysates, Lane 2: human HEL whole cell lysates, Lane 3: human Jurkat whole cell lysates, Lane 4: human RT4 whole cell lysates. After electrophoresis, proteins were transferred to a nitrocellulose membrane at 150 mA for 50-90 minutes. Blocked the membrane with 5% non-fat milk/TBS for 1.5 hour at RT. The membrane was incubated with rabbit anti-SESN2 antibody at 0.5 ug/ml overnight at 4oC, then washed with TBS-0.1%Tween 3 times with 5 minutes each and probed with a goat anti-rabbit IgG-HRP secondary antibody at a dilution of 1:5000 for 1.5 hour at RT. The signal was developed using an ECL Plus Western Blotting Substrate. Western blot detection of SESN2 shows a predominant band at ~60 kDa with minor species at ~50 kDa and ~70 kDa. Although the calculated mass is ~54-55 kDa, SESN2 commonly migrates slightly larger on SDS-PAGE, and the additional bands likely reflect truncated and post-translationally modified forms.
Immunohistochemical staining of SESN2 using anti-SESN2 antibody. SESN2 was detected in a paraffin-embedded section of human colon cancer tissue. Heat mediated antigen retrieval was performed in EDTA buffer (pH 8.0, epitope retrieval solution). The tissue section was blocked with 10% goat serum. The tissue section was then incubated with 2 ug/ml rabbit anti-SESN2 antibody overnight at 4oC. Peroxidase Conjugated Goat Anti-rabbit IgG was used as secondary antibody and incubated for 30 minutes at 37oC. The tissue section was developed using an HRP secondary and DAB substrate.
Immunohistochemical staining of SESN2 using anti-SESN2 antibody. SESN2 was detected in a paraffin-embedded section of human colon cancer tissue. Heat mediated antigen retrieval was performed in EDTA buffer (pH 8.0, epitope retrieval solution). The tissue section was blocked with 10% goat serum. The tissue section was then incubated with 2 ug/ml rabbit anti-SESN2 antibody overnight at 4oC. Peroxidase Conjugated Goat Anti-rabbit IgG was used as secondary antibody and incubated for 30 minutes at 37oC. The tissue section was developed using an HRP secondary and DAB substrate.
Immunofluorescent staining of SESN2 using anti-SESN2 antibody (red). SESN2 was detected in a paraffin-embedded section of human colon cancer tissue. Heat mediated antigen retrieval was performed in EDTA buffer (pH 8.0, epitope retrieval solution). The tissue section was blocked with 10% goat serum. The tissue section was then incubated with 5 ug/ml rabbit anti-SESN2 antibody overnight at 4oC. Cy3 Conjugated Goat Anti-Rabbit IgG was used as secondary antibody at 1:500 dilution and incubated for 30 minutes at 37oC. The section was counterstained with DAPI nuclear stain (blue). Visualize using a fluorescence microscope and filter sets appropriate for the label used.
Flow Cytometry analysis of Jurkat cells using anti-SESN2 antibody. Overlay histogram showing Jurkat cells stained with (Blue line). To facilitate intracellular staining, cells were fixed with 4% paraformaldehyde and permeabilized with permeabilization buffer. The cells were blocked with 10% normal goat serum. And then incubated with rabbit anti-SESN2 antibody (1 ug/million cells) for 30 min at 20oC. DyLight 488 conjugated goat anti-rabbit IgG (5-10 ug/million cells) was used as secondary antibody for 30 minutes at 20oC. Isotype control antibody (Green line) was rabbit IgG (1 ug/million cells) used under the same conditions. Unlabelled sample without incubation with primary antibody and secondary antibody (Red line) was used as a blank control.
Availability 1-2 days
Species Reactivity Human
Format Lyophilized
Clonality Polyclonal (rabbit origin)
Isotype Rabbit IgG
Purity Immunogen affinity purified
Buffer Each vial contains 4 mg Trehalose, 0.9 mg NaCl, 0.2 mg Na2HPO4.
UniProt P58004
Localization Cytoplasm
Applications Western Blot : 0.25-0.5ug/ml
Immunohistochemistry : 2-5ug/ml
Immunofluorescence : 5ug/ml
Flow Cytometry : 1-3ug/million cells
ELISA : 0.1-0.5ug/ml
Limitations This SESN2 antibody is available for research use only.
Review this product on BioCompare and get a $20 Amazon gift card

Description

SESN2 antibody detects Sestrin 2, a stress-inducible metabolic regulator that protects cells from oxidative damage and maintains energy balance through AMPK and mTOR signaling. The UniProt recommended name is Sestrin 2 (SESN2). This cytoplasmic protein belongs to the sestrin family of stress-responsive factors that restore redox homeostasis and suppress excessive growth signaling under nutrient limitation or oxidative stress.

Functionally, SESN2 antibody identifies a 480-amino-acid protein induced by p53, FOXO, and ATF4 transcription factors in response to stress stimuli such as DNA damage, hypoxia, and reactive oxygen species. SESN2 activates AMP-activated protein kinase (AMPK) and inhibits mammalian target of rapamycin complex 1 (mTORC1) by interacting with the GATOR2 complex, thereby reducing anabolic activity and promoting autophagy. It also regenerates overoxidized peroxiredoxins, restoring cellular antioxidant capacity and maintaining metabolic equilibrium.

The SESN2 gene is located on chromosome 1p35.3 and is expressed in metabolically active tissues such as liver, skeletal muscle, and heart. Its expression levels increase during fasting, exercise, or oxidative stress, making SESN2 a crucial component of the cellular adaptive stress response.

Pathologically, dysregulation of SESN2 contributes to aging, metabolic disorders, and cancer. Reduced SESN2 activity promotes oxidative stress, mitochondrial dysfunction, and insulin resistance, while its overexpression has protective effects against neurodegeneration and tissue injury. Research using SESN2 antibody supports studies in autophagy, metabolism, and stress signaling pathways.

SESN2 antibody is validated for western blotting, immunofluorescence, and immunohistochemistry to detect oxidative stress regulators. NSJ Bioreagents provides SESN2 antibody reagents optimized for research in mTOR regulation, cellular homeostasis, and redox biology.

Structurally, Sestrin 2 contains a conserved catalytic domain with oxidoreductase-like motifs, though it lacks enzymatic activity. Instead, its structure supports binding to GATOR complexes and peroxiredoxins. This antibody facilitates detailed investigation of SESN2's role in energy sensing, antioxidant defense, and lifespan regulation.

Application Notes

Optimal dilution of the SESN2 antibody should be determined by the researcher.

Immunogen

E.coli-derived human Sestrin 2/SESN2 recombinant protein (Position: I48-D341) was used as the immunogen for the SESN2 antibody.

Storage

After reconstitution, the SESN2 antibody can be stored for up to one month at 4oC. For long-term, aliquot and store at -20oC. Avoid repeated freezing and thawing.

Cross
Bulk Quote Request Form
Name*:
Organization*:
Email*:
Phone Number*:
Catalog No.*:
Comments and Specifics(amount, formulation, etc.)*:
Validation code: Captchapackage Image


Can't read the image? click here to refresh.
    *required field

Your bulk quote request has been submitted successfully!

Please contact us if you have any questions.