• Tel: 858.663.9055
  • SeparatorEmail: info@nsjbio.com
  • Tel: 858.663.9055
  • Email: info@nsjbio.com
Home >> Antibodies >> Serum Response Factor Antibody / SRF

Serum Response Factor Antibody / SRF [clone PCRP-SRF-1F7] (V9737)

  Catalog No Formulation Size Price (USD)  
Image V9737-100UG 0.2 mg/ml in 1X PBS with 0.1 mg/ml BSA (US sourced), 0.05% sodium azide 100 ug 559
Image
V9737-20UG 0.2 mg/ml in 1X PBS with 0.1 mg/ml BSA (US sourced), 0.05% sodium azide 20 ug 259
Image
V9737SAF-100UG 1 mg/ml in 1X PBS; BSA free, sodium azide free 100 ug 559
Microvalidated
Bulk quote request
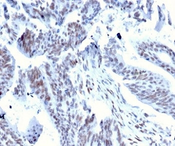
IHC staining of FFPE human colon tissue with Serum Response Factor antibody (clone PCRP-SF7-1F1) at 2ug/ml in PBS for 30min RT. HIER: boil tissue sections in pH 9 10mM Tris with 1mM EDTA for 20 min and allow to cool before testing.
Immunofluorescent staining of PFA-fixed human HeLa cells using Serum Response Factor antibody (green, clone PCRP-SRF-1F7) and phalloidin (red).
FACS staining of PFA-fixed human HeLa cells with Serum Response Factor antibody (blue, clone PCRP-SRF-1F7) and isotype control (red).
SDS-PAGE analysis of purified, BSA-free Serum Response Factor antibody (clone PCRP-SRF-1F7) as confirmation of integrity and purity.
Analysis of HuProt(TM) microarray containing more than 19,000 full-length human proteins using Serum Response Factor antibody (clone PCRP-SRF-1F7). These results demonstrate the foremost specificity of the PCRP-SRF-1F7 mAb. Z- and S- score: The Z-score represents the strength of a signal that an antibody (in combination with a fluorescently-tagged anti-IgG secondary Ab) produces when binding to a particular protein on the HuProt(TM) array. Z-scores are described in units of standard deviations (SD's) above the mean value of all signals generated on that array. If the targets on the HuProt(TM) are arranged in descending order of the Z-score, the S-score is the difference (also in units of SD's) between the Z-scores. The S-score therefore represents the relative target specificity of an Ab to its intended target.
Availability 1-3 business days
Species Reactivity Human
Format Purified
Host Mouse
Clonality Monoclonal (mouse origin)
Isotype Mouse IgG2b
Clone Name PCRP-SRF-1F7
Purity Protein A/G affinity
UniProt P11831
Localization Nucleus
Applications ELISA (order BSA-free Format For Coating) :
Immunofluorescence : 1-2ug/ml
Western Blot : 1-2ug/ml
Flow Cytometry : 1-2ug/million cells
Immunohistochemistry (FFPE) : 1-2ug/ml
Limitations This Serum Response Factor antibody is available for research use only.
Review this product on BioCompare and get a $20 Amazon gift card

Related Products

Description

Serum response factor (SRF) is a transcription factor that binds the serum response element (SRE), a sequence that mediates the transient response of many cellular genes to growth stimulation. SRF-binding sites are also constitutive promotor elements in many muscle-specific promotors. At the c-Fos SRE, formation of a ternary complex containing SRF and its accessory protein p62TCF appears to be important for signal transduction. Two related Ets domain proteins, Elk-1 and SRF accessory protein-1 (SAP-1), have DNA binding properties identical to that of p62TCF. Elk-1 and SAP-1 contain two homologous regions of which the two amino-terminal regions, the Ets domain (box A) and the B box, mediate ternary complex formation with SRF. The third homologous region, the C box located toward the C-terminus of the proteins, contains conserved consensus phosphorylation sites for MAP kinases.

Application Notes

Optimal dilution of the Serum Response Factor antibody should be determined by the researcher.

Immunogen

Recombinant full-length human protein was used as the immunogen for the Serum Response Factor antibody.

Storage

Aliquot the Serum Response Factor antibody and store frozen at -20oC or colder. Avoid repeated freeze-thaw cycles.

Cross
Bulk Quote Request Form
Name*:
Organization*:
Email*:
Phone Number*:
Catalog No.*:
Comments and Specifics(amount, formulation, etc.)*:
Validation code: Captchapackage Image


Can't read the image? click here to refresh.
    *required field

Your bulk quote request has been submitted successfully!

Please contact us if you have any questions.