• Tel: 858.663.9055
  • SeparatorEmail: info@nsjbio.com
  • Tel: 858.663.9055
  • Email: info@nsjbio.com
Home >> Antibodies >> SERPINE2 Antibody / PN-1 / Protease nexin 1

SERPINE2 Antibody / PN-1 / Protease nexin 1 (FY12696)

  Catalog No Formulation Size Price (USD)  
Image FY12696 Adding 0.2 ml of distilled water will yield a concentration of 500 ug/ml 100 ug 449
Bulk quote request
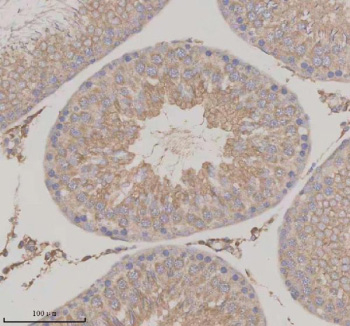
Immunohistochemical staining of SERPINE2 using anti-SERPINE2 antibody. SERPINE2 was detected in a paraffin-embedded section of rat testis tissue. Heat mediated antigen retrieval was performed in EDTA buffer (pH 8.0, epitope retrieval solution). The tissue section was blocked with 10% goat serum. The tissue section was then incubated with 2 ug/ml rabbit anti-SERPINE2 antibody overnight at 4oC. Peroxidase Conjugated Goat Anti-rabbit IgG was used as secondary antibody and incubated for 30 minutes at 37oC. The tissue section was developed using an HRP secondary and DAB substrate.
Western blot analysis of SERPINE2 using anti-SERPINE2 antibody. Electrophoresis was performed on a 10% SDS-PAGE gel at 80V (Stacking gel) / 120V (Resolving gel) for 2 hours. Lane 1: human SIHA whole cell lysates, Lane 2: human whole cell lysates, Lane 3: human Hela whole cell lysates. After electrophoresis, proteins were transferred to a nitrocellulose membrane at 150 mA for 50-90 minutes. Blocked the membrane with 5% non-fat milk/TBS for 1.5 hour at RT. The membrane was incubated with rabbit anti-SERPINE2 antibody at 0.5 ug/ml overnight at 4oC, then washed with TBS-0.1%Tween 3 times with 5 minutes each and probed with a goat anti-rabbit IgG-HRP secondary antibody at a dilution of 1:5000 for 1.5 hour at RT. The signal was developed using an ECL Plus Western Blotting Substrate. A specific band was detected for SERPINE2 at approximately 44 kDa. The expected molecular weight of SERPINE2 is ~44 kDa.
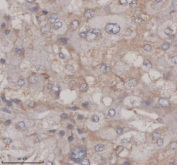
Immunohistochemical staining of SERPINE2 using anti-SERPINE2 antibody. SERPINE2 was detected in a paraffin-embedded section of human adrenal pheochromocytoma tissue. Heat mediated antigen retrieval was performed in EDTA buffer (pH 8.0, epitope retrieval solution). The tissue section was blocked with 10% goat serum. The tissue section was then incubated with 2 ug/ml rabbit anti-SERPINE2 antibody overnight at 4oC. Peroxidase Conjugated Goat Anti-rabbit IgG was used as secondary antibody and incubated for 30 minutes at 37oC. The tissue section was developed using an HRP secondary and DAB substrate.
Flow Cytometry analysis of U251 cells using anti-SERPINE2 antibody. Overlay histogram showing U251 cells stained with (Blue line). The cells were fixed with 4% paraformaldehyde and blocked with 10% normal goat serum. And then incubated with rabbit anti-SERPINE2 antibody (1 ug/million cells) for 30 min at 20oC. DyLight 488 conjugated goat anti-rabbit IgG (5-10 ug/million cells) was used as secondary antibody for 30 minutes at 20oC. Isotype control antibody (Green line) was rabbit IgG (1 ug/million cells) used under the same conditions. Unlabelled sample without incubation with primary antibody and secondary antibody (Red line) was used as a blank control.
Availability 1-2 days
Species Reactivity Human, Rat
Format Lyophilized
Host Rabbit
Clonality Polyclonal (rabbit origin)
Isotype Rabbit IgG
Purity Immunogen affinity purified
Buffer Each vial contains 4 mg Trehalose, 0.9 mg NaCl, 0.2 mg Na2HPO4.
UniProt P07093
Localization Golgi
Applications Western Blot : 0.25-0.5ug/ml
Immunohistochemistry : 2-5ug/ml
Flow Cytometry : 1-3ug/million cells
ELISA : 0.1-0.5ug/ml
Limitations This SERPINE2 antibody is available for research use only.
Review this product on BioCompare and get a $20 Amazon gift card

Description

SERPINE2 antibody detects Serpin family E member 2, also known as protease nexin-1, a secreted glycoprotein that inhibits a range of serine proteases including thrombin, trypsin, plasmin, and urokinase-type plasminogen activator. Encoded by the SERPINE2 gene on chromosome 2q33.3, this protein belongs to the serpin superfamily of suicide inhibitors that regulate extracellular proteolysis in tissue remodeling, coagulation, inflammation, and neuroprotection. The reactive center loop of SERPINE2 serves as the protease recognition site; cleavage triggers a conformational rearrangement that traps the protease, forming a stable inactive complex. Through this mechanism, SERPINE2 maintains extracellular matrix integrity and limits tissue damage during injury or inflammation.

SERPINE2 is widely expressed in the brain, lung, vascular endothelium, and reproductive organs. In the central nervous system, it is secreted by neurons and glial cells and contributes to neuronal survival by restricting plasmin activity and supporting synaptic stability. In the vasculature, SERPINE2 modulates thrombin signaling and vascular remodeling, balancing coagulation and fibrinolysis. Genetic studies in animal models demonstrate that loss of SERPINE2 results in perinatal lethality and vascular abnormalities, highlighting its essential role in development and homeostasis.

The SERPINE2 antibody is utilized in neurobiology, vascular biology, and cancer research to evaluate protease regulation and tissue remodeling. Western blotting reveals a 45 kilodalton band representing the mature glycosylated protein, while immunohistochemistry shows extracellular and pericellular staining consistent with its secretory nature. In the nervous system, SERPINE2 expression is induced following injury and ischemia, suggesting a protective role against excitotoxic and proteolytic damage. In cancer, its expression pattern varies depending on tumor type: elevated levels have been observed in gliomas and pancreatic cancer, where SERPINE2 supports tumor invasion and angiogenesis, while downregulation in other malignancies correlates with increased protease activity and metastasis.

Functionally, SERPINE2 interacts with extracellular matrix components such as heparan sulfate and collagen, anchoring it near protease release sites. It also binds to low-density lipoprotein receptor-related protein 1 (LRP1) to mediate endocytosis of protease-inhibitor complexes. The SERPINE2 antibody allows visualization of these interactions and quantification of expression under physiological and pathological conditions. Because protease regulation is critical for tissue repair, clot formation, and neural maintenance, this antibody is a valuable tool for mechanistic and translational studies. NSJ Bioreagents supplies the SERPINE2 antibody validated for western blot, immunohistochemistry, and flow cytometry applications.

Application Notes

Optimal dilution of the SERPINE2 antibody should be determined by the researcher.

Immunogen

E.coli-derived human SERPINE2 recombinant protein (Position: H21-K353) was used as the immunogen for the SERPINE2 antibody.

Storage

After reconstitution, the SERPINE2 antibody can be stored for up to one month at 4oC. For long-term, aliquot and store at -20oC. Avoid repeated freezing and thawing.

Cross
Bulk Quote Request Form
Name*:
Organization*:
Email*:
Phone Number*:
Catalog No.*:
Comments and Specifics(amount, formulation, etc.)*:
Validation code: Captchapackage Image


Can't read the image? click here to refresh.
    *required field

Your bulk quote request has been submitted successfully!

Please contact us if you have any questions.