• Tel: 858.663.9055
  • SeparatorEmail: info@nsjbio.com
  • Tel: 858.663.9055
  • Email: info@nsjbio.com
Home >> Antibodies >> SERPINB5 Antibody / MASPIN

SERPINB5 Antibody / MASPIN [clone SERPINB5/4971] (V4580)

  Catalog No Formulation Size Price (USD)  
Image V4580-100UG 0.2 mg/ml in 1X PBS with 0.1 mg/ml BSA (US sourced), 0.05% sodium azide 100 ug 559
Image
V4580-20UG 0.2 mg/ml in 1X PBS with 0.1 mg/ml BSA (US sourced), 0.05% sodium azide 20 ug 259
Image
V4580SAF-100UG 1 mg/ml in 1X PBS; BSA free, sodium azide free 100 ug 559
Microvalidated
Bulk quote request
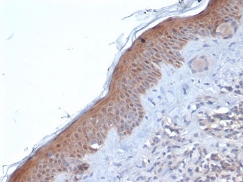
Immunohistochemistry analysis of SERPINB5 / MASPIN antibody in human skin. FFPE human skin tissue was stained with SERPINB5 / MASPIN antibody (clone SERPINB5/4971). HRP-DAB brown chromogenic signal is observed predominantly within the epidermal layer, showing strong cytoplasmic staining in keratinocytes with occasional nuclear positivity. The staining pattern highlights epithelial cells along the basal and suprabasal layers, consistent with the known epithelial expression of MASPIN. Dermal stromal components display minimal background staining. Nuclei are counterstained blue. Heat-induced epitope retrieval was performed by boiling tissue sections in 10 mM Tris with 1 mM EDTA, pH 9, for 20 minutes followed by cooling prior to antibody incubation.
IHC staining of FFPE human lung tissue with SERPINB5 antibody (clone SERPINB5/4971). HIER: boil tissue sections in pH 9 10mM Tris with 1mM EDTA for 20 min and allow to cool before testing.
SDS-PAGE analysis of purified, BSA-free SERPINB5 antibody (clone SERPINB5/4971) as confirmation of integrity and purity.
Analysis of a HuProt(TM) microarray containing more than 19,000 full-length human proteins using SERPINB5 antibody (clone SERPINB5/4971).Z- and S- Score: The Z-score represents the strength of a signal that a monoclonal antibody (in combination with a fluorescently-tagged anti-IgG secondary antibody) produces when binding to a particular protein on the HuProt(TM) array. Z-scores are described in units of standard deviations (SD's) above the mean value of all signals generated on that array. If targets on HuProt(TM) are arranged in descending order of the Z-score, the S-score is the difference (also in units of SD's) between the Z-score. S-score therefore represents the relative target specificity of a mAb to its intended target. A mAb is considered to specific to its intended target, if the mAb has an S-score of at least 2.5. For example, if a mAb binds to protein X with a Z-score of 43 and to protein Y with a Z-score of 14, then the S-score for the binding of that mAb to protein X is equal to 29.
Availability 1-3 business days
Species Reactivity Human
Format Purified
Host Mouse
Clonality Monoclonal (mouse origin)
Isotype Mouse IgG
Clone Name SERPINB5/4971
Purity Protein A/G affinity
UniProt P36952
Localization Secreted, Extracellular space
Applications Western Blot : 1-2ug/ml
Immunohistochemistry (FFPE) : 1-2ug/ml for 30 min at RT
Limitations This SERPINB5 antibody is available for research use only.
Review this product on BioCompare and get a $20 Amazon gift card

Related Products

Description

SERPINB5 antibody, also known as MASPIN antibody, recognizes Serpin family B member 5, a cytoplasmic and nuclear protein encoded by the SERPINB5 gene on chromosome 18q21.33. MASPIN is a member of the serpin superfamily but differs from classical serine protease inhibitors in that it lacks key residues required for irreversible protease inhibition. Instead, SERPINB5 functions primarily as a regulatory protein involved in epithelial cell differentiation, adhesion, and tumor suppression. In normal tissues, MASPIN expression is most prominent in epithelial cell populations including breast, prostate, lung, and skin.

MASPIN plays an important role in maintaining epithelial integrity by modulating cell-matrix interactions and influencing signaling pathways that regulate migration and apoptosis. SERPINB5 antibody is widely used in cancer biology research to study tumor progression, invasion, and metastatic potential. Loss or reduction of MASPIN expression has been associated with increased tumor aggressiveness in several carcinoma types, while preserved expression may correlate with more differentiated phenotypes. Subcellular localization patterns, including cytoplasmic versus nuclear distribution, are frequently evaluated in research contexts.

At the molecular level, MASPIN belongs to the ovalbumin-like clade of serpins and interacts with extracellular matrix components as well as intracellular signaling mediators. Although structurally similar to inhibitory serpins, SERPINB5 lacks typical protease inhibitory activity and instead influences cell motility and survival pathways. Its expression can be regulated by epigenetic mechanisms, including promoter methylation in certain cancers.

Altered SERPINB5 expression has been reported in breast, prostate, lung, and colorectal carcinomas, where it is studied as a potential biomarker of differentiation and prognosis. Because of its epithelial-restricted expression pattern, SERPINB5 antibody is useful for investigating epithelial lineage and tumor biology in relevant research applications.

Application Notes

Optimal dilution of the SERPINB5 antibody should be determined by the researcher.

Immunogen

A recombinant fragment of human protein (within amino acids 1-200) was used as the immunogen for the SERPINB5 antibody.

Storage

Aliquot the SERPINB5 antibody and store frozen at -20oC or colder. Avoid repeated freeze-thaw cycles.

Cross
Bulk Quote Request Form
Name*:
Organization*:
Email*:
Phone Number*:
Catalog No.*:
Comments and Specifics(amount, formulation, etc.)*:
Validation code: Captchapackage Image


Can't read the image? click here to refresh.
    *required field

Your bulk quote request has been submitted successfully!

Please contact us if you have any questions.