• Tel: 858.663.9055
  • SeparatorEmail: info@nsjbio.com
  • Tel: 858.663.9055
  • Email: info@nsjbio.com
Home >> Antibodies >> SERPINA12 Antibody / Serpin A12 / Vaspin

SERPINA12 Antibody / Serpin A12 / Vaspin (FY12764)

  Catalog No Formulation Size Price (USD)  
Image FY12764 Adding 0.2 ml of distilled water will yield a concentration of 500 ug/ml 100 ug 449
Bulk quote request
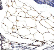
Immunohistochemical staining of SERPINA12 using anti-SERPINA12 antibody. SERPINA12 was detected in a paraffin-embedded section of adipose of mouse ovary tissue. Heat mediated antigen retrieval was performed in EDTA buffer (pH 8.0, epitope retrieval solution). The tissue section was blocked with 10% goat serum. The tissue section was then incubated with 2 ug/ml rabbit anti-SERPINA12 antibody overnight at 4oC. Peroxidase Conjugated Goat Anti-rabbit IgG was used as secondary antibody and incubated for 30 minutes at 37oC. The tissue section was developed using an HRP secondary and DAB substrate.
Immunohistochemical staining of SERPINA12 using anti-SERPINA12 antibody. SERPINA12 was detected in a paraffin-embedded section of adipose of mouse ovary tissue. Heat mediated antigen retrieval was performed in EDTA buffer (pH 8.0, epitope retrieval solution). The tissue section was blocked with 10% goat serum. The tissue section was then incubated with 2 ug/ml rabbit anti-SERPINA12 antibody overnight at 4oC. Peroxidase Conjugated Goat Anti-rabbit IgG was used as secondary antibody and incubated for 30 minutes at 37oC. The tissue section was developed using an HRP secondary and DAB substrate.
Western blot analysis of SERPINA12 using anti-SERPINA12 antibody. Lane 1: human Hela whole cell lysates, Lane 2: human Jurkat whole cell lysates, Lane 3: human HepG2 whole cell lysates, Lane 4: rat C6 whole cell lysates, Lane 5: mouse B16-F10 whole cell lysates. After electrophoresis, proteins were transferred to a nitrocellulose membrane at 150 mA for 50-90 minutes. Blocked the membrane with 5% non-fat milk/TBS for 1.5 hour at RT. The membrane was incubated with rabbit anti-SERPINA12 antibody at 0.5 ug/ml overnight at 4oC, then washed with TBS-0.1%Tween 3 times with 5 minutes each and probed with a goat anti-rabbit IgG-HRP secondary antibody at a dilution of 1:5000 for 1.5 hour at RT. The signal was developed using enhanced chemiluminescent. A major band is detected at ~55-60 kDa, corresponding to the glycosylated, mature form of SERPINA12 (predicted unglycosylated size ~47 kDa). Glycosylation-dependent size variation is consistent with published data for secreted SERPIN family proteins.
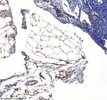
Immunohistochemical staining of SERPINA12 using anti-SERPINA12 antibody. SERPINA12 was detected in a paraffin-embedded section of adipose of rat ovary tissue. Heat mediated antigen retrieval was performed in EDTA buffer (pH 8.0, epitope retrieval solution). The tissue section was blocked with 10% goat serum. The tissue section was then incubated with 2 ug/ml rabbit anti-SERPINA12 antibody overnight at 4oC. Peroxidase Conjugated Goat Anti-rabbit IgG was used as secondary antibody and incubated for 30 minutes at 37oC. The tissue section was developed using an HRP secondary and DAB substrate.
Immunohistochemical staining of SERPINA12 using anti-SERPINA12 antibody. SERPINA12 was detected in a paraffin-embedded section of adipose of rat ovary tissue. Heat mediated antigen retrieval was performed in EDTA buffer (pH 8.0, epitope retrieval solution). The tissue section was blocked with 10% goat serum. The tissue section was then incubated with 2 ug/ml rabbit anti-SERPINA12 antibody overnight at 4oC. Peroxidase Conjugated Goat Anti-rabbit IgG was used as secondary antibody and incubated for 30 minutes at 37oC. The tissue section was developed using an HRP secondary and DAB substrate.
Flow Cytometry analysis of HepG2 cells using anti-SERPINA12 antibody. Overlay histogram showing HepG2 cells stained with (Blue line). The cells were fixed with 4% paraformaldehyde and blocked with 10% normal goat serum. And then incubated with rabbit anti-SERPINA12 antibody (1 ug/million cells) for 30 min at 20oC. DyLight 488 conjugated goat anti-rabbit IgG (5-10 ug/million cells) was used as secondary antibody for 30 minutes at 20oC. Isotype control antibody (Green line) was rabbit IgG (1 ug/million cells) used under the same conditions. Unlabelled sample (Red line) was also used as a control.
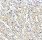
Immunohistochemical staining of SERPINA12 using anti-SERPINA12 antibody. SERPINA12 was detected in a paraffin-embedded section of human liver cancer tissue. Heat mediated antigen retrieval was performed in EDTA buffer (pH 8.0, epitope retrieval solution). The tissue section was blocked with 10% goat serum. The tissue section was then incubated with 2 ug/ml rabbit anti-SERPINA12 antibody overnight at 4oC. Peroxidase Conjugated Goat Anti-rabbit IgG was used as secondary antibody and incubated for 30 minutes at 37oC. The tissue section was developed using an HRP secondary and DAB substrate.
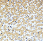
Immunohistochemical staining of SERPINA12 using anti-SERPINA12 antibody. SERPINA12 was detected in a paraffin-embedded section of human liver tissue. Heat mediated antigen retrieval was performed in EDTA buffer (pH 8.0, epitope retrieval solution). The tissue section was blocked with 10% goat serum. The tissue section was then incubated with 2 ug/ml rabbit anti-SERPINA12 antibody overnight at 4oC. Peroxidase Conjugated Goat Anti-rabbit IgG was used as secondary antibody and incubated for 30 minutes at 37oC. The tissue section was developed using an HRP secondary and DAB substrate.
Availability 1-2 days
Species Reactivity Human, Mouse, Rat
Format Lyophilized
Host Rabbit
Clonality Polyclonal (rabbit origin)
Isotype Rabbit IgG
Purity Immunogen affinity purified
Buffer Each vial contains 4 mg Trehalose, 0.9 mg NaCl, 0.2 mg Na2HPO4.
UniProt Q8IW75
Applications Western Blot : 0.25-0.5ug/ml
Immunohistochemistry : 2-5ug/ml
Flow Cytometry : 1-3ug/million cells
ELISA : 0.1-0.5ug/ml
Limitations This SERPINA12 antibody is available for research use only.
Review this product on BioCompare and get a $20 Amazon gift card

Related Products

  • Applications : WB, ELISA (peptide)
    Reactivity : Human

Description

SERPINA12 antibody detects Vaspin (serpin A12), a secreted serine protease inhibitor that modulates insulin sensitivity, inflammation, and metabolic balance. Encoded by the SERPINA12 gene on chromosome 14q32.13, this protein belongs to the serpin (serine protease inhibitor) superfamily, known for their roles in controlling proteolytic cascades. Vaspin is predominantly expressed in visceral adipose tissue, liver, and pancreas, and circulates as an adipokine that improves insulin sensitivity and exerts anti-inflammatory effects. Its expression is influenced by obesity, metabolic stress, and insulin signaling, suggesting a compensatory role in metabolic homeostasis.

SERPINA12 inhibits proteases that degrade insulin-sensitizing factors and inflammatory mediators, contributing to glucose regulation and vascular protection. Experimental models demonstrate that Vaspin administration improves glucose tolerance and reduces insulin resistance in obese and diabetic subjects. Mechanistically, it modulates serine protease activity in adipose tissue and the liver, attenuating inflammatory cytokine production and endothelial dysfunction. It may also interact with GRP78 on cell surfaces to activate downstream signaling that promotes insulin sensitivity and cellular protection.

The SERPINA12 antibody is widely used in endocrinology, metabolism, and cardiovascular research to study the regulation and function of Vaspin. Western blot analysis typically identifies a 45 kilodalton band corresponding to the unglycosylated form of the protein, while immunohistochemistry shows cytoplasmic and extracellular staining in adipose and hepatic tissues. This antibody supports investigation of the molecular mechanisms underlying insulin resistance, obesity, and metabolic inflammation.

Beyond metabolic regulation, SERPINA12 is associated with cardiovascular protection through inhibition of vascular inflammation and endothelial apoptosis. It may also have roles in tissue repair and cancer progression. NSJ Bioreagents provides the SERPINA12 antibody validated for its applications, ensuring accurate detection for metabolic and protease regulation studies.

Application Notes

Optimal dilution of the SERPINA12 antibody should be determined by the researcher.

Immunogen

E.coli-derived human SERPINA12 recombinant protein (Position: K31-L376) was used as the immunogen for the SERPINA12 antibody.

Storage

After reconstitution, the SERPINA12 antibody can be stored for up to one month at 4oC. For long-term, aliquot and store at -20oC. Avoid repeated freezing and thawing.

Cross
Bulk Quote Request Form
Name*:
Organization*:
Email*:
Phone Number*:
Catalog No.*:
Comments and Specifics(amount, formulation, etc.)*:
Validation code: Captchapackage Image


Can't read the image? click here to refresh.
    *required field

Your bulk quote request has been submitted successfully!

Please contact us if you have any questions.