• Tel: 858.663.9055
  • SeparatorEmail: info@nsjbio.com
  • Tel: 858.663.9055
  • Email: info@nsjbio.com
Home >> Antibodies >> Serine racemase Antibody / SRR

Serine racemase Antibody / SRR (FY12241)

  Catalog No Formulation Size Price (USD)  
Image FY12241 Adding 0.2 ml of distilled water will yield a concentration of 500 ug/ml 100 ug 449
Bulk quote request
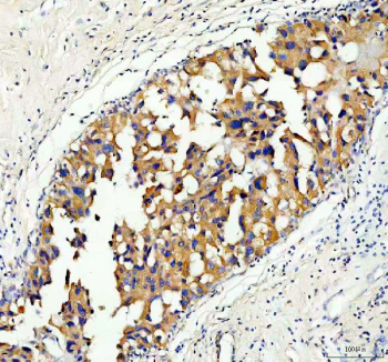
Immunohistochemical staining of Serine racemase using anti-Serine racemase antibody. Serine racemase was detected in a paraffin-embedded section of human breast cancer tissue. Heat mediated antigen retrieval was performed in EDTA buffer (pH 8.0, epitope retrieval solution). The tissue section was blocked with 10% goat serum. The tissue section was then incubated with 2 ug/ml rabbit anti-Serine racemase antibody overnight at 4oC. Peroxidase Conjugated Goat Anti-rabbit IgG was used as secondary antibody and incubated for 30 minutes at 37oC. The tissue section was developed using an HRP secondary and DAB substrate.
Western blot analysis of Serine racemase/ SRR using anti-Serine racemase antibody. Electrophoresis was performed on a 10% SDS-PAGE gel at 80V (Stacking gel) / 120V (Resolving gel) for 2-3 hours. Lane 1: human U251 whole cell lysates, Lane 2: human SiHa whole cell lysates, Lane 3: human SH-SY5Y whole cell lysates, Lane 4: rat brain tissue lysates, Lane 5: mouse brain tissue lysates. After electrophoresis, proteins were transferred to a nitrocellulose membrane at 150 mA for 50-90 minutes. Blocked the membrane with 5% non-fat milk/TBS for 1.5 hour at RT. The membrane was incubated with rabbit anti-Serine racemase antibody at 0.5 ug/ml overnight at 4oC, then washed with TBS-0.1%Tween 3 times with 5 minutes each and probed with a goat anti-rabbit IgG-HRP secondary antibody at a dilution of 1:5000 for 1.5 hour at RT. The signal was developed using an ECL Plus Western Blotting Substrate. A specific band was detected for Serine racemase at approximately 37 kDa. The expected band size for Serine racemase is at 37 kDa.
Immunofluorescent staining of Serine racemase using anti-Serine racemase antibody (green). Serine racemase was detected in an immunocytochemical section of U2OS cells. Enzyme antigen retrieval was performed using IHC enzyme antigen retrieval reagent for 15 mins. The cells were blocked with 10% goat serum. And then incubated with 5 ug/ml rabbit anti-Serine racemase antibody overnight at 4oC. DyLight 488 Conjugated Goat Anti-Rabbit IgG was used as secondary antibody at 1:500 dilution and incubated for 30 minutes at 37oC. The section was counterstained with DAPI nuclear stain (blue). Visualize using a fluorescence microscope and filter sets appropriate for the label used.
Immunoprecipitating Serine racemase in SH-SY5Y whole cell lysate. Western blot analysis of Serine racemase using anti-Serine racemase antibody. Lane 1: SH-SY5Y whole cell lysates (30ug); Lane 2: Rabbit control IgG instead of anti-Serine racemase antibody in SH-SY5Y whole cell lysate; Lane 3: anti-Serine racemase antibody (2ug) + SH-SY5Y whole cell lysate (500ug). After electrophoresis, proteins were transferred to a membrane. Then the membrane was incubated with rabbit anti-Serine racemase antibody at a dilution of 0.5 ug/ml and probed with a goat anti-rabbit IgG-HRP secondary antibody. The signal is developed using ECL Plus Western Blotting Substrate. A specific band was detected for Serine racemase at approximately 37 kDa. The expected band size for Serine racemase is at 37 kDa.
Flow Cytometry analysis of Jurkat cells using anti-Serine racemase antibody. Overlay histogram showing Jurkat cells stained with (Blue line). To facilitate intracellular staining, cells were fixed with 4% paraformaldehyde and permeabilized with permeabilization buffer. The cells were blocked with 10% normal goat serum. And then incubated with rabbit anti-Serine racemase antibody (1 ug/million cells) for 30 min at 20oC. DyLight 488 conjugated goat anti-rabbit IgG (5-10 ug/million cells) was used as secondary antibody for 30 minutes at 20oC. Isotype control antibody (Green line) was rabbit IgG (1 ug/million cells) used under the same conditions. Unlabelled sample without incubation with primary antibody and secondary antibody (Red line) was used as a blank control.
Availability 1-2 days
Species Reactivity Human, Mouse, Rat
Format Lyophilized
Host Rabbit
Clonality Polyclonal (rabbit origin)
Isotype Rabbit IgG
Purity Immunogen affinity purified
Buffer Each vial contains 4 mg Trehalose, 0.9 mg NaCl, 0.2 mg Na2HPO4.
UniProt Q9GZT4
Localization Cytoplasmic
Applications ELISA : 0.1-0.5ug/ml
Flow Cytometry : 1-3ug/million cells
Immunoprecipitation : 2-4ug/500ug of lysate
Immunofluorescence : 5ug/ml
Immunohistochemistry : 2-5ug/ml
Immunocytochemistry : 5ug/ml
Western Blot : 0.25-0.5ug/ml
Limitations This Serine racemase antibody is available for research use only.
Review this product on BioCompare and get a $20 Amazon gift card

Related Products

Description

Serine racemase antibody detects Serine racemase, encoded by the SRR gene on chromosome 17p13.3. Serine racemase antibody is widely used in research on amino acid metabolism, neurotransmission, and neurodegeneration. Serine racemase is a pyridoxal 5'-phosphate (PLP)-dependent enzyme that catalyzes the conversion of L-serine to D-serine, a co-agonist of NMDA receptors. This enzyme plays a central role in modulating glutamatergic neurotransmission and synaptic plasticity in the brain.

Structurally, Serine racemase is a ~37 kDa cytosolic protein containing a PLP-binding site and catalytic lysine essential for racemization activity. It forms homodimers, which stabilize enzymatic activity. In addition to racemization, Serine racemase can catalyze beta-elimination of water from serine to generate pyruvate, linking it to energy metabolism. Isoforms generated by alternative splicing display altered enzymatic properties.

Functionally, Serine racemase regulates D-serine availability, which acts at NMDA receptor glycine-binding sites to facilitate excitatory neurotransmission. This regulation influences synaptic plasticity, learning, and memory. Knockout studies demonstrate that loss of Serine racemase reduces D-serine levels, impairing NMDA receptor function. Researchers use Serine racemase antibody to study glutamatergic signaling, synaptic physiology, and neuropsychiatric disease.

Clinically, Serine racemase is implicated in schizophrenia, Alzheimer's disease, amyotrophic lateral sclerosis (ALS), and other neurological disorders. Reduced D-serine levels contribute to NMDA receptor hypofunction in schizophrenia, while elevated levels may cause excitotoxicity in ALS. Pharmacological modulation of Serine racemase activity is under investigation for treating these conditions. NSJ Bioreagents provides Serine racemase antibody for research in neurobiology, neurotransmission, and neurodegeneration.

Experimentally, Serine racemase antibody is used in western blotting to detect the ~37 kDa protein, in immunofluorescence microscopy to examine neuronal localization, and in immunohistochemistry to study brain distribution. Co-immunoprecipitation with Serine racemase antibody identifies interacting proteins such as GRIP and Golga3.

Application Notes

Optimal dilution of the Serine racemase antibody should be determined by the researcher.

Immunogen

E.coli-derived human Serine racemase/SRR recombinant protein (Position: A3-E283) was used as the immunogen for the Serine racemase antibody.

Storage

After reconstitution, the Serine racemase antibody can be stored for up to one month at 4oC. For long-term, aliquot and store at -20oC. Avoid repeated freezing and thawing.

Cross
Bulk Quote Request Form
Name*:
Organization*:
Email*:
Phone Number*:
Catalog No.*:
Comments and Specifics(amount, formulation, etc.)*:
Validation code: Captchapackage Image


Can't read the image? click here to refresh.
    *required field

Your bulk quote request has been submitted successfully!

Please contact us if you have any questions.