• Tel: 858.663.9055
  • SeparatorEmail: info@nsjbio.com
  • Tel: 858.663.9055
  • Email: info@nsjbio.com
Home >> Antibodies >> SERCA1 ATPase Antibody

SERCA1 ATPase Antibody (R30809)

  Catalog No Formulation Size Price (USD)  
Image R30809 0.5mg/ml if reconstituted with 0.2ml sterile DI water 100 ug 449
Bulk quote request
Western blot testing of SERCA1 ATPase antibody and Lane 1: rat skeletal muscle; 2: human PANC; 3: (h) U87 cell lysate. Observed size: 99-110KD
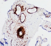
IHC-P: SERCA1 ATPase antibody testing of human placenta tissue
IHC-P: SERCA1 ATPase antibody testing of rat skeletal muscle tissue
Availability 1-3 business days
Species Reactivity Human, Mouse, Rat
Format Antigen affinity purified
Host Rabbit
Clonality Polyclonal (rabbit origin)
Isotype Rabbit IgG
Purity Antigen affinity
Buffer Lyophilized from 1X PBS with 2.5% BSA and 0.025% sodium azide/thimerosal
UniProt O14983
Applications Western Blot : 0.5-1ug/ml
IHC (FFPE) : 0.5-1ug/ml
Limitations This SERCA1 ATPase antibody is available for research use only.
Review this product on BioCompare and get a $20 Amazon gift card

Description

SERCA1 (Sarcoplasmic reticulum Ca(2+)-ATPase 1, also called ATP2A1, is an enzyme that in humans is encoded by the ATP2A1 gene. This gene encodes one of the SERCA Ca(2+)-ATPases, which are intracellular pumps located in the sarcoplasmic or endoplasmic reticula of muscle cells. This enzyme catalyzes the hydrolysis of ATP coupled with the translocation of calcium from the cytosol to the sarcoplasmic reticulum lumen, and is involved in muscular excitation and contraction. Zhang et al.(1995) determined that the human ATP2A1 gene is 26 kb long and contains 23 exons, 1 of which can be alternatively spliced. Overexpression of S1T, but not full-length SERCA1, induced ER stress in HeLa cells and amplified ER stress through the PERK(EIF2AK3)-EIF2A -ATF4 -CHOP (DDIT3) pathway. Mutations in this gene cause some autosomal recessive forms of Brody disease, characterized by increasing impairment of muscular relaxation during exercise.

Application Notes

The stated application concentrations are suggested starting amounts. Titration of the SERCA1 ATPase antibody may be required due to differences in protocols and secondary/substrate sensitivity.

Immunogen

An amino acid sequence from the middle region of human SERCA1 ATPase (EQREACRRACCFARVE) was used as the immunogen for this SERCA1 ATPase antibody (100% homologous in human, mouse and rat).

Storage

After reconstitution, the SERCA1 ATPase antibody can be stored for up to one month at 4oC. For long-term, aliquot and store at -20oC. Avoid repeated freezing and thawing.

Cross
Bulk Quote Request Form
Name*:
Organization*:
Email*:
Phone Number*:
Catalog No.*:
Comments and Specifics(amount, formulation, etc.)*:
Validation code: Captchapackage Image


Can't read the image? click here to refresh.
    *required field

Your bulk quote request has been submitted successfully!

Please contact us if you have any questions.