• Tel: 858.663.9055
  • SeparatorEmail: info@nsjbio.com
  • Tel: 858.663.9055
  • Email: info@nsjbio.com
Home >> Antibodies >> SERBP1 Antibody / PAI-RBP1

SERBP1 Antibody / PAI-RBP1 [clone SERBP1/3493] (V7599)

  Catalog No Formulation Size Price (USD)  
Image V7599-100UG 0.2 mg/ml in 1X PBS with 0.1 mg/ml BSA (US sourced) and 0.05% sodium azide 100 ug 559
Image
V7599-20UG 0.2 mg/ml in 1X PBS with 0.1 mg/ml BSA (US sourced) and 0.05% sodium azide 20 ug 259
Image
V7599SAF-100UG 1 mg/ml in 1X PBS; BSA free, sodium azide free 100 ug 559
Image
V7599IHC-7ML Prediluted in 1X PBS with 0.1 mg/ml BSA (US sourced) and 0.05% sodium azide; *For IHC use only* 7 ml 559
Microvalidated
Bulk quote request
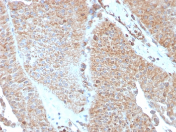
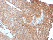
IHC testing of FFPE human urothelial carcinoma with SERBP1 antibody (clone SERBP1/3493). Required HIER: boil tissue sections in pH6, 10mM citrate buffer, for 10-20 min followed by cooling at RT for 20 min.
IHC testing of FFPE human urothelial carcinoma with SERBP1 antibody (clone SERBP1/3493). Required HIER: boil tissue sections in pH6, 10mM citrate buffer, for 10-20 min followed by cooling at RT for 20 min.
Analysis of HuProt(TM) microarray containing more than 19,000 full-length human proteins using SERBP1 antibody (clone SERBP1/3493). These results demonstrate the foremost specificity of the SERBP1/3493 mAb.
Z- and S- score: The Z-score represents the strength of a signal that an antibody (in combination with a fluorescently-tagged anti-IgG secondary Ab) produces when binding to a particular protein on the HuProt(TM) array. Z-scores are described in units of standard deviations (SD's) above the mean value of all signals generated on that array. If the targets on the HuProt(TM) are arranged in descending order of the Z-score, the S-score is the difference (also in units of SD's) between the Z-scores. The S-score therefore represents the relative target specificity of an Ab to its intended target.
SDS-PAGE analysis of purified, BSA-free SERBP1 antibody (clone SERBP1/3493) as confirmation of integrity and purity.
Western blot testing of human 1) K562 and 2) PC-3 cell lysate with SERBP1 antibody. Predicted molecular weight ~45 kDa but observed at 45-60 kDa.
Availability 1-3 business days
Species Reactivity Human
Format Purified
Host Mouse
Clonality Monoclonal (mouse origin)
Isotype Mouse IgG2b, kappa
Clone Name SERBP1/3493
Purity Protein G affinity chromatography
UniProt Q8NC51
Localization Cytoplasmic
Applications Immunohistochemistry (FFPE) : 1-2ug/ml for 30 min at RT
Western Blot : 1-2ug/ml
Limitations This SERBP1 antibody is available for research use only.
Review this product on BioCompare and get a $20 Amazon gift card

Related Products

Description

PAI-RBP1 (plasminogen activator inhibitor 1 RNA-binding protein), also known as SERBP1 (SERPINE1 mRNA-binding protein 1), CGI-55, CHD3IP (chromodomain helicase DNA binding protein 3 interacting protein), HABP4L or PAI-RBP1, is a membrane-associated protein that localizes to the nucleus, the perinuclear region of the cytoplasm and the plasma membrane. PAI-RBP1 is believed to play a role in the regulation of mRNA stability, as it specifically binds to the CRS (cyclic nucleotide-responsive sequence) motif of the PAI-1 mRNA and acts to stabilize the mRNA and regulate its expression. In addition, PAI-RBP1 interacts with Mi2-alpha and may be involved in chromatin remodeling. PAI-RBP1 also interacts with PGRMC1 and participates in the transduction of Progesterone's antiapoptotic action in ovarian cell types. The gene encoding PAI-RBP1 is overexpressed in ovarian cancer, suggesting a possible role for PAI-RBP1 in tumorigenesis and tumor metastasis.

For highly specific detection of SERBP1-associated RNA regulatory signaling pathways, see our SERBP1 Antibody / mRNA Binding Protein Antibody page featuring clone SERBP1/3491 with WB, IHC, and HuProt(TM) microarray specificity validation data.

Application Notes

Optimal dilution of the SERBP1 antibody should be determined by the researcher.

1. The prediluted format is supplied in a dropper bottle and is optimized for use in IHC. After epitope retrieval step (if required), drip mAb solution onto the tissue section and incubate at RT for 30 min.

Immunogen

A recombinant human partial protein corresponding to amino acids 3-139 was used as the immunogen for the SERBP1 antibody.

Storage

Store the SERBP1 antibody at 2-8oC (with azide) or aliquot and store at -20oC or colder (without azide).

Cross
Bulk Quote Request Form
Name*:
Organization*:
Email*:
Phone Number*:
Catalog No.*:
Comments and Specifics(amount, formulation, etc.)*:
Validation code: Captchapackage Image


Can't read the image? click here to refresh.
    *required field

Your bulk quote request has been submitted successfully!

Please contact us if you have any questions.