• Tel: 858.663.9055
  • SeparatorEmail: info@nsjbio.com
  • Tel: 858.663.9055
  • Email: info@nsjbio.com
Home >> Antibodies >> Septin 2 Antibody / SEPT2

Septin 2 Antibody / SEPT2 (RQ7247)

  Catalog No Formulation Size Price (USD)  
Image RQ7247 0.5mg/ml if reconstituted with 0.2ml sterile DI water 100 ug 449
Bulk quote request
Immunofluorescent staining of FFPE mouse brain tissue with Septin 2 antibody (red) and DAPI nuclear stain (blue). HIER: steam section in pH8 EDTA buffer for 20 min.
Immunofluorescent staining of FFPE rat brain tissue with Septin 2 antibody (red) and DAPI nuclear stain (blue). HIER: steam section in pH8 EDTA buffer for 20 min.
Immunofluorescent staining of FFPE human endometrial cancer tissue with Septin 2 antibody (red) and DAPI nuclear stain (blue). HIER: steam section in pH8 EDTA buffer for 20 min.
Immunofluorescent staining of FFPE human SiHa cells with Septin 2 antibody (green) and DAPI nuclear stain (blue). HIER: steam section in pH6 citrate buffer for 20 min.
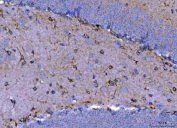
IHC staining of FFPE mouse brain tissue with Septin 2 antibody. HIER: boil tissue sections in pH8 EDTA for 20 min and allow to cool before testing.
IHC staining of FFPE mouse brain tissue with Septin 2 antibody. HIER: boil tissue sections in pH8 EDTA for 20 min and allow to cool before testing.
IHC staining of FFPE rat brain tissue with Septin 2 antibody. HIER: boil tissue sections in pH8 EDTA for 20 min and allow to cool before testing.
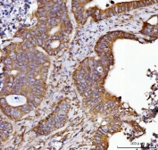
IHC staining of FFPE human colorectal adenocarcinoma tissue with Septin 2 antibody. HIER: boil tissue sections in pH8 EDTA for 20 min and allow to cool before testing.
Western blot testing of 1) human MCF7, 2) human U-87 MG, 3) human HeLa, 4) human K562, 5) monkey COS-7, 6) human HepG2 and 7) human HEL cell lysate with Septin 2 antibody. Predicted molecular weight: ~41 kDa.
Western blot testing of 1) rat brain, 2) rat kidney, 3) rat testis, 4) rat C6, 5) mouse brain, 6) mouse testis and 7) mouse Neuro-2a cell lysate with Septin 2 antibody. Predicted molecular weight: ~41 kDa.
Flow cytometry testing of human U-251 cells with Septin 2 antibody at 1ug/million cells (blocked with goat sera); Red=cells alone, Green=isotype control, Blue= Septin 2 antibody.
Availability 1-3 business days
Species Reactivity Human, Mouse, Rat, Monkey
Format Antigen affinity purified
Host Rabbit
Clonality Polyclonal (rabbit origin)
Isotype Rabbit IgG
Purity Antigen affinity purified
Buffer Lyophilized from 1X PBS with 2% Trehalose
UniProt Q15019
Localization Cytoplasmic
Applications Western Blot : 0.5-1ug/ml
Immunohistochemistry (FFPE) : 2-5ug/ml
Immunofluorescence : 5ug/ml
Flow Cytometry : 1-3ug/million cells
Direct ELISA : 0.1-0.5ug/ml
Limitations This Septin 2 antibody is available for research use only.
Review this product on BioCompare and get a $20 Amazon gift card

Related Products

  • Applications : WB, IHC-P, IF, FACS ELISA (peptide)
    Reactivity : Human, Mouse, Rat

Description

Septin 2, also known as SEPT2, is a protein which in humans is encoded by the SEPT2 gene. Enables identical protein binding activity. Predicted to be involved in several processes, including cilium assembly; regulation of exocytosis; and smoothened signaling pathway. Predicted to act upstream of or within regulation of L-glutamate import across plasma membrane and regulation of protein localization. Located in several cellular components, including cytoskeleton; photoreceptor connecting cilium; and sperm annulus. Part of septin complex.

Application Notes

Optimal dilution of the Septin 2 antibody should be determined by the researcher.

Immunogen

Recombinant human protein (amino acids M1-E326) was used as the immunogen for the Septin 2 antibody.

Storage

After reconstitution, the Septin 2 antibody can be stored for up to one month at 4oC. For long-term, aliquot and store at -20oC. Avoid repeated freezing and thawing.

Cross
Bulk Quote Request Form
Name*:
Organization*:
Email*:
Phone Number*:
Catalog No.*:
Comments and Specifics(amount, formulation, etc.)*:
Validation code: Captchapackage Image


Can't read the image? click here to refresh.
    *required field

Your bulk quote request has been submitted successfully!

Please contact us if you have any questions.