• Tel: 858.663.9055
  • SeparatorEmail: info@nsjbio.com
  • Tel: 858.663.9055
  • Email: info@nsjbio.com
Home >> Antibodies >> Septin 11 Antibody / SEPT11

Septin 11 Antibody / SEPT11 (RQ7551)

  Catalog No Formulation Size Price (USD)  
Image RQ7551 0.5mg/ml if reconstituted with 0.2ml sterile DI water 100 ug 449
Bulk quote request
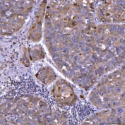
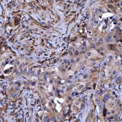
IHC staining of FFPE human spleen tissue with Septin 11 antibody. HIER: boil tissue sections in pH8 EDTA for 20 min and allow to cool before testing.
IHC staining of FFPE human appendix adenocarcinoma tissue with Septin 11 antibody. HIER: boil tissue sections in pH8 EDTA for 20 min and allow to cool before testing.
IHC staining of FFPE human liver cancer tissue with Septin 11 antibody. HIER: boil tissue sections in pH8 EDTA for 20 min and allow to cool before testing.
IHC staining of FFPE mouse brain tissue with Septin 11 antibody. HIER: boil tissue sections in pH8 EDTA for 20 min and allow to cool before testing.
IHC staining of FFPE rat brain tissue with Septin 11 antibody. HIER: boil tissue sections in pH8 EDTA for 20 min and allow to cool before testing.
Western blot testing of 1) human HeLa, 2) human 293T, 3) rat brain and 4) mouse brain tissue lysate with Septin 11 antibody. Predicted molecular weight ~49 kDa.
Flow cytometry testing of human HEL cells with Septin 11 antibody at 1ug/million cells (blocked with goat sera); Red=cells alone, Green=isotype control, Blue= Septin 11 antibody.
Availability 1-3 business days
Species Reactivity Human, Mouse, Rat
Format Antigen affinity purified
Host Rabbit
Clonality Polyclonal (rabbit origin)
Isotype Rabbit IgG
Purity Antigen affinity purified
Buffer Lyophilized from 1X PBS with 2% Trehalose
UniProt Q9NVA2
Localization Cytoplasmic
Applications Western Blot : 0.5-1ug/ml
Immunohistochemistry (FFPE) : 2-5ug/ml
Flow Cytometry : 1-3ug/million cells
Limitations This Septin 11 antibody is available for research use only.
Review this product on BioCompare and get a $20 Amazon gift card

Description

Septin-11 is a protein that in humans is encoded by the SEPT11 gene. SEPT11 belongs to the conserved septin family of filament-forming cytoskeletal GTPases that are involved in a variety of cellular functions including cytokinesis and vesicle trafficking.

Application Notes

Optimal dilution of the Septin 11 antibody should be determined by the researcher.

Immunogen

Amino acids EEVNNFQKKKAAAQLLQSQAQQ from the human protein were used as the immunogen for the Septin 11 antibody.

Storage

After reconstitution, the Septin 11 antibody can be stored for up to one month at 4oC. For long-term, aliquot and store at -20oC. Avoid repeated freezing and thawing.

Cross
Bulk Quote Request Form
Name*:
Organization*:
Email*:
Phone Number*:
Catalog No.*:
Comments and Specifics(amount, formulation, etc.)*:
Validation code: Captchapackage Image


Can't read the image? click here to refresh.
    *required field

Your bulk quote request has been submitted successfully!

Please contact us if you have any questions.