• Tel: 858.663.9055
  • SeparatorEmail: info@nsjbio.com
  • Tel: 858.663.9055
  • Email: info@nsjbio.com
Home >> Antibodies >> Semaphorin 4A Antibody / SEMA4A / Sema B

Semaphorin 4A Antibody / SEMA4A / Sema B (RQ8233)

  Catalog No Formulation Size Price (USD)  
Image RQ8233 0.5mg/ml if reconstituted with 0.2ml sterile DI water 100 ug 449
Bulk quote request
Flow cytometry testing of fixed and permeabilized human JK cells with Semaphorin 4A antibody at 1ug/million cells (blocked with goat sera); Red=cells alone, Green=isotype control, Blue= Semaphorin 4A antibody.
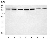
Western blot testing of 1) human HeLa, 2) human Jurkat, 3) human RT4, 4) rat thymus, 5) rat PC-12, 6) mouse thymus and 7) mouse ANA-1 cell lysate with Semaphorin 4A antibody. Predicted molecular weight ~84 kDa but may be observed at higher molecular weights due to glycosylation.
Availability 1-3 business days
Species Reactivity Human, Mouse, Rat
Format Antigen affinity purified
Host Rabbit
Clonality Polyclonal (rabbit origin)
Isotype Rabbit IgG
Purity Antigen affinity purified
Buffer Lyophilized from 1X PBS with 2% Trehalose
UniProt Q9H3S1
Applications Western Blot : 0.5-1ug/ml
Flow Cytometry : 1-3ug/million cells
Direct ELISA : 0.1-0.5ug/ml
Limitations This Semaphorin 4A antibody is available for research use only.
Review this product on BioCompare and get a $20 Amazon gift card

Description

Semaphorin-4A is a protein that in humans is encoded by the SEMA4A gene. This gene encodes a member of the semaphorin family of soluble and transmembrane proteins. Semaphorins are involved in numerous functions, including axon guidance, morphogenesis, carcinogenesis, and immunomodulation. The encoded protein is a single-pass type I membrane protein containing an immunoglobulin-like C2-type domain, a PSI domain and a sema domain. It inhibits axonal extension by providing local signals to specify territories inaccessible for growing axons. It is an activator of T-cell-mediated immunity and suppresses vascular endothelial growth factor (VEGF)-mediated endothelial cell migration and proliferation in vitro and angiogenesis in vivo. Mutations in this gene are associated with retinal degenerative diseases including retinitis pigmentosa type 35 (RP35) and cone-rod dystrophy type 10 (CORD10). Multiple alternatively spliced transcript variants encoding different isoforms have been identified.

Application Notes

Optimal dilution of the Semaphorin 4A antibody should be determined by the researcher.

Immunogen

E. coli-derived recombinant human protein (amino acids R81-N754) was used as the immunogen for the Semaphorin 4A antibody.

Storage

After reconstitution, the Semaphorin 4A antibody can be stored for up to one month at 4oC. For long-term, aliquot and store at -20oC. Avoid repeated freezing and thawing.

Cross
Bulk Quote Request Form
Name*:
Organization*:
Email*:
Phone Number*:
Catalog No.*:
Comments and Specifics(amount, formulation, etc.)*:
Validation code: Captchapackage Image


Can't read the image? click here to refresh.
    *required field

Your bulk quote request has been submitted successfully!

Please contact us if you have any questions.