• Tel: 858.663.9055
  • SeparatorEmail: info@nsjbio.com
  • Tel: 858.663.9055
  • Email: info@nsjbio.com
Home >> Antibodies >> SELT Antibody / SELENOT

SELT Antibody / SELENOT (RQ7575)

  Catalog No Formulation Size Price (USD)  
Image RQ7575 0.5mg/ml if reconstituted with 0.2ml sterile DI water 100 ug 449
Bulk quote request
Immunofluorescent staining of FFPE human lung tissue with SELT antibody (red) and DAPI nuclear stain (blue). HIER: steam section in pH8 EDTA buffer for 20 min.
IHC staining of FFPE human ovarian serous cancer tissue with SELT antibody. HIER: boil tissue sections in pH8 EDTA for 20 min and allow to cool before testing.
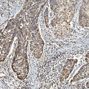
IHC staining of FFPE human larynx squamous cell carcinoma tissue with SELT antibody. HIER: boil tissue sections in pH8 EDTA for 20 min and allow to cool before testing.
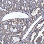
IHC staining of FFPE human renal cancer tissue with SELT antibody. HIER: boil tissue sections in pH8 EDTA for 20 min and allow to cool before testing.
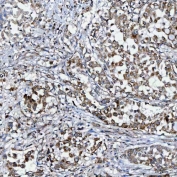
IHC staining of FFPE human lung adenocarcinoma tissue with SELT antibody. HIER: boil tissue sections in pH8 EDTA for 20 min and allow to cool before testing.
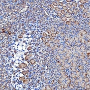
IHC staining of FFPE human thyroid cancer tissue with SELT antibody. HIER: boil tissue sections in pH8 EDTA for 20 min and allow to cool before testing.
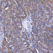
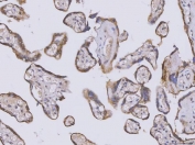
IHC staining of FFPE human placental tissue with SELT antibody. HIER: boil tissue sections in pH8 EDTA for 20 min and allow to cool before testing.
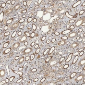
IHC staining of FFPE mouse kidney tissue with SELT antibody. HIER: boil tissue sections in pH8 EDTA for 20 min and allow to cool before testing.
IHC staining of FFPE mouse brain tissue with SELT antibody. HIER: boil tissue sections in pH8 EDTA for 20 min and allow to cool before testing.
IHC staining of FFPE rat kidney tissue with SELT antibody. HIER: boil tissue sections in pH8 EDTA for 20 min and allow to cool before testing.
IHC staining of FFPE rat brain tissue with SELT antibody. HIER: boil tissue sections in pH8 EDTA for 20 min and allow to cool before testing.
Western blot testing of 1) human A431, 2) human U-251, 3) human Caco-2, 4) human MCF7, 5) human T-47D, 6) human RT4, 7) rat pancreas, 8) mouse pancreas and 9) mouse NIH 3T3 cell lysate with SELT antibody. Predicted molecular weight ~22 kDa.
Flow cytometry testing of human HL60 cells with SELT antibody at 1ug/million cells (blocked with goat sera); Red=cells alone, Green=isotype control, Blue= SELT antibody.
Availability 1-3 business days
Species Reactivity Human, Mouse, Rat
Format Antigen affinity purified
Host Rabbit
Clonality Polyclonal (rabbit origin)
Isotype Rabbit IgG
Purity Antigen affinity purified
Buffer Lyophilized from 1X PBS with 2% Trehalose
UniProt P62341
Localization Cytoplasm (ER)
Applications Western Blot : 0.5-1ug/ml
Immunohistochemistry (FFPE) : 2-5ug/ml
Flow Cytometry : 1-3ug/million cells
Immunofluorescence : 5ug/ml
Direct ELISA : 0.1-0.5ug/ml
Limitations This SELT antibody is available for research use only.
Review this product on BioCompare and get a $20 Amazon gift card

Description

SELT antibody targets Selenoprotein T, also known as SELENOT, a small endoplasmic reticulum-resident selenoprotein that plays an important role in cellular redox regulation and secretory pathway homeostasis. Selenoprotein T is localized primarily to the endoplasmic reticulum membrane, where it contains a conserved redox-active motif typical of thioredoxin-like selenoproteins. The SELT gene encodes a protein that belongs to the selenoprotein family, characterized by the incorporation of the amino acid selenocysteine, which confers enhanced redox activity compared to cysteine-containing proteins. This biochemical property underlies the protein's involvement in maintaining redox balance during protein folding and secretion.

SELT antibody is widely used in research settings to study Selenoprotein T expression and distribution in secretory cells and metabolically active tissues. Selenoprotein T is highly expressed in endocrine and neuroendocrine systems, including pancreatic islets, adrenal tissue, and neuronal populations, where regulated secretion and oxidative control are tightly linked. Its expression pattern suggests a specialized role in cells with high secretory demand, where oxidative stress can arise as a consequence of intense protein synthesis and hormone production.

Functionally, Selenoprotein T contributes to intracellular redox signaling and protection against oxidative stress, supporting cell survival and proper secretory function. Studies have shown that SELENOT activity is particularly important during development and cellular differentiation, especially in tissues undergoing rapid growth or hormonal maturation. Loss or reduction of Selenoprotein T expression has been associated with impaired secretory capacity and increased sensitivity to oxidative damage, highlighting its protective role within the endoplasmic reticulum environment.

SELT antibody is also relevant for investigating disease-associated processes. Altered SELENOT expression or function has been linked to metabolic disorders, endocrine dysfunction, and stress-related cellular responses. In pancreatic beta cells, Selenoprotein T is implicated in insulin biosynthesis and secretion, making it of interest in diabetes-related research. In the nervous system, its role in redox homeostasis supports neuronal viability under oxidative or inflammatory stress, connecting SELENOT to neurodegenerative and neuroinflammatory conditions.

At the molecular level, Selenoprotein T is encoded by a gene located on human chromosome 3 and produces a relatively small protein that integrates into the endoplasmic reticulum membrane. It interacts with components of the secretory machinery and redox regulators, contributing to proper protein maturation and cellular signaling. SELT antibody enables researchers to examine these interactions and to map expression changes across tissues, developmental stages, and experimental models.

Overall, SELT antibody is a valuable tool for studying redox biology, endocrine and neuroendocrine regulation, and cellular stress responses. By enabling detection of Selenoprotein T in research applications, this antibody supports investigations into fundamental cell biology as well as disease mechanisms related to oxidative imbalance and secretory dysfunction.

Application Notes

Optimal dilution of the SELT antibody should be determined by the researcher.

Immunogen

E. coli-derived recombinant human protein (amino acids S20-S195) was used as the immunogen for the SELT antibody.

Storage

After reconstitution, the SELT antibody can be stored for up to one month at 4oC. For long-term, aliquot and store at -20oC. Avoid repeated freezing and thawing.

Cross
Bulk Quote Request Form
Name*:
Organization*:
Email*:
Phone Number*:
Catalog No.*:
Comments and Specifics(amount, formulation, etc.)*:
Validation code: Captchapackage Image


Can't read the image? click here to refresh.
    *required field

Your bulk quote request has been submitted successfully!

Please contact us if you have any questions.