• Tel: 858.663.9055
  • SeparatorEmail: info@nsjbio.com
  • Tel: 858.663.9055
  • Email: info@nsjbio.com
Home >> Antibodies >> SELL Antibody / L-Selectin / LAM-1

SELL Antibody / L-Selectin / LAM-1 (F55079)

  Catalog No Formulation Size Price (USD)  
Image F55079-0.2ML In 1X PBS, pH 7.4, with 0.09% sodium azide 0.2 ml 439
Image
F55079-0.05ML In 1X PBS, pH 7.4, with 0.09% sodium azide 0.05 ml 205
Bulk quote request
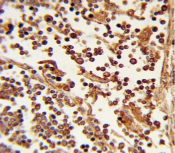
IHC staining of FFPE human lymph tissue with SELL antibody. HIER: steam section in pH6 citrate buffer for 20 min and allow to cool prior to staining.
Western blot testing of human 1) Raji, 2) Jurkat, 3) K562, 4) MCF7 and 5) HL60 cell lysate with SELL antibody. Expected/observed molecular weight: 42~95 kDa depending on level of glycosylation.
Flow cytometry testing of fixed human Jurkat cells with SELL antibody; Blue=isotype control, Green= SELL antibody.
Availability 1-2 business days
Species Reactivity Human
Format Purified
Host Rabbit
Clonality Polyclonal (rabbit origin)
Isotype Rabbit Ig
UniProt P14151
Applications Western Blot : 1:1000-1:2000
Immunohistochemistry (FFPE) : 1:10-1:50
Flow Cytometry : 1:25 per million cells in 0.1ml
Limitations This SELL antibody is available for research use only.
Review this product on BioCompare and get a $20 Amazon gift card

Related Products

Description

L-Selectin, also known as CD62L, SELL and LAM-1, is a cell adhesion molecule found on the surface of leukocytes, or white blood cells. It plays a role in the immune response by facilitating the binding of leukocytes to endothelial cells in the blood vessels, allowing them to migrate to sites of infection or inflammation. One of the key functions of L-Selectin is its involvement in the process of leukocyte rolling. When an infection or injury occurs, inflammatory signals are released that trigger the expression of adhesion molecules on the surface of endothelial cells. L-Selectin on leukocytes then binds to its ligands on the endothelial cells, causing the leukocytes to roll along the vessel wall. This rolling motion slows down the leukocytes and allows them to survey the endothelial surface for signs of infection. Once the leukocytes have identified the site of infection, they can firmly adhere to the endothelial cells and extravasate, or migrate, into the surrounding tissue. L-Selectin plays a critical role in this step by mediating the initial interaction between leukocytes and endothelial cells. Without L-Selectin, leukocytes would not be able to efficiently migrate to the site of infection, impairing the immune response.
In addition to its role in leukocyte trafficking, L-Selectin also plays a role in regulating the activation and function of leukocytes. Studies have shown that L-Selectin signaling can modulate the production of cytokines and chemokines, which are key mediators of inflammation. By influencing the inflammatory response, L-Selectin can help regulate the magnitude and duration of immune reactions, preventing excessive tissue damage. Furthermore, L-Selectin has been implicated in a variety of inflammatory and autoimmune diseases. Dysregulation of L-Selectin expression or function can lead to abnormal leukocyte trafficking and contribute to chronic inflammation. Understanding the role of L-Selectin in these conditions may provide insights into potential therapeutic targets for treating inflammatory diseases.

Application Notes

Titration of the SELL antibody may be required due to differences in protocols and secondary/substrate sensitivity.

Immunogen

A portion of amino acids 346-372 from the human protein was used as the immunogen for this SELL antibody.

Storage

Aliquot the SELL antibody and store frozen at -20oC or colder. Avoid repeated freeze-thaw cycles.

Cross
Bulk Quote Request Form
Name*:
Organization*:
Email*:
Phone Number*:
Catalog No.*:
Comments and Specifics(amount, formulation, etc.)*:
Validation code: Captchapackage Image


Can't read the image? click here to refresh.
    *required field

Your bulk quote request has been submitted successfully!

Please contact us if you have any questions.