• Tel: 858.663.9055
  • SeparatorEmail: info@nsjbio.com
  • Tel: 858.663.9055
  • Email: info@nsjbio.com
Home >> Antibodies >> Selenophosphate synthetase 1 Antibody / SEPHS1

Selenophosphate synthetase 1 Antibody / SEPHS1 (RQ7477)

  Catalog No Formulation Size Price (USD)  
Image RQ7477 0.5mg/ml if reconstituted with 0.2ml sterile DI water 100 ug 449
Bulk quote request
IHC staining of FFPE rat brain tissue with Selenophosphate synthetase 1 antibody. HIER: boil tissue sections in pH8 EDTA for 20 min and allow to cool before testing.
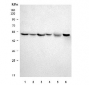
Western blot testing of 1) human Jurkat, 2) human HepG2, 3) human MOLT4, 4) human SiHa, 5) rat brain and 6) mouse brain tissue lysate with Selenophosphate synthetase 1 antibody. Predicted molecular weight ~43 kDa.
Availability 1-3 business days
Species Reactivity Human, Mouse, Rat
Format Antigen affinity purified
Host Rabbit
Clonality Polyclonal (rabbit origin)
Isotype Rabbit IgG
Purity Antigen affinity purified
Buffer Lyophilized from 1X PBS with 2% Trehalose
UniProt P49903
Localization Cytoplasm, cell membrane, nuclear membrane
Applications Western Blot : 0.5-1ug/ml
Immunohistochemistry (FFPE) : 2-5ug/ml
Limitations This Selenophosphate synthetase 1 antibody is available for research use only.
Review this product on BioCompare and get a $20 Amazon gift card

Related Products

Description

Selenide, water dikinase 1 is an enzyme that in humans is encoded by the SEPHS1 gene. This gene encodes an enzyme that synthesizes selenophosphate from selenide and ATP. Selenophosphate is the selenium donor used to synthesize selenocysteine, which is co-translationally incorporated into selenoproteins at in-frame UGA codons.

Application Notes

Optimal dilution of the Selenophosphate synthetase 1 antibody should be determined by the researcher.

Immunogen

Amino acids RERDKVMPLIIQGFKDAAEEA from the human protein were used as the immunogen for the Selenophosphate synthetase 1 antibody.

Storage

After reconstitution, the Selenophosphate synthetase 1 antibody can be stored for up to one month at 4oC. For long-term, aliquot and store at -20oC. Avoid repeated freezing and thawing.

Cross
Bulk Quote Request Form
Name*:
Organization*:
Email*:
Phone Number*:
Catalog No.*:
Comments and Specifics(amount, formulation, etc.)*:
Validation code: Captchapackage Image


Can't read the image? click here to refresh.
    *required field

Your bulk quote request has been submitted successfully!

Please contact us if you have any questions.