• Tel: 858.663.9055
  • SeparatorEmail: info@nsjbio.com
  • Tel: 858.663.9055
  • Email: info@nsjbio.com
Home >> Antibodies >> SELE Antibody / E-Selectin

SELE Antibody / E-Selectin [clone r16G4] (V5990)

  Catalog No Formulation Size Price (USD)  
Image V5990-100UG 0.2 mg/ml in 1X PBS with 0.05% BSA, 0.05% sodium azide 100 ug 559
Image
V5990-20UG 0.2 mg/ml in 1X PBS with 0.05% BSA, 0.05% sodium azide 20 ug 259
Image
V5990SAF-100UG 1 mg/ml in 1X PBS; BSA free, sodium azide free 100 ug 559
Microvalidated Recmousemono
Bulk quote request
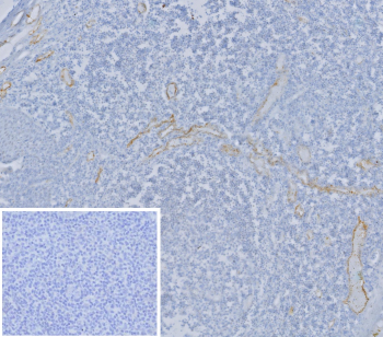
Immunohistochemistry analysis of SELE/E-selectin antibody in human tonsil tissue. FFPE human tonsil sections show HRP-DAB brown staining localized to endothelial cells lining small vessels within the interfollicular regions, consistent with E-selectin, also known as CD62E, expression in activated vascular endothelium. Lymphoid cells within germinal centers are largely negative. The inset negative control, in which PBS was used in place of primary antibody, shows no specific brown chromogenic signal. Heat induced epitope retrieval was performed in 10 mM Tris with 1 mM EDTA, pH 9.0, by heating at 95oC for 45 minutes followed by cooling at room temperature for 20 minutes.
SDS-PAGE Analysis of Purified SELE / CD62E antibody (clone r16G4). Confirmation of Purity and Integrity of Antibody.
Species Reactivity Human
Format Purified
Host Mouse
Clonality Recombinant Mouse Monoclonal
Isotype Mouse IgG1, kappa
Clone Name r16G4
UniProt P16581
Localization Cell membrane
Applications Immunohistochemistry (FFPE) : 1-2ug/ml
Limitations This SELE/E-selectin antibody is available for research use only.
Review this product on BioCompare and get a $20 Amazon gift card

Related Products

Description

SELE antibody, also known as E-selectin antibody, recognizes E-selectin, a type I transmembrane adhesion molecule encoded by the SELE gene and commonly referred to as CD62E and endothelial-leukocyte adhesion molecule 1. E-selectin is primarily localized to the plasma membrane of activated endothelial cells and is a member of the selectin family of calcium-dependent lectins. Under basal conditions, SELE expression is low or absent; however, it is rapidly induced in endothelial cells in response to inflammatory cytokines such as interleukin-1 and tumor necrosis factor alpha, linking vascular activation to immune cell recruitment.

SELE antibody detects a glycoprotein composed of an N-terminal C-type lectin domain, an epidermal growth factor-like domain, multiple short consensus repeat units, a single transmembrane region, and a short cytoplasmic tail. The lectin domain mediates binding to sialylated carbohydrate ligands, including sialyl Lewis x structures on neutrophils, monocytes, and subsets of lymphocytes. Through these interactions, E-selectin supports leukocyte tethering and rolling along the vascular endothelium under shear flow conditions, representing a critical early step in extravasation during inflammation.

Functionally, E-selectin plays a central role in acute and chronic inflammatory responses by regulating leukocyte trafficking into tissues. Because its expression is tightly controlled and transient following cytokine stimulation, SELE is widely used as a marker of endothelial activation in experimental models of vascular inflammation. Elevated E-selectin levels have been associated with atherosclerosis, cardiovascular disease, autoimmune disorders, and other inflammatory conditions. In oncology research, endothelial E-selectin can contribute to adhesion of circulating tumor cells, implicating SELE in metastatic dissemination and tumor-vascular interactions.

The SELE gene is located on chromosome 1 and is transcriptionally regulated by inflammatory signaling pathways, including those downstream of nuclear factor kappa B activation. The endothelial-restricted and inducible nature of E-selectin expression makes detection of this protein valuable for studying cytokine signaling, vascular biology, and immune-endothelial interactions.

This recombinant monoclonal SELE antibody (clone r16G4) targets E-selectin protein in research applications. SELE antibody supports investigation of endothelial activation, leukocyte recruitment mechanisms, and disease-associated inflammatory signaling.

Application Notes

1. Optimal dilution of the SELE/E-selectin antibody should be determined by the researcher.

2. This SELE/E-selectin antibody is recombinantly produced by expression in CHO cells.

Immunogen

Prokaryotic recombinant fusion protein corresponding to the cysteine-rich complement control protein domains of the CD62E molecule was used as the immunogen for the SELE/E-selectin antibody.

Storage

SELE/E-selectin antibody with sodium azide - store at 2 to 8oC; antibody without sodium azide - store at -20 to -80oC.

Cross
Bulk Quote Request Form
Name*:
Organization*:
Email*:
Phone Number*:
Catalog No.*:
Comments and Specifics(amount, formulation, etc.)*:
Validation code: Captchapackage Image


Can't read the image? click here to refresh.
    *required field

Your bulk quote request has been submitted successfully!

Please contact us if you have any questions.