• Tel: 858.663.9055
  • SeparatorEmail: info@nsjbio.com
  • Tel: 858.663.9055
  • Email: info@nsjbio.com
Home >> Antibodies >> SEL1L Antibody / Suppressor of lin-12-like protein 1

SEL1L Antibody / Suppressor of lin-12-like protein 1 (RQ7518)

  Catalog No Formulation Size Price (USD)  
Image RQ7518 0.5mg/ml if reconstituted with 0.2ml sterile DI water 100 ug 449
Bulk quote request
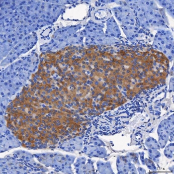
IHC staining of FFPE mouse pancreas tissue with SEL1L antibody. HIER: boil tissue sections in pH8 EDTA for 20 min and allow to cool before testing.
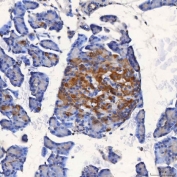
IHC staining of FFPE rat pancreas tissue with SEL1L antibody. HIER: boil tissue sections in pH8 EDTA for 20 min and allow to cool before testing.
Immunofluorescent staining of FFPE mouse pancreas tissue with SEL1L antibody (red) and DAPI nuclear stain (blue). HIER: boil tissue sections in pH8 EDTA for 20 min and allow to cool before testing.
Immunofluorescent staining of FFPE rat pancreas tissue with SEL1L antibody (red) and DAPI nuclear stain (blue). HIER: boil tissue sections in pH8 EDTA for 20 min and allow to cool before testing.
Immunofluorescent staining of FFPE human U-2 OS cells with SEL11 antibody (red) and DAPI nuclear stain (blue). HIER: steam section in pH6 citrate buffer for 20 min.
Western blot testing of 1) human HepG2, 2) human U-87 MG, 3) rat pancreas and 4) mouse pancreas tissue lysate with SEL1L antibody. Predicted molecular weight ~89 kDa but may be observed at higher molecular weights due to glycosylation.
Flow cytometry testing of human HEL cells with SEL1L antibody at 1ug/million cells (blocked with goat sera); Red=cells alone, Green=isotype control, Blue= SEL1L antibody.
Availability 1-3 business days
Species Reactivity Human, Mouse, Rat
Format Antigen affinity purified
Host Rabbit
Clonality Polyclonal (rabbit origin)
Isotype Rabbit IgG
Purity Antigen affinity purified
Buffer Lyophilized from 1X PBS with 2% Trehalose
UniProt Q9UBV2
Localization Cytoplasmic (ER)
Applications Western Blot : 0.5-1ug/ml
Immunohistochemistry (FFPE) : 2-5ug/ml
Immunofluorescence : 5ug/ml
Flow Cytometry : 1-3ug/million cells
Direct ELISA : 0.1-0.5ug/ml
Limitations This SEL1L antibody is available for research use only.
Review this product on BioCompare and get a $20 Amazon gift card

Related Products

Description

Protein sel-1 homolog 1 is a protein that in humans is encoded by the SEL1L gene. The protein encoded by this gene is part of a protein complex required for the retrotranslocation or dislocation of misfolded proteins from the endoplasmic reticulum lumen to the cytosol, where they are degraded by the proteasome in a ubiquitin-dependent manner. Alternatively spliced transcript variants encoding different isoforms have been found for this gene.

Application Notes

Optimal dilution of the SEL1L antibody should be determined by the researcher.

Immunogen

E. coli-derived recombinant human protein (amino acids E105-E723) was used as the immunogen for the SEL1L antibody.

Storage

After reconstitution, the SEL1L antibody can be stored for up to one month at 4oC. For long-term, aliquot and store at -20oC. Avoid repeated freezing and thawing.

Cross
Bulk Quote Request Form
Name*:
Organization*:
Email*:
Phone Number*:
Catalog No.*:
Comments and Specifics(amount, formulation, etc.)*:
Validation code: Captchapackage Image


Can't read the image? click here to refresh.
    *required field

Your bulk quote request has been submitted successfully!

Please contact us if you have any questions.