• Tel: 858.663.9055
  • SeparatorEmail: info@nsjbio.com
  • Tel: 858.663.9055
  • Email: info@nsjbio.com
Home >> Antibodies >> SEC61G Antibody / Sec61 subunit gamma

SEC61G Antibody / Sec61 subunit gamma (FY12253)

  Catalog No Formulation Size Price (USD)  
Image FY12253 Adding 0.2 ml of distilled water will yield a concentration of 500 ug/ml 100 ug 449
Bulk quote request
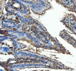
Immunohistochemical staining of SEC61G using anti-SEC61G antibody. SEC61G was detected in a paraffin-embedded section of human colorectal adenocarcinoma tissue. Heat mediated antigen retrieval was performed in EDTA buffer (pH 8.0, epitope retrieval solution). The tissue section was blocked with 10% goat serum. The tissue section was then incubated with 2 ug/ml rabbit anti-SEC61G antibody overnight at 4oC. Peroxidase Conjugated Goat Anti-rabbit IgG was used as secondary antibody and incubated for 30 minutes at 37oC. The tissue section was developed using an HRP secondary and DAB substrate.
Western blot analysis of SEC61G using anti-SEC61G antibody. Lane 1: human 293T whole cell lysates, Lane 2: human U87 whole cell lysates, Lane 3: human Hela whole cell lysates, Lane 4: human U251 whole cell lysates, Lane 5: rat liver tissue lysates. After electrophoresis, proteins were transferred to a nitrocellulose membrane at 150 mA for 50-90 minutes. Blocked the membrane with 5% non-fat milk/TBS for 1.5 hour at RT. The membrane was incubated with rabbit anti-SEC61G antibody at 0.5 ug/ml overnight at 4oC, then washed with TBS-0.1%Tween 3 times with 5 minutes each and probed with a goat anti-rabbit IgG-HRP secondary antibody at a dilution of 1:5000 for 1.5 hour at RT. The signal was developed using enhanced chemiluminescent. The expected band size for SEC61G is at 8 kDa.
Immunohistochemical staining of SEC61G using anti-SEC61G antibody. SEC61G was detected in a paraffin-embedded section of human liver cancer tissue. Heat mediated antigen retrieval was performed in EDTA buffer (pH 8.0, epitope retrieval solution). The tissue section was blocked with 10% goat serum. The tissue section was then incubated with 2 ug/ml rabbit anti-SEC61G antibody overnight at 4oC. Peroxidase Conjugated Goat Anti-rabbit IgG was used as secondary antibody and incubated for 30 minutes at 37oC. The tissue section was developed using an HRP secondary and DAB substrate.
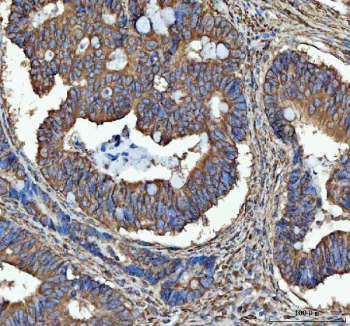
Immunohistochemical staining of SEC61G using anti-SEC61G antibody. SEC61G was detected in a paraffin-embedded section of human ovarian cancer tissue. Heat mediated antigen retrieval was performed in EDTA buffer (pH 8.0, epitope retrieval solution). The tissue section was blocked with 10% goat serum. The tissue section was then incubated with 2 ug/ml rabbit anti-SEC61G antibody overnight at 4oC. Peroxidase Conjugated Goat Anti-rabbit IgG was used as secondary antibody and incubated for 30 minutes at 37oC. The tissue section was developed using an HRP secondary and DAB substrate.
Immunohistochemical staining of SEC61G using anti-SEC61G antibody. SEC61G was detected in a paraffin-embedded section of mouse colon tissue. Heat mediated antigen retrieval was performed in EDTA buffer (pH 8.0, epitope retrieval solution). The tissue section was blocked with 10% goat serum. The tissue section was then incubated with 2 ug/ml rabbit anti-SEC61G antibody overnight at 4oC. Peroxidase Conjugated Goat Anti-rabbit IgG was used as secondary antibody and incubated for 30 minutes at 37oC. The tissue section was developed using an HRP secondary and DAB substrate.
Immunohistochemical staining of SEC61G using anti-SEC61G antibody. SEC61G was detected in a paraffin-embedded section of rat colon tissue. Heat mediated antigen retrieval was performed in EDTA buffer (pH 8.0, epitope retrieval solution). The tissue section was blocked with 10% goat serum. The tissue section was then incubated with 2 ug/ml rabbit anti-SEC61G antibody overnight at 4oC. Peroxidase Conjugated Goat Anti-rabbit IgG was used as secondary antibody and incubated for 30 minutes at 37oC. The tissue section was developed using an HRP secondary and DAB substrate.
Availability 1-2 days
Species Reactivity Human, Mouse, Rat
Format Lyophilized
Host Rabbit
Clonality Polyclonal (rabbit origin)
Isotype Rabbit IgG
Purity Immunogen affinity purified
Buffer Each vial contains 4 mg Trehalose, 0.9 mg NaCl, 0.2 mg Na2HPO4.
UniProt P60059
Applications Western Blot : 0.25-0.5ug/ml
Immunohistochemistry : 2-5ug/ml
ELISA : 0.1-0.5ug/ml
Limitations This SEC61G antibody is available for research use only.
Review this product on BioCompare and get a $20 Amazon gift card

Description

SEC61G antibody detects Protein transport protein Sec61 subunit gamma, encoded by the SEC61G gene on chromosome 7q21.11. SEC61G antibody is commonly used in studies of protein translocation, ER biology, and cancer. SEC61G is the gamma subunit of the Sec61 complex, the central protein-conducting channel of the endoplasmic reticulum (ER). This complex mediates cotranslational translocation of nascent polypeptides into the ER lumen or membrane, a process critical for secretory and membrane protein biosynthesis.

Structurally, SEC61G is a ~9 kDa integral membrane protein composed of a single transmembrane helix and short cytosolic and luminal tails. It functions as a stabilizing subunit of the heterotrimeric Sec61 channel, which also includes the alpha subunit SEC61A and the beta subunit SEC61B. SEC61G is embedded in ER membranes and contributes to complex stability and channel regulation.

Functionally, SEC61G supports protein translocation, integration of membrane proteins, and ER homeostasis. It helps maintain proper folding environments by coordinating with chaperones and quality control machinery. Loss of SEC61G destabilizes the Sec61 complex, impairing protein secretion and triggering ER stress responses. Researchers use SEC61G antibody to study secretory pathway biology, protein folding, and ER-associated degradation.

Clinically, SEC61G is implicated in cancer, where it is frequently amplified and overexpressed. Elevated SEC61G promotes survival and proliferation by supporting high rates of protein synthesis in tumor cells. It has been proposed as a prognostic marker and therapeutic target in glioblastoma and other malignancies. NSJ Bioreagents offers SEC61G antibody for research in protein secretion, cancer, and ER biology.

Experimentally, SEC61G antibody is applied in western blotting to detect the ~9 kDa protein, in immunofluorescence microscopy to study ER localization, and in immunohistochemistry to assess tumor expression. Co-immunoprecipitation with SEC61G antibody helps identify interactions with SEC61A, SEC61B, and chaperone partners.

Application Notes

Optimal dilution of the SEC61G antibody should be determined by the researcher.

Immunogen

E.coli-derived human SEC61G recombinant protein (Position: M1-I64) was used as the immunogen for the SEC61G antibody.

Storage

After reconstitution, the SEC61G antibody can be stored for up to one month at 4oC. For long-term, aliquot and store at -20oC. Avoid repeated freezing and thawing.

Cross
Bulk Quote Request Form
Name*:
Organization*:
Email*:
Phone Number*:
Catalog No.*:
Comments and Specifics(amount, formulation, etc.)*:
Validation code: Captchapackage Image


Can't read the image? click here to refresh.
    *required field

Your bulk quote request has been submitted successfully!

Please contact us if you have any questions.