• Tel: 858.663.9055
  • SeparatorEmail: info@nsjbio.com
  • Tel: 858.663.9055
  • Email: info@nsjbio.com
Home >> Antibodies >> SEC13L1 Antibody / SEC13 / SEC13-like protein 1

SEC13L1 Antibody / SEC13 / SEC13-like protein 1 (RQ7444)

  Catalog No Formulation Size Price (USD)  
Image RQ7444 0.5mg/ml if reconstituted with 0.2ml sterile DI water 100 ug 439
Bulk quote request
Immunofluorescent staining of FFPE human A549 cells with SEC13L1 antibody (green) and DAPI nuclear stain (blue). HIER: steam section in pH6 citrate buffer for 20 min.
Western blot testing of 1) human HepG2, 2) human K562, 3) human HeLa and 4) mouse ovary tissue lysate with SEC13L1 antibody. Predicted molecular weight: 34-41 kDa (multiple isoforms).
Flow cytometry testing of fixed and permeabilized human HL60 cells with SEC13L1 antibody at 1ug/million cells (blocked with goat sera); Red=cells alone, Green=isotype control, Blue= SEC13L1 antibody.
Flow cytometry testing of fixed and permeabilized human JK cells with SEC13L1 antibody at 1ug/million cells (blocked with goat sera); Red=cells alone, Green=isotype control, Blue= SEC13L1 antibody.
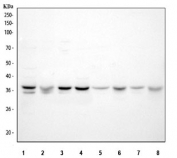
Western blot testing of 1) human MCF7, 2) human MDA-MB-453, 3) human HepG2, 4) human K562, 5) rat brain, 6) rat small intestine, 7) mouse brain and 8) mouse small intestine tissue lysate with SEC13L1 antibody. Predicted molecular weight: 34-41 kDa (multiple isoforms).
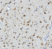
IHC staining of FFPE human brain tissue with SEC13L1 antibody, HRP-secondary and DAB substrate. HIER: boil tissue sections in pH8 EDTA for 20 min and allow to cool before testing.
Availability 1-3 business days
Species Reactivity Human, Mouse, Rat
Format Antigen affinity purified
Clonality Polyclonal (rabbit origin)
Isotype Rabbit IgG
Purity Antigen affinity purified
Buffer Lyophilized from 1X PBS with 2% Trehalose
UniProt P55735
Localization Cytoplasmic
Applications Western Blot : 0.5-1ug/ml
Immunofluorescence : 5ug/ml
Flow Cytometry : 1-3ug/million cells
Direct ELISA : 0.1-0.5ug/ml
Immunohistochemistry (FFPE) : 2-5ug/ml
Limitations This SEC13L1 antibody is available for research use only.
Review this product on BioCompare and get a $20 Amazon gift card

Description

SEC13L1 (SEC13-like protein 1), also known as SEC13, is a WD-repeat containing protein that plays dual roles in intracellular trafficking and nuclear pore complex organization. Originally identified as a component of the coat protein complex II (COPII), SEC13L1 participates in the formation of transport vesicles at the endoplasmic reticulum (ER), where it is critical for protein export to the Golgi apparatus. Researchers frequently use a SEC13L1 antibody to study protein trafficking, ER-to-Golgi transport, and vesicle biogenesis.

In addition to its role in secretion, SEC13L1 is a structural component of the nuclear pore complex (NPC), contributing to nucleocytoplasmic transport. This dual localization highlights its importance in both secretory pathway dynamics and the regulation of macromolecular exchange between the nucleus and cytoplasm. Employing a SEC13L1 antibody allows scientists to track its expression and localization in different cellular compartments, offering insights into how transport processes are integrated.

SEC13L1 has also been linked to the regulation of signaling pathways, such as those involving mTOR and immune responses. Alterations in SEC13L1 function have been associated with defects in ER export and impaired immune regulation, underscoring its biological significance. Because of its multifunctional role, SEC13L1 continues to be studied in the context of development, cell cycle control, and disease. Using a SEC13L1 antibody provides a valuable tool for investigating these processes in basic and applied research.

NSJ Bioreagents provides a high-quality SEC13L1 antibody validated for applications including western blot, immunohistochemistry, and immunofluorescence. Choosing a SEC13L1 antibody from NSJ Bioreagents ensures reliable performance and reproducibility in studies of vesicle trafficking, nuclear transport, and signaling pathways.

Application Notes

Optimal dilution of the SEC13L1 antibody should be determined by the researcher.

Immunogen

E. coli-derived recombinant human protein (amino acids Q20-K305) was used as the immunogen for the SEC13L1 antibody.

Storage

After reconstitution, the SEC13L1 antibody can be stored for up to one month at 4oC. For long-term, aliquot and store at -20oC. Avoid repeated freezing and thawing.

Cross
Bulk Quote Request Form
Name*:
Organization*:
Email*:
Phone Number*:
Catalog No.*:
Comments and Specifics(amount, formulation, etc.)*:
Validation code: Captchapackage Image


Can't read the image? click here to refresh.
    *required field

Your bulk quote request has been submitted successfully!

Please contact us if you have any questions.