• Tel: 858.663.9055
  • SeparatorEmail: info@nsjbio.com
  • Tel: 858.663.9055
  • Email: info@nsjbio.com
Home >> Antibodies >> SDHB Antibody / Succinate dehydrogenase B

SDHB Antibody / Succinate dehydrogenase B (R30808)

  Catalog No Formulation Size Price (USD)  
Image R30808 0.5mg/ml if reconstituted with 0.2ml sterile DI water 100 ug 449
Bulk quote request
IHC staining of FFPE human lung adenocarcinoma tissue with SDHB antibody. HIER: boil tissue sections in pH8 EDTA for 20 min and allow to cool before testing.
IHC staining of FFPE human liver cancer tissue with SDHB antibody. HIER: boil tissue sections in pH8 EDTA for 20 min and allow to cool before testing.
Western blot testing of 1) human 293T, 2) human HepG2, 3) rat heart, 4) rat brain, 5) mouse heart and 6) mouse brain tissue lysate with SDHB antibody. Predicted molecular weight ~32 kDa.
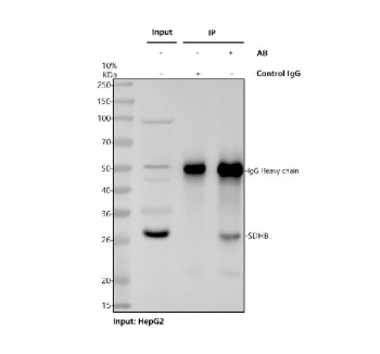
Immunoprecipitation of SDHB protein from 500ug of human HepG2 whole cell lysate with 2ug of SDHB antibody.
Availability 1-3 business days
Species Reactivity Human, Mouse, Rat
Format Antigen affinity purified
Host Rabbit
Clonality Polyclonal (rabbit origin)
Isotype Rabbit IgG
Purity Antigen affinity
Buffer Lyophilized from 1X PBS with 2% Trehalose and 0.025% sodium azide
UniProt P21912
Applications Western Blot : 0.5-1ug/ml
Immunohistochemistry (FFPE) : 2-5ug/ml
Immunoprecipitation : 2ug per 500ug of lysate
Limitations This SDHB antibody is available for research use only.
Review this product on BioCompare and get a $20 Amazon gift card

Related Products

Description

SDHB antibody targets Succinate dehydrogenase subunit B (SDHB), an iron-sulfur protein that serves as a core catalytic component of mitochondrial complex II. SDHB functions at the intersection of the tricarboxylic acid cycle and the electron transport chain, transferring electrons derived from succinate oxidation to ubiquinone. The protein localizes to the inner mitochondrial membrane on the matrix-facing side, where it partners with other complex II subunits to support oxidative metabolism and ATP production. As a member of the succinate dehydrogenase iron-sulfur subunit family, SDHB is essential for efficient mitochondrial respiration.

Functionally, SDHB contains conserved iron-sulfur clusters that facilitate electron transfer within complex II. This activity enables the oxidation of succinate to fumarate while linking central carbon metabolism to the respiratory chain. SDHB is broadly expressed across tissues, reflecting the universal requirement for mitochondrial energy production in eukaryotic cells. High expression is typically observed in metabolically active tissues such as heart, skeletal muscle, brain, and liver. An SDHB antibody supports studies examining mitochondrial function, respiratory chain integrity, and cellular energy metabolism.

SDHB is commonly used as a mitochondrial marker in biochemical and histological studies due to its stable expression and essential role in oxidative phosphorylation. Changes in SDHB abundance or localization can indicate alterations in mitochondrial content, respiratory capacity, or metabolic state. Loss of complex II activity leads to accumulation of succinate, which can influence redox balance and signaling pathways associated with hypoxia responses and metabolic regulation. These features make SDHB a valuable target for investigating mitochondrial health and metabolic adaptation.

From a biological and disease-relevance perspective, SDHB and other succinate dehydrogenase subunits have been implicated in inherited mitochondrial disorders and tumor predisposition syndromes when dysfunctional. Impaired SDHB activity disrupts oxidative phosphorylation and contributes to metabolic reprogramming and cellular stress. SDHB also indirectly influences reactive oxygen species production through its position within the electron transport chain, linking mitochondrial respiration to redox homeostasis and stress signaling.

At the molecular level, SDHB is encoded by the SDHB gene and produces a protein of approximately 280 amino acids in its mature mitochondrial form. The protein contains conserved motifs required for binding iron-sulfur clusters and for interaction with other complex II components. Proper assembly and stability of SDHB are required for efficient electron transfer and metabolic coupling. An SDHB antibody supports research applications focused on mitochondrial biology, metabolic pathways, and energy production, with NSJ Bioreagents providing reagents intended for research use.

Application Notes

The stated application concentrations are suggested starting amounts. Titration of the SDHB antibody may be required due to differences in protocols and secondary/substrate sensitivity.

Immunogen

Amino acids 42-59 (FAIYRWDPDKAGDKPHMQ-human) were used as the immunogen for this SDHB antibody.

Storage

After reconstitution, the SDHB antibody can be stored for up to one month at 4oC. For long-term, aliquot and store at -20oC. Avoid repeated freezing and thawing.

Cross
Bulk Quote Request Form
Name*:
Organization*:
Email*:
Phone Number*:
Catalog No.*:
Comments and Specifics(amount, formulation, etc.)*:
Validation code: Captchapackage Image


Can't read the image? click here to refresh.
    *required field

Your bulk quote request has been submitted successfully!

Please contact us if you have any questions.