• Tel: 858.663.9055
  • SeparatorEmail: info@nsjbio.com
  • Tel: 858.663.9055
  • Email: info@nsjbio.com
Home >> Antibodies >> SDHB Antibody

SDHB Antibody [clone 2I3] (RQ5511)

  Catalog No Formulation Size Price (USD)  
Image RQ5511 0.5mg/ml if reconstituted with 0.2ml sterile DI water 100 ug 449
Bulk quote request
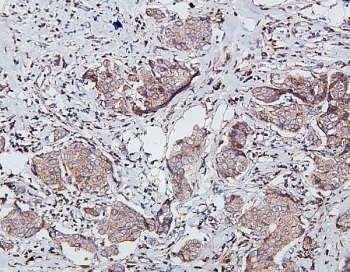
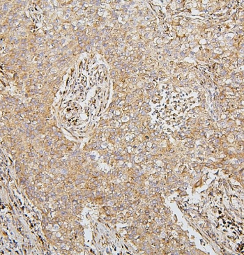
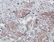
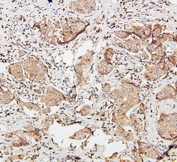
IHC staining of FFPE human breast cancer with SDHB antibody. HIER: boil tissue sections in pH6, 10mM citrate buffer, for 20 min and allow to cool before testing.
IHC staining of FFPE human breast cancer with SDHB antibody. HIER: boil tissue sections in pH6, 10mM citrate buffer, for 20 min and allow to cool before testing.
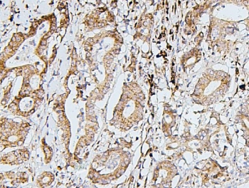
IHC staining of FFPE human intestinal cancer with SDHB antibody. HIER: boil tissue sections in pH6, 10mM citrate buffer, for 20 min and allow to cool before testing.
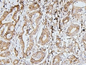
IHC staining of FFPE human lung cancer with SDHB antibody. HIER: boil tissue sections in pH6, 10mM citrate buffer, for 20 min and allow to cool before testing.
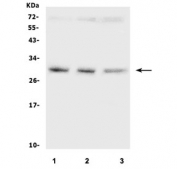
Western blot testing of human 1) HEK293, 2) HepG2 and 3) ThP-1 cell lysate with SDHB antibody. Predicted molecular weight ~32 kDa.
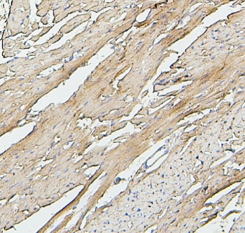
IHC staining of FFPE mouse heart with SDHB antibody. HIER: boil tissue sections in pH6, 10mM citrate buffer, for 20 min and allow to cool before testing.
IHC staining of FFPE rat heart with SDHB antibody. HIER: boil tissue sections in pH6, 10mM citrate buffer, for 20 min and allow to cool before testing.
Flow cytometry testing of human A549 cells with SDHB antibody at 1ug/million cells (blocked with goat sera); Red=cells alone, Green=isotype control, Blue= SDHB antibody.
Flow cytometry testing of human U-2 OS cells with SDHB antibody at 1ug/million cells (blocked with goat sera); Red=cells alone, Green=isotype control, Blue= SDHB antibody.
Availability 1-3 business days
Species Reactivity Human, Mouse, Rat
Format Antigen affinity purified
Host Mouse
Clonality Monoclonal (mouse origin)
Isotype Mouse IgG1
Clone Name 2I3
Purity Affinity purified
Buffer Lyophilized from 1X PBS with 2% Trehalose and 0.025% sodium azide
UniProt P21912
Applications Western Blot : 0.5-1ug/ml
Immunohistochemistry (FFPE) : 1-2ug/ml
Flow Cytometry : 1-3ug/million cells
Limitations This SDHB antibody is available for research use only.
Review this product on BioCompare and get a $20 Amazon gift card

Related Products

Description

SDHB (Succinate Dehydrogenase Complex, Subunit B, iron sulfur protein), also known as iron-sulfur subunit of complex II (Ip) or SDH2, HOMOLOG OF, is a protein that in humans is encoded by the SDHB gene. SDHB is one of four protein subunits forming succinate dehydrogenase, the other three being SDHA, SDHC and SDHD. The SDHB subunit is connected to the SDHA subunit on the hydrophilic, catalytic end of the SDH complex. The SDHB gene is mapped on 1p36.13. It is stated that the nuclear-encoded Krebs cycle enzymes fumarate hydratase and succinate dehydrogenases like SDHB act as tumor suppressors, and germline mutations in these genes predispose individuals to leiomyomas and renal cancer and to paragangliomas, respectively. In affected members of families with paragangliomas-4, mutations were identified in the SDHB gene.

Application Notes

Optimal dilution of the SDHB antibody should be determined by the researcher.

Immunogen

A human recombinant protein (amino acids A29-V280) was used as the immunogen for the SDHB antibody.

Storage

After reconstitution, the SDHB antibody can be stored for up to one month at 4oC. For long-term, aliquot and store at -20oC. Avoid repeated freezing and thawing.

Cross
Bulk Quote Request Form
Name*:
Organization*:
Email*:
Phone Number*:
Catalog No.*:
Comments and Specifics(amount, formulation, etc.)*:
Validation code: Captchapackage Image


Can't read the image? click here to refresh.
    *required field

Your bulk quote request has been submitted successfully!

Please contact us if you have any questions.