• Tel: 858.663.9055
  • SeparatorEmail: info@nsjbio.com
  • Tel: 858.663.9055
  • Email: info@nsjbio.com
Home >> Antibodies >> SDE2 Antibody

SDE2 Antibody (RQ7495)

  Catalog No Formulation Size Price (USD)  
Image RQ7495 0.5mg/ml if reconstituted with 0.2ml sterile DI water 100 ug 449
Bulk quote request
Immunofluorescent staining of FFPE human U-2 OS cells with SDE2 antibody (red) and Alpha Tubulin mAb (green). HIER: steam section in pH6 citrate buffer for 20 min.
Immunofluorescent staining of FFPE human U-2 OS cells with SDE2 antibody (red). HIER: steam section in pH6 citrate buffer for 20 min.
Western blot testing of human 1) K562 and 2) U-251 cell lysate with SDE2 antibody. Predicted molecular weight ~50 kDa.
Western blot testing of human 1) K562, 2) HEL, 3) Jurkat and 4) ThP-1 cell lysate with SDE2 antibody. Predicted molecular weight ~50 kDa.
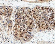
IHC staining of FFPE human ovarian serous adenocarcinoma tissue with SDE2 antibody. HIER: boil tissue sections in pH8 EDTA for 20 min and allow to cool before testing.
IHC staining of FFPE human esophageal squamous carcinoma tissue with SDE2 antibody. HIER: boil tissue sections in pH8 EDTA for 20 min and allow to cool before testing.
IHC staining of FFPE human spleen tissue with SDE2 antibody. HIER: boil tissue sections in pH8 EDTA for 20 min and allow to cool before testing.
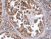
IHC staining of FFPE human lung adenocarcinoma tissue with SDE2 antibody. HIER: boil tissue sections in pH8 EDTA for 20 min and allow to cool before testing.
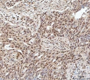
IHC staining of FFPE human liver cancer tissue with SDE2 antibody. HIER: boil tissue sections in pH8 EDTA for 20 min and allow to cool before testing.
Flow cytometry testing of fixed and permeabilized human Jurkat cells with SDE2 antibody at 1ug/million cells (blocked with goat sera); Red=cells alone, Green=isotype control, Blue= SDE2 antibody.
Availability 1-3 business days
Species Reactivity Human
Format Antigen affinity purified
Host Rabbit
Clonality Polyclonal (rabbit origin)
Isotype Rabbit IgG
Purity Antigen affinity purified
Buffer Lyophilized from 1X PBS with 2% Trehalose
UniProt Q6IQ49
Localization Nuclear, cytoplasmic
Applications Western Blot : 0.5-1ug/ml
Immunofluorescence : 5ug/ml
Flow Cytometry : 1-3ug/million cells
Direct ELISA : 0.1-0.5ug/ml
Immunohistochemistry (FFPE) : 2-5ug/ml
Limitations This SDE2 antibody is available for research use only.
Review this product on BioCompare and get a $20 Amazon gift card

Related Products

Description

Splicing regulator SDE2 enables damaged DNA binding activity. Involved in several processes, including cellular response to UV; mitotic G1 DNA damage checkpoint signaling; and protein ubiquitination. Located in several cellular components, including Golgi apparatus; cytosol; and nuclear speck.

Application Notes

Optimal dilution of the SDE2 antibody should be determined by the researcher.

Immunogen

E. coli-derived recombinant human protein (amino acids I10-K447) was used as the immunogen for the SDE2 antibody.

Storage

After reconstitution, the SDE2 antibody can be stored for up to one month at 4oC. For long-term, aliquot and store at -20oC. Avoid repeated freezing and thawing.

Cross
Bulk Quote Request Form
Name*:
Organization*:
Email*:
Phone Number*:
Catalog No.*:
Comments and Specifics(amount, formulation, etc.)*:
Validation code: Captchapackage Image


Can't read the image? click here to refresh.
    *required field

Your bulk quote request has been submitted successfully!

Please contact us if you have any questions.