• Tel: 858.663.9055
  • SeparatorEmail: info@nsjbio.com
  • Tel: 858.663.9055
  • Email: info@nsjbio.com
Home >> Antibodies >> SCNM1 Antibody / Sodium channel modifier 1

SCNM1 Antibody / Sodium channel modifier 1 (FY12120)

  Catalog No Formulation Size Price (USD)  
Image FY12120 Adding 0.2 ml of distilled water will yield a concentration of 500 ug/ml 100 ug 449
Bulk quote request
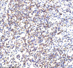
IHC analysis of SCNM1 using anti-SCNM1 antibody. SCNM1 was detected in a paraffin-embedded section of human stomach cancer tissue. Heat mediated antigen retrieval was performed in EDTA buffer (pH 8.0, epitope retrieval solution). The tissue section was blocked with 10% goat serum. The tissue section was then incubated with 2 ug/ml rabbit anti-SCNM1 antibody overnight at 4oC. Peroxidase Conjugated Goat Anti-rabbit IgG was used as secondary antibody and incubated for 30 minutes at 37oC. The tissue section was developed using an HRP secondary and DAB substrate.
Western blot analysis of SCNM1 using anti-SCNM1 antibody. Lane 1: human THP-1 whole cell lysates, Lane 2: rat lung tissue lysates, Lane 3: rat stomach tissue lysates, Lane 4: mouse lung tissue lysates, Lane 5: mouse stomach tissue lysates. After electrophoresis, proteins were transferred to a nitrocellulose membrane at 150 mA for 50-90 minutes. Blocked the membrane with 5% non-fat milk/TBS for 1.5 hour at RT. The membrane was incubated with rabbit anti-SCNM1 antibody at 0.5 ug/ml overnight at 4oC, then washed with TBS-0.1%Tween 3 times with 5 minutes each and probed with a goat anti-rabbit IgG-HRP secondary antibody at a dilution of 1:5000 for 1.5 hour at RT. The signal was developed using enhanced chemiluminescent. A specific band was detected for SCNM1 at approximately 26 kDa. The expected band size for SCNM1 is at 26 kDa.
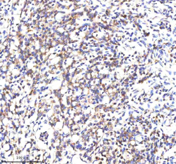
IHC analysis of SCNM1 using anti-SCNM1 antibody. SCNM1 was detected in a paraffin-embedded section of rat brain tissue. Heat mediated antigen retrieval was performed in EDTA buffer (pH 8.0, epitope retrieval solution). The tissue section was blocked with 10% goat serum. The tissue section was then incubated with 2 ug/ml rabbit anti-SCNM1 antibody overnight at 4oC. Peroxidase Conjugated Goat Anti-rabbit IgG was used as secondary antibody and incubated for 30 minutes at 37oC. The tissue section was developed using an HRP secondary and DAB substrate.
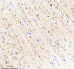
IHC analysis of SCNM1 using anti-SCNM1 antibody. SCNM1 was detected in a paraffin-embedded section of mouse brain tissue. Heat mediated antigen retrieval was performed in EDTA buffer (pH 8.0, epitope retrieval solution). The tissue section was blocked with 10% goat serum. The tissue section was then incubated with 2 ug/ml rabbit anti-SCNM1 antibody overnight at 4oC. Peroxidase Conjugated Goat Anti-rabbit IgG was used as secondary antibody and incubated for 30 minutes at 37oC. The tissue section was developed using an HRP secondary and DAB substrate.
Flow Cytometry analysis of U251 cells using anti-SCNM1 antibody. Overlay histogram showing U251 cells stained with (Blue line). To facilitate intracellular staining, cells were fixed with 4% paraformaldehyde and permeabilized with permeabilization buffer. The cells were blocked with 10% normal goat serum. And then incubated with rabbit anti-SCNM1 antibody (1 ug/million cells) for 30 min at 20oC. DyLight 488 conjugated goat anti-rabbit IgG (5-10 ug/million cells) was used as secondary antibody for 30 minutes at 20oC. Isotype control antibody (Green line) was rabbit IgG (1 ug/million cells) used under the same conditions. Unlabelled sample without incubation with primary antibody and secondary antibody (Red line) was used as a blank control.
Availability 1-2 days
Species Reactivity Human, Mouse, Rat
Format Lyophilized
Host Rabbit
Clonality Polyclonal (rabbit origin)
Isotype Rabbit IgG
Purity Immunogen affinity purified
Buffer Each vial contains 4 mg Trehalose, 0.9 mg NaCl, 0.2 mg Na2HPO4.
UniProt Q9BWG6
Applications Western Blot : 0.25-0.5ug/ml
Immunohistochemistry : 2-5ug/ml
Flow Cytometry : 1-3ug/million cells
ELISA : 0.1-0.5ug/ml
Limitations This SCNM1 antibody is available for research use only.
Review this product on BioCompare and get a $20 Amazon gift card

Description

SCNM1 antibody detects Sodium channel modifier 1, encoded by the SCNM1 gene on chromosome 1q24.2. SCNM1 is a nuclear protein implicated in the regulation of pre-mRNA splicing, particularly for voltage-gated sodium channel transcripts. It contains RNA recognition motifs that allow it to interact with spliceosomal components and influence alternative splicing events. By modulating sodium channel isoform diversity, SCNM1 contributes to proper neuronal excitability and electrical signaling.

Mutations in SCNM1 have been linked to modifier effects in epilepsy models, altering the severity of seizure phenotypes associated with sodium channel gene mutations. This suggests that SCNM1 acts as a genetic modifier influencing ion channel physiology. Dysregulation of splicing factors like SCNM1 may also contribute to broader neurological disorders, including neuropathic pain and neurodegeneration, where altered sodium channel expression disrupts neuronal homeostasis.

Structurally, SCNM1 contains putative zinc finger motifs and proline-rich domains that may mediate protein-protein interactions with spliceosomal regulators. It functions within nuclear speckles, coordinating splicing of specific pre-mRNAs. SCNM1's role in fine-tuning sodium channel expression highlights the importance of auxiliary splicing regulators beyond canonical spliceosome proteins. SCNM1 antibody is therefore useful for mapping its nuclear localization, monitoring expression in disease models, and validating interactions with RNA binding partners.

Experimentally, SCNM1 antibody is applied in western blotting to detect protein levels, in immunofluorescence to visualize nuclear distribution, and in co-immunoprecipitation to identify splicing complexes. By detecting SCNM1, researchers can investigate how alternative splicing contributes to neuronal physiology and how genetic modifiers shape channelopathies. NSJ Bioreagents offers SCNM1 antibody to support studies in neuroscience, splicing biology, and molecular genetics.

Application Notes

Optimal dilution of the SCNM1 antibody should be determined by the researcher.

Immunogen

E.coli-derived human SCNM1 recombinant protein (Position: D8-D230) was used as the immunogen for the SCNM1 antibody.

Storage

After reconstitution, the SCNM1 antibody can be stored for up to one month at 4oC. For long-term, aliquot and store at -20oC. Avoid repeated freezing and thawing.

Cross
Bulk Quote Request Form
Name*:
Organization*:
Email*:
Phone Number*:
Catalog No.*:
Comments and Specifics(amount, formulation, etc.)*:
Validation code: Captchapackage Image


Can't read the image? click here to refresh.
    *required field

Your bulk quote request has been submitted successfully!

Please contact us if you have any questions.