• Tel: 858.663.9055
  • SeparatorEmail: info@nsjbio.com
  • Tel: 858.663.9055
  • Email: info@nsjbio.com
Home >> Antibodies >> SCLT1 Antibody / Sodium channel and clathrin linker 1

SCLT1 Antibody / Sodium channel and clathrin linker 1 (FY12490)

  Catalog No Formulation Size Price (USD)  
Image FY12490 Adding 0.2 ml of distilled water will yield a concentration of 500 ug/ml 100 ug 439
Bulk quote request
Flow Cytometry analysis of 293T cells using anti-SCLT1 antibody. Overlay histogram showing 293T cells stained with (Blue line). To facilitate intracellular staining, cells were fixed with 4% paraformaldehyde and permeabilized with permeabilization buffer. The cells were blocked with 10% normal goat serum. And then incubated with rabbit anti-SCLT1 antibody (1 ug/million cells) for 30 min at 20oC. DyLight 488 conjugated goat anti-rabbit IgG (5-10 ug/million cells) was used as secondary antibody for 30 minutes at 20oC. Isotype control antibody (Green line) was rabbit IgG (1 ug/million cells) used under the same conditions. Unlabelled sample (Red line) was also used as a control.
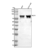
Western blot analysis of SCLT1 using anti-SCLT1 antibody. Lane 1: human 293T whole cell lysates, Lane 2: human COLO320 whole cell lysates. After electrophoresis, proteins were transferred to a nitrocellulose membrane at 150 mA for 50-90 minutes. Blocked the membrane with 5% non-fat milk/TBS for 1.5 hour at RT. The membrane was incubated with rabbit anti-SCLT1 antibody at 0.5 ug/ml overnight at 4oC, then washed with TBS-0.1%Tween 3 times with 5 minutes each and probed with a goat anti-rabbit IgG-HRP secondary antibody at a dilution of 1:5000 for 1.5 hour at RT. The signal was developed using enhanced chemiluminescent. SCLT1 (~81 kDa predicted) was detected as a doublet between ~70-85 kDa, consistent with phosphorylation-dependent mobility differences and reported SCLT1 isoforms.
Availability 1-2 days
Species Reactivity Human
Format Lyophilized
Clonality Polyclonal (rabbit origin)
Isotype Rabbit IgG
Purity Immunogen affinity purified
Buffer Each vial contains 4 mg Trehalose, 0.9 mg NaCl, 0.2 mg Na2HPO4.
UniProt Q96NL6
Applications Western Blot : 0.25-0.5ug/ml
Flow Cytometry : 1-3ug/million cells
ELISA : 0.1-0.5ug/ml
Limitations This SCLT1 antibody is available for research use only.
Review this product on BioCompare and get a $20 Amazon gift card

Description

SCLT1 antibody detects Sodium channel and clathrin linker 1, a centrosomal and ciliary base protein essential for ciliogenesis and centrosome organization. SCLT1 participates in the distal appendage complex of centrioles, which anchors the mother centriole to the plasma membrane during primary cilia formation. The SCLT1 antibody is widely used in cell biology and developmental studies to investigate ciliary assembly, centriole architecture, and cilia-dependent signaling pathways.

SCLT1 is encoded by the SCLT1 gene located on human chromosome 4q28.1. The protein is approximately 68 kilodaltons and is conserved among vertebrates. It contains coiled-coil regions that mediate binding to other distal appendage proteins, including CEP164, FBF1, and CEP83. SCLT1 provides structural linkage between microtubule-based centrioles and the membrane docking machinery required for ciliogenesis initiation. Knockout or mutation of SCLT1 disrupts distal appendage integrity and prevents cilia formation.

The SCLT1 antibody detects the protein by western blot as a 68 kilodalton band and reveals punctate centrosomal staining under immunofluorescence microscopy. Localization studies show that SCLT1 is present at the distal end of the mother centriole and co-localizes with ciliary initiation markers. Functional analyses demonstrate that SCLT1 depletion inhibits ciliary vesicle docking, leading to defective Hedgehog signaling and altered tissue morphogenesis. Mutations in SCLT1 have been linked to ciliopathies such as Senior-Loken syndrome and orofaciodigital spectrum disorders, highlighting its importance in organ development.

Beyond its role in ciliogenesis, SCLT1 may interact with ion channels and clathrin adaptor proteins, potentially linking ciliary membrane organization with endocytic trafficking. It has also been implicated in cell cycle control through centrosome duplication regulation. NSJ Bioreagents provides a validated SCLT1 antibody enabling detailed investigation of centrosomal structure, cilia formation, and associated signaling processes.

Application Notes

Optimal dilution of the SCLT1 antibody should be determined by the researcher.

Immunogen

E.coli-derived human SCLT1 recombinant protein (Position: F19-I688) was used as the immunogen for the SCLT1 antibody.

Storage

After reconstitution, the SCLT1 antibody can be stored for up to one month at 4oC. For long-term, aliquot and store at -20oC. Avoid repeated freezing and thawing.

Cross
Bulk Quote Request Form
Name*:
Organization*:
Email*:
Phone Number*:
Catalog No.*:
Comments and Specifics(amount, formulation, etc.)*:
Validation code: Captchapackage Image


Can't read the image? click here to refresh.
    *required field

Your bulk quote request has been submitted successfully!

Please contact us if you have any questions.