• Tel: 858.663.9055
  • SeparatorEmail: info@nsjbio.com
  • Tel: 858.663.9055
  • Email: info@nsjbio.com
Home >> Antibodies >> Sciellin Antibody / SCEL

Sciellin Antibody / SCEL (F54353)

  Catalog No Formulation Size Price (USD)  
Image F54353-0.4ML In 1X PBS, pH 7.4, with 0.09% sodium azide 0.4 ml 439
Image
F54353-0.08ML In 1X PBS, pH 7.4, with 0.09% sodium azide 0.08 ml 205
Bulk quote request
IHC testing of FFPE human skin tissue with Sciellin antibody. HIER: steam section in pH9 EDTA for 20 min and allow to cool prior to staining.
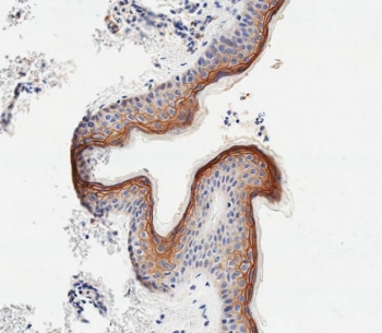
IHC testing of FFPE human esophagus tissue with Sciellin antibody. HIER: steam section in pH9 EDTA for 20 min and allow to cool prior to staining.
Western blot testing of human A431 cell lysate with Sciellin antibody. Predicted molecular weight ~77 kDa.
Flow cytometry testing of fixed and permeabilized human A431 cells with Sciellin antibody; Blue=isotype control, Green= Sciellin antibody.
Availability 1-3 business days
Species Reactivity Human
Format Purified
Host Rabbit
Clonality Polyclonal (rabbit origin)
Isotype Rabbit Ig
Purity Antigen affinity purified
UniProt O95171
Localization Cytoplasmic, plasma membrane
Applications Immunohistochemistry (FFPE) : 1:25
Western Blot : 1:500-1:2000
Flow Cytometry : 1:25 (1x10e6 cells)
Limitations This Sciellin antibody is available for research use only.
Review this product on BioCompare and get a $20 Amazon gift card

Description

The protein encoded by this gene is a precursor to the cornified envelope of terminally differentiated keratinocytes. This protein localizes to the periphery of cells and may function in the assembly or regulation of proteins in the cornified envelope. Transcript variants encoding different isoforms exist. A transcript variant utilizing an alternative polyA signal has been described in the literature, but its full-length nature has not been determined.

Application Notes

The stated application concentrations are suggested starting points. Titration of the Sciellin antibody may be required due to differences in protocols and secondary/substrate sensitivity.

Immunogen

A portion of amino acids 260-289 from the human protein was used as the immunogen for the Sciellin antibody.

Storage

Aliquot the Sciellin antibody and store frozen at -20oC or colder. Avoid repeated freeze-thaw cycles.

Cross
Bulk Quote Request Form
Name*:
Organization*:
Email*:
Phone Number*:
Catalog No.*:
Comments and Specifics(amount, formulation, etc.)*:
Validation code: Captchapackage Image


Can't read the image? click here to refresh.
    *required field

Your bulk quote request has been submitted successfully!

Please contact us if you have any questions.