• Tel: 858.663.9055
  • SeparatorEmail: info@nsjbio.com
  • Tel: 858.663.9055
  • Email: info@nsjbio.com
Home >> Antibodies >> SCF Antibody / KITLG / Stem Cell Factor

SCF Antibody / KITLG / Stem Cell Factor (R32891)

  Catalog No Formulation Size Price (USD)  
Image R32891 0.5mg/ml if reconstituted with 0.2ml sterile DI water 100 ug 449
Bulk quote request
Immunofluorescent staining of FFPE human Caco-2 cells with SCF antibody (green) and DAPI nuclear stain (blue). HIER: steam section in pH6 citrate buffer for 20 min.
Western blot testing of 1) human HepG2, 2) rat brain and 3) mouse brain lysate with SCF antibody at 0.5ug/ml. A strong band is detected at approximately 45 kDa in rat and mouse brain, corresponding to the glycosylated membrane precursor, together with a second band at approximately 24 kDa that is consistent with the cleaved soluble form of SCF. Human Caco-2 lysate shows only faint reactivity, indicating lower endogenous SCF expression under these conditions.
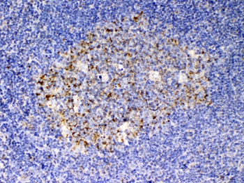
Immunohistochemical staining of FFPE human tonsil tissue with SCF antibody, HRP-secondary and DAB substrate. HIER: boil tissue sections in pH8 EDTA for 20 min and allow to cool before testing.
Availability 1-3 business days
Species Reactivity Human, Mouse, Rat
Format Antigen affinity purified
Host Rabbit
Clonality Polyclonal (rabbit origin)
Isotype Rabbit IgG
Purity Antigen affinity
Buffer Lyophilized from 1X PBS with 2% Trehalose
UniProt P21583
Localization Cytoplasmic, nuclear
Applications Western Blot : 0.5-1ug/ml
Immunohistochemistry (FFPE) : 2-5ug/ml
Immunofluorescence : 5ug/ml
Limitations This SCF antibody is available for research use only.
Review this product on BioCompare and get a $20 Amazon gift card

Related Products

  • Applications : WB, ELISA (protein)
    Reactivity : Human
  • Applications : WB, IHC-P
    Reactivity : Human
  • Applications : WB, IF, FACS, ELISA
    Reactivity : Human
    Pred. Reactivity : Bovine, Pig

Description

SCF antibody detects Stem Cell Factor, also known as KITLG, a secreted and membrane associated growth factor that plays a critical role in hematopoiesis, melanocyte biology, germ cell development, and tissue homeostasis. The UniProt recommended name is Stem cell growth factor receptor ligand 1 (also listed as Kit ligand). SCF binds and activates the KIT receptor, a tyrosine kinase essential for survival, proliferation, and migration of multiple stem and progenitor cell types. Through this pathway, SCF serves as a central regulator of developmental processes, adult tissue maintenance, and stress induced regeneration.

The SCF protein is produced as a type I membrane precursor that can remain membrane bound or be cleaved to generate a soluble cytokine. Both forms interact with the KIT receptor. The membrane anchored form provides localized, contact dependent niche signals for stem cell maintenance, while the soluble form acts over greater distances to support recruitment and survival of KIT dependent cells. SCF mediated signaling triggers downstream activation of PI3K, MAPK, JAK STAT pathways, and other networks that regulate cell survival, chemotaxis, cytoskeletal remodeling, and proliferation.

The KITLG gene is located on chromosome 12q21.31 and is expressed in stromal cells, fibroblasts, endothelial cells, keratinocytes, and specialized stem cell niches. In the bone marrow, SCF provided by stromal cells supports hematopoietic stem cell maintenance, lineage commitment, and recovery after stress or injury. In the skin, SCF regulates melanocyte development, migration, and pigment cell survival. Its role in the germline is equally essential, influencing primordial germ cell development, testicular homeostasis, and oocyte maturation.

During embryonic development, SCF acts at critical decision points that guide formation of pigment cells, hematopoietic lineages, and germ cells. It supports the migration of melanoblasts from the neural crest, promotes expansion of hematopoietic precursors, and contributes to early germ cell survival. Defects in SCF KIT signaling can result in pigmentation abnormalities, fertility defects, or impaired hematopoietic development depending on the tissues affected.

In adult biology, SCF continues to play important regulatory roles in tissue repair and regeneration. Hematopoietic stem cells rely on SCF rich stromal niches for balanced self renewal and differentiation. In response to injury or inflammation, SCF expression increases to support immune cell recruitment and replenish depleted progenitor pools. In the skin, SCF influences melanocyte homeostasis and pigmentation patterning. In the gastrointestinal system, SCF supports interstitial cells of Cajal, which regulate smooth muscle contraction.

Pathologically, alterations in SCF expression or KIT signaling contribute to a range of diseases. Mutations in KIT or KITLG can lead to pigmentation disorders, mastocytosis, hereditary anemia, or reproductive abnormalities. Dysregulated SCF KIT signaling is implicated in tumorigenesis in gastrointestinal stromal tumors, certain leukemias, mast cell neoplasms, and other KIT driven cancers. Overexpression of SCF can promote abnormal proliferation or survival of KIT dependent cells, while underexpression can lead to tissue specific degeneration.

In research settings, SCF serves as a functional marker of stromal niche activity and a key ligand in studies of stem cell biology, immune regulation, and developmental signaling. SCF antibody enables detection of KITLG expression in tissues and cultured cells and supports studies of cytokine mediated communication between stromal and progenitor populations. It is validated for use in relevant research applications aimed at detecting Stem Cell Factor expression. NSJ Bioreagents provides SCF antibody reagents suitable for immunology, hematopoiesis, pigment biology, and developmental signaling research.

Application Notes

Optimal dilution of the SCF antibody should be determined by the researcher.

Immunogen

A recombinant human protein corresponding to amino acids E26-A190 was used as the immunogen for the SCF antibody.

Storage

After reconstitution, the SCF antibody can be stored for up to one month at 4oC. For long-term, aliquot and store at -20oC. Avoid repeated freezing and thawing.

Cross
Bulk Quote Request Form
Name*:
Organization*:
Email*:
Phone Number*:
Catalog No.*:
Comments and Specifics(amount, formulation, etc.)*:
Validation code: Captchapackage Image


Can't read the image? click here to refresh.
    *required field

Your bulk quote request has been submitted successfully!

Please contact us if you have any questions.