• Tel: 858.663.9055
  • SeparatorEmail: info@nsjbio.com
  • Tel: 858.663.9055
  • Email: info@nsjbio.com
Home >> Antibodies >> SCAMP3 Antibody / Secretory carrier-associated membrane protein 3

SCAMP3 Antibody / Secretory carrier-associated membrane protein 3 (FY12623)

  Catalog No Formulation Size Price (USD)  
Image FY12623 Adding 0.2 ml of distilled water will yield a concentration of 500 ug/ml 100 ug 449
Bulk quote request
Immunofluorescent staining of FFPE human A549 cells with SCAMP3 antibody (red) and DAPI nuclear stain (blue). HIER: steam section in pH6 citrate buffer for 20 min.
Western blot analysis of SCAMP3 using anti-SCAMP3 antibody. Lane 1: human HUH-7 whole cell lysates, Lane 2: human whole cell lysates, Lane 3: human K562 whole cell lysates, Lane 4: human 293T whole cell lysates. After electrophoresis, proteins were transferred to a nitrocellulose membrane at 150 mA for 50-90 minutes. Blocked the membrane with 5% non-fat milk/TBS for 1.5 hour at RT. The membrane was incubated with rabbit anti-SCAMP3 antibody at 0.5 ug/ml overnight at 4oC, then washed with TBS-0.1%Tween 3 times with 5 minutes each and probed with a goat anti-rabbit IgG-HRP secondary antibody at a dilution of 1:5000 for 1.5 hour at RT. The signal was developed using enhanced chemiluminescent. The expected molecular weight of SCAMP3 is ~38 kDa.
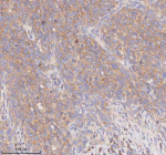
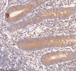
Immunohistochemical staining of SCAMP3 using anti-SCAMP3 antibody. SCAMP3 was detected in a paraffin-embedded section of human appendiceal carcinoid tissue. Heat mediated antigen retrieval was performed in EDTA buffer (pH 8.0, epitope retrieval solution). The tissue section was blocked with 10% goat serum. The tissue section was then incubated with 2 ug/ml rabbit anti-SCAMP3 antibody overnight at 4oC. Peroxidase Conjugated Goat Anti-rabbit IgG was used as secondary antibody and incubated for 30 minutes at 37oC. The tissue section was developed using an HRP secondary and DAB substrate.
Immunohistochemical staining of SCAMP3 using anti-SCAMP3 antibody. SCAMP3 was detected in a paraffin-embedded section of human breast cancer tissue. Heat mediated antigen retrieval was performed in EDTA buffer (pH 8.0, epitope retrieval solution). The tissue section was blocked with 10% goat serum. The tissue section was then incubated with 2 ug/ml rabbit anti-SCAMP3 antibody overnight at 4oC. Peroxidase Conjugated Goat Anti-rabbit IgG was used as secondary antibody and incubated for 30 minutes at 37oC. The tissue section was developed using an HRP secondary and DAB substrate.
Immunohistochemical staining of SCAMP3 using anti-SCAMP3 antibody. SCAMP3 was detected in a paraffin-embedded section of human breast cancer tissue. Heat mediated antigen retrieval was performed in EDTA buffer (pH 8.0, epitope retrieval solution). The tissue section was blocked with 10% goat serum. The tissue section was then incubated with 2 ug/ml rabbit anti-SCAMP3 antibody overnight at 4oC. Peroxidase Conjugated Goat Anti-rabbit IgG was used as secondary antibody and incubated for 30 minutes at 37oC. The tissue section was developed using an HRP secondary and DAB substrate.
Immunohistochemical staining of SCAMP3 using anti-SCAMP3 antibody. SCAMP3 was detected in a paraffin-embedded section of human cervix squamous cell carcinoma tissue. Heat mediated antigen retrieval was performed in EDTA buffer (pH 8.0, epitope retrieval solution). The tissue section was blocked with 10% goat serum. The tissue section was then incubated with 2 ug/ml rabbit anti-SCAMP3 antibody overnight at 4oC. Peroxidase Conjugated Goat Anti-rabbit IgG was used as secondary antibody and incubated for 30 minutes at 37oC. The tissue section was developed using an HRP secondary and DAB substrate.
Immunohistochemical staining of SCAMP3 using anti-SCAMP3 antibody. SCAMP3 was detected in a paraffin-embedded section of human cervix squamous cell carcinoma tissue. Heat mediated antigen retrieval was performed in EDTA buffer (pH 8.0, epitope retrieval solution). The tissue section was blocked with 10% goat serum. The tissue section was then incubated with 2 ug/ml rabbit anti-SCAMP3 antibody overnight at 4oC. Peroxidase Conjugated Goat Anti-rabbit IgG was used as secondary antibody and incubated for 30 minutes at 37oC. The tissue section was developed using an HRP secondary and DAB substrate.
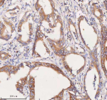
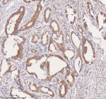
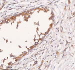
Immunohistochemical staining of SCAMP3 using anti-SCAMP3 antibody. SCAMP3 was detected in a paraffin-embedded section of human rectum adenocarcinoma tissue. Heat mediated antigen retrieval was performed in EDTA buffer (pH 8.0, epitope retrieval solution). The tissue section was blocked with 10% goat serum. The tissue section was then incubated with 2 ug/ml rabbit anti-SCAMP3 antibody overnight at 4oC. Peroxidase Conjugated Goat Anti-rabbit IgG was used as secondary antibody and incubated for 30 minutes at 37oC. The tissue section was developed using an HRP secondary and DAB substrate.
Immunohistochemical staining of SCAMP3 using anti-SCAMP3 antibody. SCAMP3 was detected in a paraffin-embedded section of human rectum adenocarcinoma tissue. Heat mediated antigen retrieval was performed in EDTA buffer (pH 8.0, epitope retrieval solution). The tissue section was blocked with 10% goat serum. The tissue section was then incubated with 2 ug/ml rabbit anti-SCAMP3 antibody overnight at 4oC. Peroxidase Conjugated Goat Anti-rabbit IgG was used as secondary antibody and incubated for 30 minutes at 37oC. The tissue section was developed using an HRP secondary and DAB substrate.
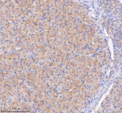
Immunohistochemical staining of SCAMP3 using anti-SCAMP3 antibody. SCAMP3 was detected in a paraffin-embedded section of human spleen tissue. Heat mediated antigen retrieval was performed in EDTA buffer (pH 8.0, epitope retrieval solution). The tissue section was blocked with 10% goat serum. The tissue section was then incubated with 2 ug/ml rabbit anti-SCAMP3 antibody overnight at 4oC. Peroxidase Conjugated Goat Anti-rabbit IgG was used as secondary antibody and incubated for 30 minutes at 37oC. The tissue section was developed using an HRP secondary and DAB substrate.
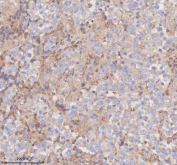
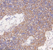
Immunohistochemical staining of SCAMP3 using anti-SCAMP3 antibody. SCAMP3 was detected in a paraffin-embedded section of human testicular seminoma tissue. Heat mediated antigen retrieval was performed in EDTA buffer (pH 8.0, epitope retrieval solution). The tissue section was blocked with 10% goat serum. The tissue section was then incubated with 2 ug/ml rabbit anti-SCAMP3 antibody overnight at 4oC. Peroxidase Conjugated Goat Anti-rabbit IgG was used as secondary antibody and incubated for 30 minutes at 37oC. The tissue section was developed using an HRP secondary and DAB substrate.
Immunohistochemical staining of SCAMP3 using anti-SCAMP3 antibody. SCAMP3 was detected in a paraffin-embedded section of rat ovary tissue. Heat mediated antigen retrieval was performed in EDTA buffer (pH 8.0, epitope retrieval solution). The tissue section was blocked with 10% goat serum. The tissue section was then incubated with 2 ug/ml rabbit anti-SCAMP3 antibody overnight at 4oC. Peroxidase Conjugated Goat Anti-rabbit IgG was used as secondary antibody and incubated for 30 minutes at 37oC. The tissue section was developed using an HRP secondary and DAB substrate.
Flow cytometry analysis of fixed and permeabilized human 293T cells with SCAMP3 antibody at 1ug/million cells (blocked with goat sera); Red=cells alone, Green=isotype control, Blue= SCAMP3 antibody.
Availability 1-2 days
Species Reactivity Human, Rat
Format Lyophilized
Host Rabbit
Clonality Polyclonal (rabbit origin)
Isotype Rabbit IgG
Purity Immunogen affinity purified
Buffer Each vial contains 4 mg Trehalose, 0.9 mg NaCl, 0.2 mg Na2HPO4.
UniProt O14828
Localization Cytoplasm (Vesicles)
Applications ELISA : 0.1-0.5ug/ml
Immunofluorescence : 5ug/ml
Immunohistochemistry : 2-5ug/ml
Immunocytochemistry : 5ug/ml
Western Blot : 0.25-0.5ug/ml
Flow Cytometry : 1-3ug/million cells
Limitations This SCAMP3 antibody is available for research use only.
Review this product on BioCompare and get a $20 Amazon gift card

Description

SCAMP3 antibody detects Secretory carrier-associated membrane protein 3, a member of the SCAMP family of trafficking proteins that regulate endosomal sorting, receptor recycling, and vesicular transport. SCAMP3 functions as a cargo adaptor within multivesicular bodies and plays a key role in protein sorting along the endocytic and secretory pathways. The SCAMP3 antibody is widely used in membrane biology, receptor trafficking, and cell signaling research to study protein degradation, recycling, and endosomal regulation.

SCAMP3 is encoded by the SCAMP3 gene located on human chromosome 1q24.3. The protein is approximately 347 amino acids in length and contains four transmembrane domains along with cytoplasmic N- and C-terminal regions that interact with clathrin-associated sorting proteins and ubiquitin machinery. It localizes to early and late endosomes, Golgi apparatus, and the plasma membrane depending on cellular trafficking conditions.

The SCAMP3 antibody detects a 38 kilodalton protein by western blot and reveals punctate cytoplasmic staining corresponding to endosomal vesicles under confocal microscopy. SCAMP3 controls receptor fate by regulating cargo deubiquitination and sorting into intraluminal vesicles destined for lysosomal degradation. It acts downstream of the ESCRT (endosomal sorting complex required for transport) machinery and modulates the recycling of growth factor receptors such as EGFR and transferrin receptor.

Loss or knockdown of SCAMP3 disrupts receptor recycling, causing accumulation of ubiquitinated cargo and altered signaling duration. Overexpression can inhibit receptor downregulation and sustain proliferative signaling. Through its dual regulation of endocytosis and exocytosis, SCAMP3 maintains balance between degradation and recycling of membrane proteins, affecting cellular homeostasis and response to extracellular cues.

SCAMP3 also participates in cytokine secretion, exosome biogenesis, and viral budding, emphasizing its broad role in vesicle-mediated processes. Dysregulation has been associated with cancer progression, immune modulation, and neurodegenerative disorders where vesicle trafficking is impaired. Because SCAMP3 serves as a molecular switch between degradation and recycling, it provides insight into receptor signaling dynamics. NSJ Bioreagents provides a validated SCAMP3 antibody optimized for its applications, supporting detailed research into trafficking and membrane regulation.

Application Notes

Optimal dilution of the SCAMP3 antibody should be determined by the researcher.

Immunogen

E.coli-derived human SCAMP3 recombinant protein (Position: M1-P347) was used as the immunogen for the SCAMP3 antibody.

Storage

After reconstitution, the SCAMP3 antibody can be stored for up to one month at 4oC. For long-term, aliquot and store at -20oC. Avoid repeated freezing and thawing.

Cross
Bulk Quote Request Form
Name*:
Organization*:
Email*:
Phone Number*:
Catalog No.*:
Comments and Specifics(amount, formulation, etc.)*:
Validation code: Captchapackage Image


Can't read the image? click here to refresh.
    *required field

Your bulk quote request has been submitted successfully!

Please contact us if you have any questions.