• Tel: 858.663.9055
  • SeparatorEmail: info@nsjbio.com
  • Tel: 858.663.9055
  • Email: info@nsjbio.com
Home >> Antibodies >> SCAF11 Antibody / SR-related CTD-associated factor 11 / SFRS2IP

SCAF11 Antibody / SR-related CTD-associated factor 11 / SFRS2IP (FY13269)

  Catalog No Formulation Size Price (USD)  
Image FY13269 Adding 0.2 ml of distilled water will yield a concentration of 500 ug/ml 100 ug 449
Bulk quote request
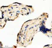
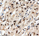
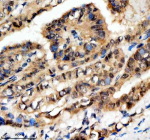
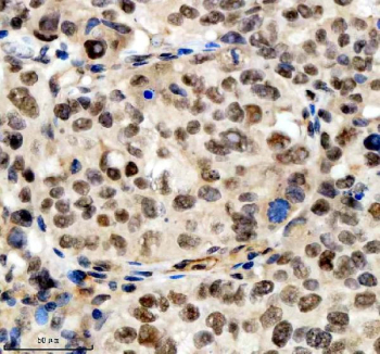
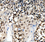
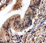
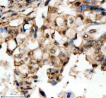
Immunohistochemical staining of SCAF11 using anti-SCAF11 antibody. SCAF11 was detected in a paraffin-embedded section of human cervical cancer tissue. Heat mediated antigen retrieval was performed in EDTA buffer (pH 8.0, epitope retrieval solution). The tissue section was blocked with 10% goat serum. The tissue section was then incubated with 2 ug/ml rabbit anti-SCAF11 antibody overnight at 4oC. Peroxidase Conjugated Goat Anti-rabbit IgG was used as secondary antibody and incubated for 30 minutes at 37oC. The tissue section was developed using an HRP secondary and DAB substrate.
Western blot analysis of SCAF11 using anti-SCAF11 antibody. Electrophoresis was performed on a 8% SDS-PAGE gel at 80V (Stacking gel) / 120V (Resolving gel) for 2 hours. Lane 1: human 293T whole cell lysates, Lane 2: human Hela whole cell lysates, Lane 3: human Jurkat whole cell lysates, Lane 4: human MCF-7 whole cell lysates. After electrophoresis, proteins were transferred to a nitrocellulose membrane at 150 mA for 50-90 minutes. Blocked the membrane with 5% non-fat milk/TBS for 1.5 hour at RT. The membrane was incubated with rabbit anti-SCAF11 antibody at 0.5 ug/ml overnight at 4oC, then washed with TBS-0.1%Tween 3 times with 5 minutes each and probed with a goat anti-rabbit IgG-HRP secondary antibody at a dilution of 1:5000 for 1.5 hour at RT. The signal was developed using an ECL Plus Western Blotting Substrate. A predominant band is detected at an approximately 230-240 kDa in all samples, running well above the predicted ~165 kDa size but consistent with the high apparent molecular weight reported for the highly phosphorylated SR rich splicing factor SCAF11 in the literature.
Immunohistochemical staining of SCAF11 using anti-SCAF11 antibody. SCAF11 was detected in a paraffin-embedded section of human bladder cancer tissue. Heat mediated antigen retrieval was performed in EDTA buffer (pH 8.0, epitope retrieval solution). The tissue section was blocked with 10% goat serum. The tissue section was then incubated with 2 ug/ml rabbit anti-SCAF11 antibody overnight at 4oC. Peroxidase Conjugated Goat Anti-rabbit IgG was used as secondary antibody and incubated for 30 minutes at 37oC. The tissue section was developed using an HRP secondary and DAB substrate.
Immunohistochemical staining of SCAF11 using anti-SCAF11 antibody. SCAF11 was detected in a paraffin-embedded section of human lung cancer tissue. Heat mediated antigen retrieval was performed in EDTA buffer (pH 8.0, epitope retrieval solution). The tissue section was blocked with 10% goat serum. The tissue section was then incubated with 2 ug/ml rabbit anti-SCAF11 antibody overnight at 4oC. Peroxidase Conjugated Goat Anti-rabbit IgG was used as secondary antibody and incubated for 30 minutes at 37oC. The tissue section was developed using an HRP secondary and DAB substrate.
Immunohistochemical staining of SCAF11 using anti-SCAF11 antibody. SCAF11 was detected in a paraffin-embedded section of human liver cancer tissue. Heat mediated antigen retrieval was performed in EDTA buffer (pH 8.0, epitope retrieval solution). The tissue section was blocked with 10% goat serum. The tissue section was then incubated with 2 ug/ml rabbit anti-SCAF11 antibody overnight at 4oC. Peroxidase Conjugated Goat Anti-rabbit IgG was used as secondary antibody and incubated for 30 minutes at 37oC. The tissue section was developed using an HRP secondary and DAB substrate.
Immunohistochemical staining of SCAF11 using anti-SCAF11 antibody. SCAF11 was detected in a paraffin-embedded section of human colon cancer tissue. Heat mediated antigen retrieval was performed in EDTA buffer (pH 8.0, epitope retrieval solution). The tissue section was blocked with 10% goat serum. The tissue section was then incubated with 2 ug/ml rabbit anti-SCAF11 antibody overnight at 4oC. Peroxidase Conjugated Goat Anti-rabbit IgG was used as secondary antibody and incubated for 30 minutes at 37oC. The tissue section was developed using an HRP secondary and DAB substrate.
Immunohistochemical staining of SCAF11 using anti-SCAF11 antibody. SCAF11 was detected in a paraffin-embedded section of human thyroid cancer tissue. Heat mediated antigen retrieval was performed in EDTA buffer (pH 8.0, epitope retrieval solution). The tissue section was blocked with 10% goat serum. The tissue section was then incubated with 2 ug/ml rabbit anti-SCAF11 antibody overnight at 4oC. Peroxidase Conjugated Goat Anti-rabbit IgG was used as secondary antibody and incubated for 30 minutes at 37oC. The tissue section was developed using an HRP secondary and DAB substrate.
Immunohistochemical staining of SCAF11 using anti-SCAF11 antibody. SCAF11 was detected in a paraffin-embedded section of human tonsil tissue. Heat mediated antigen retrieval was performed in EDTA buffer (pH 8.0, epitope retrieval solution). The tissue section was blocked with 10% goat serum. The tissue section was then incubated with 2 ug/ml rabbit anti-SCAF11 antibody overnight at 4oC. Peroxidase Conjugated Goat Anti-rabbit IgG was used as secondary antibody and incubated for 30 minutes at 37oC. The tissue section was developed using an HRP secondary and DAB substrate.
Immunohistochemical staining of SCAF11 using anti-SCAF11 antibody. SCAF11 was detected in a paraffin-embedded section of human renal cancer tissue. Heat mediated antigen retrieval was performed in EDTA buffer (pH 8.0, epitope retrieval solution). The tissue section was blocked with 10% goat serum. The tissue section was then incubated with 2 ug/ml rabbit anti-SCAF11 antibody overnight at 4oC. Peroxidase Conjugated Goat Anti-rabbit IgG was used as secondary antibody and incubated for 30 minutes at 37oC. The tissue section was developed using an HRP secondary and DAB substrate.
Immunohistochemical staining of SCAF11 using anti-SCAF11 antibody. SCAF11 was detected in a paraffin-embedded section of human placenta tissue. Heat mediated antigen retrieval was performed in EDTA buffer (pH 8.0, epitope retrieval solution). The tissue section was blocked with 10% goat serum. The tissue section was then incubated with 2 ug/ml rabbit anti-SCAF11 antibody overnight at 4oC. Peroxidase Conjugated Goat Anti-rabbit IgG was used as secondary antibody and incubated for 30 minutes at 37oC. The tissue section was developed using an HRP secondary and DAB substrate.
Immunohistochemical staining of SCAF11 using anti-SCAF11 antibody. SCAF11 was detected in a paraffin-embedded section of mouse brain tissue. Heat mediated antigen retrieval was performed in EDTA buffer (pH 8.0, epitope retrieval solution). The tissue section was blocked with 10% goat serum. The tissue section was then incubated with 2 ug/ml rabbit anti-SCAF11 antibody overnight at 4oC. Peroxidase Conjugated Goat Anti-rabbit IgG was used as secondary antibody and incubated for 30 minutes at 37oC. The tissue section was developed using an HRP secondary and DAB substrate.
Immunofluorescent staining of FFPE human A549 cells with SCAF11 antibody (green) and Beta Tubulin mAb (red). HIER: steam section in pH6 citrate buffer for 20 min.
Immunoprecipitation of SCAF11 protein from 500ug of human HeLa whole cell lysate with 2ug of SCAF11 antibody.
Flow cytometry analysis of fixed and permeabilized human MCF7 cells with SCAF11 antibody at 1ug/million cells (blocked with goat sera); Red=cells alone, Green=isotype control, Blue= SCAF11 antibody.
Availability 1-2 days
Species Reactivity Human, Mouse
Format Lyophilized
Host Rabbit
Clonality Polyclonal (rabbit origin)
Isotype Rabbit IgG
Purity Immunogen affinity purified
Buffer Each vial contains 4 mg Trehalose, 0.9 mg NaCl, 0.2 mg Na2HPO4.
UniProt Q99590
Applications Western Blot : 0.25-0.5ug/ml
Immunohistochemistry : 2-5ug/ml
Immunocytochemistry/Immunofluorescence : 5ug/ml
Immunoprecipitation : 2-4ug/500ug of lysate
Flow Cytometry : 1-3ug/million cells
ELISA : 0.1-0.5ug/ml
Limitations This SCAF11 antibody is available for research use only.
Review this product on BioCompare and get a $20 Amazon gift card

Description

SCAF11 antibody detects SR-related CTD-associated factor 11, a nuclear protein that couples RNA processing to transcription by RNA polymerase II. The UniProt recommended name is SR-related CTD-associated factor 11 (SCAF11). Also known as SFRS2-interacting protein, SCAF11 belongs to a family of large SR-related proteins that integrate transcriptional elongation with pre-mRNA splicing and RNA surveillance pathways.

Functionally, SCAF11 antibody identifies a 1,450-amino-acid nuclear protein containing RNA recognition motifs (RRMs) and arginine/serine-rich (RS) domains characteristic of SR proteins. SCAF11 binds to the C-terminal domain (CTD) of RNA polymerase II, recognizing its phosphorylation state and linking elongating polymerases to RNA splicing machinery. It interacts with splicing factors such as SRSF2 and SF3B1 and participates in the coordination of cotranscriptional mRNA processing.

The SCAF11 gene is located on chromosome 12q24.33 and is ubiquitously expressed, with higher levels in actively proliferating and transcriptionally active cells. Expression peaks during S-phase and in tissues with elevated RNA synthesis such as liver and brain. SCAF11 plays a dual role as a structural component of the transcriptional complex and a modulator of RNA maturation efficiency.

Pathologically, dysregulation of SCAF11 has been linked to aberrant RNA processing and oncogenic transformation. Overexpression contributes to cancer progression by promoting transcriptional elongation of growth-associated genes, while knockdown disrupts RNA stability and gene expression homeostasis. SCAF11 has also been implicated in neurodegenerative conditions where transcriptional stress affects mRNA splicing fidelity. Research using SCAF11 antibody supports studies in transcriptional regulation, RNA processing, and chromatin biology.

SCAF11 antibody is validated for western blotting, immunofluorescence, and chromatin immunoprecipitation to detect transcription-associated RNA-binding proteins. NSJ Bioreagents provides SCAF11 antibody reagents optimized for studies in RNA polymerase II regulation, mRNA splicing, and gene expression coupling.

Structurally, SR-related CTD-associated factor 11 contains multiple RRMs for RNA binding and long RS-rich regions that mediate protein-protein interactions with splicing and elongation factors. Its CTD-binding domain recognizes phosphorylated Ser2 residues on RNA polymerase II, positioning SCAF11 at sites of active transcription. This antibody facilitates investigation of SCAF11's role in coordinating transcription, RNA processing, and post-transcriptional regulation.

Application Notes

Optimal dilution of the SCAF11 antibody should be determined by the researcher.

Immunogen

E.coli-derived human SFRS2IP/SCAF11 recombinant protein (Position: D81-D1399) was used as the immunogen for the SCAF11 antibody.

Storage

After reconstitution, the SCAF11 antibody can be stored for up to one month at 4oC. For long-term, aliquot and store at -20oC. Avoid repeated freezing and thawing.

Cross
Bulk Quote Request Form
Name*:
Organization*:
Email*:
Phone Number*:
Catalog No.*:
Comments and Specifics(amount, formulation, etc.)*:
Validation code: Captchapackage Image


Can't read the image? click here to refresh.
    *required field

Your bulk quote request has been submitted successfully!

Please contact us if you have any questions.