• Tel: 858.663.9055
  • SeparatorEmail: info@nsjbio.com
  • Tel: 858.663.9055
  • Email: info@nsjbio.com
Home >> Antibodies >> Sca-1 Antibody / Ly6A/E

Sca-1 Antibody / Ly6A/E [clone AAIF-12] (RQ5125)

  Catalog No Formulation Size Price (USD)  
Image RQ5125 Antibody in PBS with 0.02% sodium azide, 50% glycerol and 0.4-0.5mg/ml BSA 100 ul 449
Microvalidated Rab Mono Image
Bulk quote request
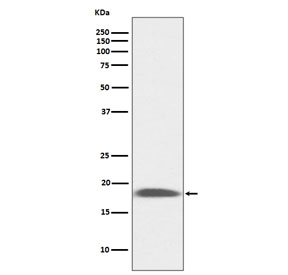
Western blot testing of mouse kidney lysate with Sca-1 antibody. Expected molecular weight: 14-18 kDa.
Availability 1-2 weeks
Species Reactivity Mouse
Format Purified
Host Rabbit
Clonality Rabbit Monoclonal
Isotype Rabbit IgG
Clone Name AAIF-12
Purity Affinity purified
UniProt P05533
Applications Western Blot : 1:500-1:2000
Limitations This Sca-1 antibody is available for research use only.
Review this product on BioCompare and get a $20 Amazon gift card

Related Products

Description

Stem cell antigen-1 (Sca-1) is a mouse glycosyl phosphatidylinositol-anchored protein and a cell surface marker found on hematopoietic stem cells (HSCs).

Application Notes

Optimal dilution of the Sca-1 antibody should be determined by the researcher.

Immunogen

A synthetic peptide specific to mouse LY6A/E / Sca1 was used as the immunogen for the Sca-1 antibody.

Storage

Store the Sca-1 antibody at -20oC.

Cross
Bulk Quote Request Form
Name*:
Organization*:
Email*:
Phone Number*:
Catalog No.*:
Comments and Specifics(amount, formulation, etc.)*:
Validation code: Captchapackage Image


Can't read the image? click here to refresh.
    *required field

Your bulk quote request has been submitted successfully!

Please contact us if you have any questions.