• Tel: 858.663.9055
  • SeparatorEmail: info@nsjbio.com
  • Tel: 858.663.9055
  • Email: info@nsjbio.com
Home >> Antibodies >> SATB2 Antibody for WB

SATB2 Antibody for WB [clone SATB2/8877R] (V4935)

  Catalog No Formulation Size Price (USD)  
Image V4935-100UG 0.2 mg/ml in 1X PBS with 0.1 mg/ml BSA (US sourced), 0.05% sodium azide 100 ug 559
Image
V4935-20UG 0.2 mg/ml in 1X PBS with 0.1 mg/ml BSA (US sourced), 0.05% sodium azide 20 ug 259
Image
V4935SAF-100UG 1 mg/ml in 1X PBS; BSA free, sodium azide free 100 ug 559
Microvalidated Recrabbitmono
Bulk quote request
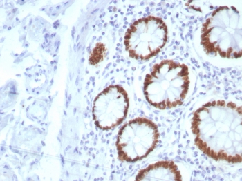
IHC staining of FFPE human colon tissue with SATB2 antibody (clone SATB2/8877R). HIER: boil tissue sections in pH 9 10mM Tris with 1mM EDTA for 20 min and allow to cool before testing.
SDS-PAGE analysis of purified, BSA-free SATB2 antibody (clone SATB2/8877R) as confirmation of integrity and purity.
SATB2 Antibody for WB K562 Cells. Western blot analysis of SATB2 antibody in K-562 cell lysate. A distinct immunoreactive band is observed at approximately 80-90 kDa, consistent with the predicted molecular weight of Special AT-rich sequence-binding protein 2. The rabbit monoclonal antibody clone SATB2/8877R demonstrates specific detection of endogenous SATB2 protein in denatured cell lysate under reducing conditions.
Availability 1-3 business days
Species Reactivity Human
Format Purified
Host Rabbit
Clonality Recombinant Rabbit Monoclonal
Isotype Rabbit IgG, kappa
Clone Name SATB2/8877R
Purity Protein A/G affinity
UniProt Q9UPW6
Localization Nucleus
Applications Immunohistochemistry (FFPE) : 1-2ug/ml for 30 min at RT
Western Blot : 2-4ug/ml
Limitations This SATB2 antibody is available for research use only.
Review this product on BioCompare and get a $20 Amazon gift card

Related Products

Description

SATB2 Antibody for WB (clone SATB2/8877R) recognizes Special AT-rich sequence-binding protein 2, a nuclear chromatin organizer encoded by the SATB2 gene on chromosome 2q33.1. SATB2 is a DNA-binding transcriptional regulator that coordinates higher-order chromatin architecture with gene expression. The protein contains two CUT domains and a homeodomain that enable sequence-specific DNA interaction and recruitment of regulatory complexes. SATB2 localizes predominantly to the nucleus, where it functions as a genome organizer linking matrix attachment regions to transcriptional control mechanisms.

SATB2 plays a central role in embryonic development, particularly in cortical neuron specification, craniofacial patterning, and osteoblast differentiation. In the developing cerebral cortex, SATB2 regulates projection neuron identity and gene expression programs required for proper cortical connectivity. In skeletal tissues, it supports osteogenic lineage commitment and bone formation. In adult tissues, SATB2 expression is most prominent in glandular epithelial cells of the lower gastrointestinal tract, especially colorectal mucosa, where it contributes to epithelial differentiation and maintenance of regional identity.

Alterations in SATB2 expression or function have been associated with developmental disorders and are widely investigated in colorectal cancer research. SATB2 is frequently studied as a marker of colorectal epithelial origin due to its consistent expression in normal and malignant colorectal epithelium. In experimental settings, analysis of SATB2 protein levels can provide insight into differentiation status, lineage specification, and transcriptional regulation pathways in epithelial and neuronal systems.

As a rabbit monoclonal antibody optimized for western blot applications, clone SATB2/8877R is designed to detect SATB2 protein in denatured samples following SDS-PAGE separation and membrane transfer. Monoclonal epitope specificity supports consistent band detection and reduced non-specific background. SATB2 Antibody for WB (SATB2/8877R) is suitable for investigating SATB2 protein expression in research studies focused on colorectal biology, neuronal development, skeletal differentiation, and chromatin organization mechanisms.

Researchers investigating colorectal tumor markers, epithelial lineage determination, and chromatin-associated transcriptional regulation may also be interested in our SATB2 Antibody / Colorectal and Lineage Marker page featuring validated immunohistochemistry and western blot applications for colorectal pathology research.

Application Notes

Optimal dilution of the SATB2 Antibody for WB should be determined by the researcher.

Immunogen

A recombinant partial protein sequence (within amino acids 200-300) from the human protein was used as the immunogen for the SATB2 antibody for WB.

Storage

Aliquot the SATB2 antibody and store frozen at -20oC or colder. Avoid repeated freeze-thaw cycles.

Alternate Names

SATB homeobox 2 antibody, Special AT-rich sequence-binding protein 2 antibody, SATB2 antibody

Cross
Bulk Quote Request Form
Name*:
Organization*:
Email*:
Phone Number*:
Catalog No.*:
Comments and Specifics(amount, formulation, etc.)*:
Validation code: Captchapackage Image


Can't read the image? click here to refresh.
    *required field

Your bulk quote request has been submitted successfully!

Please contact us if you have any questions.