• Tel: 858.663.9055
  • SeparatorEmail: info@nsjbio.com
  • Tel: 858.663.9055
  • Email: info@nsjbio.com
Home >> Antibodies >> SATB2 Antibody

SATB2 Antibody [clone SATB2/7111] (V4015)

  Catalog No Formulation Size Price (USD)  
Image V4015-100UG 0.2 mg/ml in 1X PBS with 0.1 mg/ml BSA (US sourced), 0.05% sodium azide 100 ug 559
Image
V4015-20UG 0.2 mg/ml in 1X PBS with 0.1 mg/ml BSA (US sourced), 0.05% sodium azide 20 ug 259
Image
V4015SAF-100UG 1 mg/ml in 1X PBS; BSA free, sodium azide free 100 ug 559
Bulk quote request
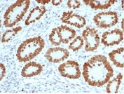
SATB2 Antibody Colon Immunohistochemistry. IHC staining of FFPE human colon tissue with SATB2 antibody (clone SATB2/7111). HIER: boil tissue sections in pH 9 10mM Tris with 1mM EDTA for 20 min and allow to cool before testing.
SATB2 Antibody Human Colon Tissue Immunohistochemistry. IHC staining of FFPE human colon tissue with SATB2 antibody (clone SATB2/7111). HIER: boil tissue sections in pH 9 10mM Tris with 1mM EDTA for 20 min and allow to cool before testing.
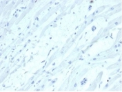
Negative control: IHC staining of FFPE human heart tissue with SATB2 antibody (clone SATB2/7111). HIER: boil tissue sections in pH 9 10mM Tris with 1mM EDTA for 20 min and allow to cool before testing.
SATB2 Antibody K-562 WB. Western blot analysis of K-562 cell lysate using SATB2 Mouse Monoclonal Antibody clone SATB2/7111. A distinct band is detected at approximately 85 kDa, consistent with the expected molecular weight of Special AT-rich sequence-binding protein 2 / SATB2, a chromatin-associated transcriptional regulator involved in epigenetic organization and lineage-specific gene expression pathways.
Availability 1-3 business days
Species Reactivity Human
Format Purified
Host Mouse
Clonality Monoclonal (mouse origin)
Isotype Mouse IgG2b, kappa
Clone Name SATB2/7111
Purity Protein A/G affinity
UniProt Q9UPW6
Localization Nucleus
Applications Immunohistochemistry (FFPE) : 1-2ug/ml
Western Blot : 2-4ug/ml
Limitations This SATB2 antibody is available for research use only.
Review this product on BioCompare and get a $20 Amazon gift card

Related Products

Description

SATB2 Antibody specifically detects SATB2, a DNA binding protein that specifically binds nuclear matrix attachment regions. It is involved in transcription regulation and chromatin remodeling. SATB2 expression in colorectal carcinomas (CRC) is correlated with good prognosis and in laryngeal squamous cell carcinoma it functions as a tumor suppressor wherein loss of expression is positively correlated with high tumor grade and recurrence. Moreover, SATB2, in combination with CK20, could identify almost all CRC's. Upper gastrointestinal (GI) carcinomas and pancreatic ductal carcinomas are usually negative for SATB2, and ovarian carcinomas, lung adenocarcinomas, and adenocarcinomas from other origin are rarely positive for SATB2. Additionally, SATB2 antibody can identify neuroendocrine neoplasms of colon and rectum because SATB2 is usually negative in neuroendocrine neoplasms of the GI tract, pancreas, and lung. More recently, it has been reported that SATB2 is a sensitive marker for tumors with osteoblastic differentiation.

Researchers investigating colorectal tumor markers, epithelial lineage determination, and chromatin-associated transcriptional regulation may also be interested in our SATB2 Antibody / Colorectal and Lineage Marker page featuring validated immunohistochemistry and western blot applications for colorectal pathology research.

Application Notes

Optimal dilution of the SATB2 antibody should be determined by the researcher.

Immunogen

A portion of amino acids 150-350 from the human SATB2 protein was used as the immunogen for the SATB2 antibody.

Storage

Aliquot the SATB2 antibody and store frozen at -20oC or colder. Avoid repeated freeze-thaw cycles.

Cross
Bulk Quote Request Form
Name*:
Organization*:
Email*:
Phone Number*:
Catalog No.*:
Comments and Specifics(amount, formulation, etc.)*:
Validation code: Captchapackage Image


Can't read the image? click here to refresh.
    *required field

Your bulk quote request has been submitted successfully!

Please contact us if you have any questions.