• Tel: 858.663.9055
  • SeparatorEmail: info@nsjbio.com
  • Tel: 858.663.9055
  • Email: info@nsjbio.com
Home >> Antibodies >> SATB2 Antibody Recombinant Mouse MAb

SATB2 Antibody Recombinant Mouse MAb [clone rSATB2/6929] (V9501)

  Catalog No Formulation Size Price (USD)  
Image V9501-100UG 0.2 mg/ml in 1X PBS with 0.1 mg/ml BSA (US sourced), 0.05% sodium azide 100 ug 559
Image
V9501-20UG 0.2 mg/ml in 1X PBS with 0.1 mg/ml BSA (US sourced), 0.05% sodium azide 20 ug 259
Image
V9501SAF-100UG 1 mg/ml in 1X PBS; BSA free, sodium azide free 100 ug 559
Microvalidated Recmousemono
Bulk quote request
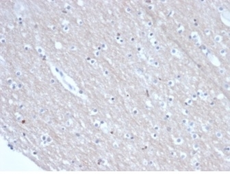
SATB2 Antibody Recombinant Mouse MAb Brain IHC. Immunohistochemistry of SATB2 antibody in FFPE human brain tissue. The recombinant mouse monoclonal SATB2 antibody (clone rSATB2/6929) demonstrates nuclear staining in scattered neuronal cells, consistent with SATB2 expression in cortical neuron populations. Background staining is minimal. Heat-induced epitope retrieval was performed by boiling sections in pH 9 10mM Tris with 1mM EDTA for 20 minutes followed by cooling prior to incubation with the primary antibody at 2 ug/ml for 30 minutes at room temperature.
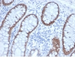
SATB2 Antibody Recombinant Mouse MAb Colon IHC. Immunohistochemistry staining of FFPE human colon tissue with SATB2 antibody (clone rSATB2/6929) at 2ug/ml in PBS for 30min RT. Strong nuclear staining is observed. HIER: boil tissue sections in pH 9 10mM Tris with 1mM EDTA for 20 min and allow to cool before testing.
Availability 1-3 business days
Species Reactivity Human
Format Purified
Host Mouse
Clonality Recombinant Mouse Monoclonal
Isotype Mouse IgG1, kappa
Clone Name rSATB2/6929
Purity Protein A/G affinity
UniProt Q9UPW6
Localization Nuclear
Applications Immunohistochemistry (FFPE) : 1-2ug/ml
Limitations This SATB2 antibody is available for research use only.
Review this product on BioCompare and get a $20 Amazon gift card

Related Products

Description

SATB2 Antibody Recombinant Mouse MAb clone rSATB2/6929 recognizes Special AT-rich sequence-binding protein 2, a nuclear chromatin organizer encoded by the SATB2 gene located on chromosome 2q33.1. SATB2 functions as a DNA-binding transcriptional regulator that anchors specialized AT-rich genomic regions to the nuclear matrix, coordinating higher-order chromatin looping with gene expression control. The protein contains two CUT domains and a homeodomain that mediate sequence-specific DNA binding and recruitment of transcriptional regulatory complexes. SATB2 localizes predominantly to the nucleus, where it typically displays a granular or reticular staining pattern reflecting its role in chromatin remodeling and spatial genome organization.

SATB2 is critically involved in embryonic development, particularly in corticogenesis, craniofacial morphogenesis, and osteoblast differentiation. In the developing cerebral cortex, SATB2 regulates projection neuron identity and gene expression programs required for proper cortical connectivity. In skeletal tissues, it contributes to osteogenic lineage commitment and bone formation by modulating transcriptional networks associated with differentiation. In adult tissues, SATB2 expression is most prominent in glandular epithelial cells of the lower gastrointestinal tract, especially colorectal mucosa, where it supports maintenance of regional epithelial identity.

Altered SATB2 expression has been investigated in developmental disorders and colorectal cancer research. SATB2 is widely studied as a nuclear marker of colorectal epithelial origin due to its consistent expression in normal and malignant colorectal epithelium. Evaluation of SATB2 protein expression in experimental models can provide insight into differentiation status, lineage specification, and transcriptional regulatory mechanisms in epithelial, neuronal, and skeletal systems.

As a recombinant mouse monoclonal antibody, clone rSATB2/6929 is engineered for epitope-specific recognition of the SATB2 protein, supporting reproducible and consistent performance. Recombinant monoclonal design enhances lot-to-lot consistency and defined binding characteristics. SATB2 Antibody recombinant mouse mAb rSATB2/6929 is suitable for detecting nuclear SATB2 expression in research studies focused on colorectal biology, neuronal development, skeletal differentiation, and chromatin organization.

Researchers investigating colorectal tumor markers, epithelial lineage determination, and chromatin-associated transcriptional regulation may also be interested in our SATB2 Antibody / Colorectal and Lineage Marker page featuring validated immunohistochemistry and western blot applications for colorectal pathology research.

Application Notes

Optimal dilution of the SATB2 antibody should be determined by the researcher.

Immunogen

A portion of amino acids 200-300 was used as the immunogen for the SATB2 antibody recombinant mouse mAb rSATB2/6929.

Storage

Aliquot the SATB2 antibody and store frozen at -20oC or colder. Avoid repeated freeze-thaw cycles.

Cross
Bulk Quote Request Form
Name*:
Organization*:
Email*:
Phone Number*:
Catalog No.*:
Comments and Specifics(amount, formulation, etc.)*:
Validation code: Captchapackage Image


Can't read the image? click here to refresh.
    *required field

Your bulk quote request has been submitted successfully!

Please contact us if you have any questions.