• Tel: 858.663.9055
  • SeparatorEmail: info@nsjbio.com
  • Tel: 858.663.9055
  • Email: info@nsjbio.com
Home >> Antibodies >> SATB1 Antibody / Special AT-rich sequence-binding protein 1

SATB1 Antibody / Special AT-rich sequence-binding protein 1 [clone SATB1/2661] (V4980)

  Catalog No Formulation Size Price (USD)  
Image V4980-100UG 0.2 mg/ml in 1X PBS with 0.1 mg/ml BSA (US sourced), 0.05% sodium azide 100 ug 559
Image
V4980-20UG 0.2 mg/ml in 1X PBS with 0.1 mg/ml BSA (US sourced), 0.05% sodium azide 20 ug 259
Image
V4980SAF-100UG 1 mg/ml in 1X PBS; BSA free, sodium azide free 100 ug 559
Bulk quote request
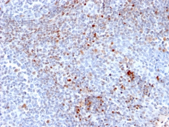
IHC staining of FFPE human tonsil tissue with SATB1 antibody (clone SATB1/2661). HIER: boil tissue sections in pH 9 10mM Tris with 1mM EDTA for 20 min and allow to cool before testing.
SDS-PAGE analysis of purified, BSA-free SATB1 antibody (clone SATB1/2661) as confirmation of integrity and purity.
Availability 1-3 business days
Species Reactivity Human
Format Purified
Host Mouse
Clonality Monoclonal (mouse origin)
Isotype Mouse IgG1
Clone Name SATB1/2661
Purity Protein A/G affinity
UniProt Q01826
Localization Nucleus
Applications Immunohistochemistry (FFPE) (1-2ug/ml For 30 Min At RT) :
Limitations This SATB1 antibody is available for research use only.
Review this product on BioCompare and get a $20 Amazon gift card

Related Products

  • Applications : FACS, IF
    Reactivity : Human
  • Applications : WB, IHC, ELISA (peptide)
    Reactivity : Human
    Pred. Reactivity : Cow, Mouse, Rat
  • Applications : WB, FACS, ELISA
    Reactivity : Human, Mouse, Rat

Description

The homeoproteins CCAAT displacement protein (CDP) and special AT-rich sequence binding protein 1 (SATB1) are transcriptional repressors of many cellular genes, and they participate in cell development and cell type differentiation. SATB1 is expressed primarily in thymocytes, and, like CDP, it also contains a distinct homeobox DNA-binding domain that is essential for DNA binding. SATB1 and CDP interact through these homeodomains and synergistically function as mediators of gene expression. SATB1 contains an additional domain that has a higher affinity for DNA and specifically facilitates the direct association between SATB1 and the nuclear matrix attachment regions (MARs) of DNA. MARs are specific DNA sequences that bind to the nuclear matrix and form the base of chromosomal loops that organize the chromosomes and regulate DNA transcription and replication within the nucleus. The association of SATB1 with the core unwinding element within the base-unpairing region of MARs requires both the MAR and homeobox binding domains of SATB1.

Application Notes

Optimal dilution of the SATB1 antibody should be determined by the researcher.

Immunogen

Recombinant full-length human SATB1 protein was used as the immunogen for the SATB1 antibody.

Storage

Aliquot the SATB1 antibody and store frozen at -20oC or colder. Avoid repeated freeze-thaw cycles.

Cross
Bulk Quote Request Form
Name*:
Organization*:
Email*:
Phone Number*:
Catalog No.*:
Comments and Specifics(amount, formulation, etc.)*:
Validation code: Captchapackage Image


Can't read the image? click here to refresh.
    *required field

Your bulk quote request has been submitted successfully!

Please contact us if you have any questions.