• Tel: 858.663.9055
  • SeparatorEmail: info@nsjbio.com
  • Tel: 858.663.9055
  • Email: info@nsjbio.com
Home >> Antibodies >> SATB1 Antibody

SATB1 Antibody (R33988)

  Catalog No Formulation Size Price (USD)  
Image R33988-100UG 0.5 mg/ml in 1X TBS, pH7.3, with 0.5% BSA (US sourced) and 0.02% sodium azide 100 ug 475
Bulk quote request
Western blot testing of MOLT4 lysate with SATB1 antibody at 0.3ug/ml. Predicted molecular weight ~86kDa, routinely observed at 100~110kDa.
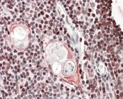
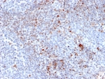
IHC staining of FFPE human thymus with SATB1 antibody at 4ug/ml. HIER: steamed with pH6 citrate buffer, AP-staining.
Availability 1-3 business days
Species Reactivity Human
Predicted Reactivity Cow, Mouse, Rat
Format Antigen affinity purified
Host Goat
Clonality Polyclonal (goat origin)
Isotype Goat Ig
Purity Antigen affinity
Gene ID 6304
Applications Western Blot : 0.3-1ug/ml
Immunohistochemistry (FFPE) : 3-5ug/ml
ELISA (peptide) LOD : 1:32000
Limitations This SATB1 antibody is available for research use only.
Review this product on BioCompare and get a $20 Amazon gift card

Related Products

Description

Additional name(s) for this target protein: Special AT-rich sequence binding protein 1

Application Notes

Optimal dilution of the SATB1 antibody should be determined by the researcher.

Immunogen

Amino acids ESDEENRQKTRPRT were used as the immunogen for this SATB1 antibody.

Storage

Aliquot and store the SATB1 antibody at -20oC.

Cross
Bulk Quote Request Form
Name*:
Organization*:
Email*:
Phone Number*:
Catalog No.*:
Comments and Specifics(amount, formulation, etc.)*:
Validation code: Captchapackage Image


Can't read the image? click here to refresh.
    *required field

Your bulk quote request has been submitted successfully!

Please contact us if you have any questions.