• Tel: 858.663.9055
  • SeparatorEmail: info@nsjbio.com
  • Tel: 858.663.9055
  • Email: info@nsjbio.com
Home >> Antibodies >> SAPK4 Antibody / Stress-activated protein kinase 4 / MAPK13

SAPK4 Antibody / Stress-activated protein kinase 4 / MAPK13 (R31807)

  Catalog No Formulation Size Price (USD)  
Image R31807 0.5mg/ml if reconstituted with 0.2ml sterile DI water 100 ug 449
Bulk quote request
Immunofluorescence analysis of SAPK4 in human U2OS cells. SAPK4 antibody was used to detect SAPK4 (green) in human U2OS cells, with alpha tubulin antibody labeling the cytoskeleton (red). Cells were enzymatically treated for antigen retrieval, blocked with goat serum, and incubated with primary antibodies overnight. Secondary antibodies used were Fluoro488-conjugated anti-rabbit IgG and Cy3-conjugated anti-mouse IgG. SAPK4 signal is observed in the cytoplasmic compartment.
Immunohistochemistry analysis of SAPK4 in human breast cancer tissue. SAPK4 antibody was used to detect SAPK4 in paraffin-embedded human breast cancer tissue. Antigen retrieval was performed using EDTA buffer (pH 8.0). Tumor epithelial cells show cytoplasmic staining, while surrounding stromal cells display weaker signal. Detection was performed using an HRP-DAB system.
Immunohistochemistry analysis of SAPK4 in human ovary cancer tissue. SAPK4 antibody was applied to paraffin-embedded human ovary cancer tissue following EDTA-based antigen retrieval (pH 8.0). Cytoplasmic staining is observed in tumor epithelial cells with lower background in adjacent stromal regions. Signal was visualized using HRP-DAB chemistry.
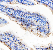
Immunohistochemistry analysis of SAPK4 in mouse colon tissue. SAPK4 antibody was used to stain paraffin-embedded mouse colon tissue after EDTA antigen retrieval (pH 8.0). Positive cytoplasmic staining is present in epithelial cells lining the intestinal crypts, with minimal staining in surrounding connective tissue.
Immunohistochemistry analysis of SAPK4 in rat colon tissue. Paraffin-embedded rat colon tissue was stained using SAPK4 antibody following EDTA-mediated antigen retrieval (pH 8.0). SAPK4 signal is observed primarily in epithelial cells of the intestinal mucosa, with lower signal in non-epithelial compartments.
Western blot analysis of SAPK4 using anti-SAPK4 antibody. Proteins from human RT4, TE-1, A431, and Caco-2 whole cell lysates (lanes 1-4), rat small intestine tissue lysate (lane 5), and mouse small intestine tissue lysate (lane 6) were separated by 10% SDS-PAGE under reducing conditions and transferred to a nitrocellulose membrane. The membrane was probed with rabbit anti-SAPK4 antibody followed by HRP-conjugated goat anti-rabbit IgG, and signal was detected by ECL. A specific band corresponding to SAPK4 was observed at approximately 42 kDa, consistent with the predicted molecular weight of SAPK4. In mouse small intestine, additional lower molecular weight bands were detected, which may reflect proteolytic processing, tissue-specific degradation, or partial cleavage products commonly observed in intestinal lysates with high protease activity.
Immunoprecipitation-western blot analysis of SAPK4 in human RT4 whole cell lysate using anti-SAPK4 antibody. RT4 whole cell lysate was subjected to immunoprecipitation followed by western blot detection using anti-SAPK4 antibody. Lane 1 shows human RT4 whole cell lysates (30 ug). Lane 2 shows rabbit control IgG used instead of anti-SAPK4 antibody in RT4 whole cell lysate. Lane 3 shows anti-SAPK4 antibody (2 ug) incubated with RT4 whole cell lysate (500 ug). A specific band corresponding to SAPK4 is detected at approximately 42 kDa, consistent with the predicted molecular weight of SAPK4. Additional lower molecular weight bands observed in the immunoprecipitated sample are consistent with residual IgG light chain signal and possible proteolytic fragments generated during immunoprecipitation and sample processing, which are commonly observed in IP-western blot analyses.
Flow cytometry analysis of fixed and permeabilized human Caco-2 cells with SAPK4 antibody at 1ug/million cells (blocked with goat sera); Red=cells alone, Green=isotype control, Blue= SAPK4 antibody.
Availability 1-3 business days
Species Reactivity Human, Mouse, Rat
Format Antigen affinity purified
Host Rabbit
Clonality Polyclonal (rabbit origin)
Isotype Rabbit IgG
Purity Antigen affinity
Buffer Lyophilized from 1X PBS with 2% Trehalose
UniProt O15264
Localization Nuclear, cytoplasmic
Applications Western Blot : 0.5-1ug/ml
Immunohistochemistry (FFPE) : 2-5ug/ml
Immunofluorescence : 5ug/ml
Flow Cytometry : 1-3ug/million cells
Immunoprecipitation : 2ug per 500ug of lysate
Limitations This SAPK4 antibody is available for research use only.
Review this product on BioCompare and get a $20 Amazon gift card

Related Products

  • Applications : WB
    Reactivity : Human, Mouse, Rat
  • Applications : WB, ELISA
    Reactivity : Human

Description

SAPK4 antibody targets Stress-activated protein kinase 4, a serine-threonine protein kinase encoded by the MAPK13 gene and a member of the p38 mitogen-activated protein kinase family. Stress-activated protein kinase 4 is predominantly localized in the cytoplasm, with inducible nuclear translocation following activation, and functions as a key mediator of cellular responses to environmental stress signals. As part of the MAPK signaling cascade, SAPK4 integrates upstream signals from inflammatory cytokines, osmotic stress, ultraviolet radiation, and oxidative stress to regulate downstream transcriptional and post-translational events.

Stress-activated protein kinase 4 plays an important role in regulating gene expression programs associated with inflammation, epithelial differentiation, and stress adaptation. Unlike other p38 family members, MAPK13 shows distinct expression patterns, with relatively higher expression in epithelial tissues such as intestine, lung, and skin, as well as in certain immune and tumor-derived cell types. This tissue-selective expression profile makes SAPK4 a biologically relevant target for studying epithelial stress signaling and barrier-associated immune responses.

Functionally, SAPK4 phosphorylates a range of substrates involved in transcriptional control, cytoskeletal regulation, and protein stability. Activation of SAPK4 has been linked to modulation of transcription factors, regulation of inflammatory mediator production, and coordination of stress-induced cellular remodeling. Through these activities, Stress-activated protein kinase 4 contributes to maintaining cellular homeostasis under adverse conditions while also participating in pathological signaling when dysregulated.

In the context of disease, altered MAPK13 signaling has been reported in inflammatory disorders, gastrointestinal pathology, and several cancer types, where SAPK4 activity may influence tumor cell survival, proliferation, and stress tolerance. Its involvement in epithelial-derived cancers and inflammation-associated tumor microenvironments has increased interest in SAPK4 as both a mechanistic signaling node and a potential therapeutic research target.

A SAPK4 antibody is a valuable tool for investigating MAPK pathway dynamics, stress-responsive kinase activation, and tissue-specific signaling patterns. Such antibodies can be applied to the study of SAPK4 expression, localization, and regulation in cellular and tissue-based research models. By enabling detection of Stress-activated protein kinase 4 in diverse experimental contexts, this antibody supports research into MAPK13-driven signaling mechanisms and their relevance to inflammation, epithelial biology, and disease-associated stress responses.

Application Notes

Optimal dilution of the SAPK4 antibody should be determined by the researcher.

Immunogen

Amino acids KLTVDEWKQHIYKEIVNFSPIARKDSRRRSGMKL of human MAPK13/SAPK4 were used as the immunogen for the SAPK4 antibody.

Storage

After reconstitution, the SAPK4 antibody can be stored for up to one month at 4oC. For long-term, aliquot and store at -20oC. Avoid repeated freezing and thawing.

Cross
Bulk Quote Request Form
Name*:
Organization*:
Email*:
Phone Number*:
Catalog No.*:
Comments and Specifics(amount, formulation, etc.)*:
Validation code: Captchapackage Image


Can't read the image? click here to refresh.
    *required field

Your bulk quote request has been submitted successfully!

Please contact us if you have any questions.