• Tel: 858.663.9055
  • SeparatorEmail: info@nsjbio.com
  • Tel: 858.663.9055
  • Email: info@nsjbio.com
Home >> Antibodies >> SAP97 Antibody

SAP97 Antibody (R32206)

  Catalog No Formulation Size Price (USD)  
Image R32206 0.5mg/ml if reconstituted with 0.2ml sterile DI water 100 ug 449
Bulk quote request
Western blot testing of 1) rat lung, 2) mouse lung, 3) HeLa, 4) MM231, 5) COLO320, 6) A549 and 7) mouse NIH3T3 lysate with SAP97 antibody. Predicted molecular weight: ~103 kDa, rountinely observed at ~140 kDa (Ref 1).
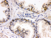
IHC testing of FFPE human prostate cancer tissue with SAP97 antibody. HIER: Boil the paraffin sections in pH 6, 10mM citrate buffer for 20 minutes and allow to cool prior to staining.
Availability 1-3 business days
Species Reactivity Human, Mouse, Rat
Format Antigen affinity purified
Host Rabbit
Clonality Polyclonal (rabbit origin)
Isotype Rabbit IgG
Purity Antigen affinity
Buffer Lyophilized from 1X PBS with 2.5% BSA and 0.025% sodium azide
UniProt Q12959
Localization Cytoplasmic, membrane
Applications Western Blot : 0.1-0.5ug/ml
IHC (FFPE) : 0.5-1ug/ml
Limitations This SAP97 antibody is available for research use only.
Review this product on BioCompare and get a $20 Amazon gift card

Related Products

  • Applications : WB, ELISA (peptide)
    Reactivity : Human
    Pred. Reactivity : Mouse, Rat

Description

Disks large homolog 1 (DLG1), also known as synapse-associated protein 97 or SAP97, is a protein that in humans is encoded by the SAP97 gene. SAP97 is expressed throughout the body in epithelial cells, including the kidney and brain. There is some evidence that SAP97 regulates cell-to-cell adhesion during cell death, and may interact with HPV. In the brain, SAP97's function is involved in the trafficking of transmembrane receptors from the ER to the plasma membrane. SAP97's function has been investigated by reducing its expression by knockout or increasing its expression heterologously. Mice in which the SAP97 gene has been knocked out die perinatally, have a cleft palate, and deficiencies in renal function. Overexpression of SAP97 in mammalian neurons leads to increased synaptic strength.

Application Notes

Optimal dilution of the SAP97 antibody should be determined by the researcher.

Immunogen

Amino acids 1-165 of human SAP97 were used as the immunogen for the SAP97 antibody.

Storage

After reconstitution, the SAP97 antibody can be stored for up to one month at 4oC. For long-term, aliquot and store at -20oC. Avoid repeated freezing and thawing.

Cross
Bulk Quote Request Form
Name*:
Organization*:
Email*:
Phone Number*:
Catalog No.*:
Comments and Specifics(amount, formulation, etc.)*:
Validation code: Captchapackage Image


Can't read the image? click here to refresh.
    *required field

Your bulk quote request has been submitted successfully!

Please contact us if you have any questions.