• Tel: 858.663.9055
  • SeparatorEmail: info@nsjbio.com
  • Tel: 858.663.9055
  • Email: info@nsjbio.com
Home >> Antibodies >> SAMD9L Antibody / Sterile alpha motif domain-containing protein 9-like

SAMD9L Antibody / Sterile alpha motif domain-containing protein 9-like (FY12110)

  Catalog No Formulation Size Price (USD)  
Image FY12110 Adding 0.2 ml of distilled water will yield a concentration of 500 ug/ml 100 ug 449
Bulk quote request
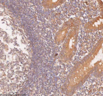
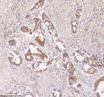
IHC analysis of SAMD9L using anti-SAMD9L antibody. SAMD9L was detected in a paraffin-embedded section of human appendiceal carcinoid tissue. Heat mediated antigen retrieval was performed in EDTA buffer (pH 8.0, epitope retrieval solution). The tissue section was blocked with 10% goat serum. The tissue section was then incubated with 2 ug/ml rabbit anti-SAMD9L antibody overnight at 4oC. Peroxidase Conjugated Goat Anti-rabbit IgG was used as secondary antibody and incubated for 30 minutes at 37oC. The tissue section was developed using an HRP secondary and DAB substrate.
Western blot analysis of SAMD9L using anti-SAMD9L antibody. Lane 1: human U251 whole cell lysates. After electrophoresis, proteins were transferred to a nitrocellulose membrane at 150 mA for 50-90 minutes. Blocked the membrane with 5% non-fat milk/TBS for 1.5 hour at RT. The membrane was incubated with rabbit anti-SAMD9L antibody at 0.5 ug/ml overnight at 4oC, then washed with TBS-0.1%Tween 3 times with 5 minutes each and probed with a goat anti-rabbit IgG-HRP secondary antibody at a dilution of 1:5000 for 1.5 hour at RT. The signal was developed using enhanced chemiluminescent. The expected band size for SAMD9L is at 185 kDa but the protein is often observed as a slightly larger doublet due to various states of phosphorylation.
IHC analysis of SAMD9L using anti-SAMD9L antibody. SAMD9L was detected in a paraffin-embedded section of human appendiceal carcinoid tissue. Heat mediated antigen retrieval was performed in EDTA buffer (pH 8.0, epitope retrieval solution). The tissue section was blocked with 10% goat serum. The tissue section was then incubated with 2 ug/ml rabbit anti-SAMD9L antibody overnight at 4oC. Peroxidase Conjugated Goat Anti-rabbit IgG was used as secondary antibody and incubated for 30 minutes at 37oC. The tissue section was developed using an HRP secondary and DAB substrate.
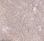
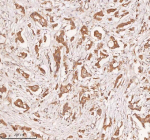
IHC analysis of SAMD9L using anti-SAMD9L antibody. SAMD9L was detected in a paraffin-embedded section of human breast cancer tissue. Heat mediated antigen retrieval was performed in EDTA buffer (pH 8.0, epitope retrieval solution). The tissue section was blocked with 10% goat serum. The tissue section was then incubated with 2 ug/ml rabbit anti-SAMD9L antibody overnight at 4oC. Peroxidase Conjugated Goat Anti-rabbit IgG was used as secondary antibody and incubated for 30 minutes at 37oC. The tissue section was developed using an HRP secondary and DAB substrate.
IHC analysis of SAMD9L using anti-SAMD9L antibody. SAMD9L was detected in a paraffin-embedded section of human breast cancer tissue. Heat mediated antigen retrieval was performed in EDTA buffer (pH 8.0, epitope retrieval solution). The tissue section was blocked with 10% goat serum. The tissue section was then incubated with 2 ug/ml rabbit anti-SAMD9L antibody overnight at 4oC. Peroxidase Conjugated Goat Anti-rabbit IgG was used as secondary antibody and incubated for 30 minutes at 37oC. The tissue section was developed using an HRP secondary and DAB substrate.
IHC analysis of SAMD9L using anti-SAMD9L antibody. SAMD9L was detected in a paraffin-embedded section of human cervix squamous cell carcinoma tissue. Heat mediated antigen retrieval was performed in EDTA buffer (pH 8.0, epitope retrieval solution). The tissue section was blocked with 10% goat serum. The tissue section was then incubated with 2 ug/ml rabbit anti-SAMD9L antibody overnight at 4oC. Peroxidase Conjugated Goat Anti-rabbit IgG was used as secondary antibody and incubated for 30 minutes at 37oC. The tissue section was developed using an HRP secondary and DAB substrate.
IHC analysis of SAMD9L using anti-SAMD9L antibody. SAMD9L was detected in a paraffin-embedded section of human cervix squamous cell carcinoma tissue. Heat mediated antigen retrieval was performed in EDTA buffer (pH 8.0, epitope retrieval solution). The tissue section was blocked with 10% goat serum. The tissue section was then incubated with 2 ug/ml rabbit anti-SAMD9L antibody overnight at 4oC. Peroxidase Conjugated Goat Anti-rabbit IgG was used as secondary antibody and incubated for 30 minutes at 37oC. The tissue section was developed using an HRP secondary and DAB substrate.
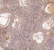
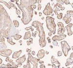
IHC analysis of SAMD9L using anti-SAMD9L antibody. SAMD9L was detected in a paraffin-embedded section of human placenta tissue. Heat mediated antigen retrieval was performed in EDTA buffer (pH 8.0, epitope retrieval solution). The tissue section was blocked with 10% goat serum. The tissue section was then incubated with 2 ug/ml rabbit anti-SAMD9L antibody overnight at 4oC. Peroxidase Conjugated Goat Anti-rabbit IgG was used as secondary antibody and incubated for 30 minutes at 37oC. The tissue section was developed using an HRP secondary and DAB substrate.
IHC analysis of SAMD9L using anti-SAMD9L antibody. SAMD9L was detected in a paraffin-embedded section of human placenta tissue. Heat mediated antigen retrieval was performed in EDTA buffer (pH 8.0, epitope retrieval solution). The tissue section was blocked with 10% goat serum. The tissue section was then incubated with 2 ug/ml rabbit anti-SAMD9L antibody overnight at 4oC. Peroxidase Conjugated Goat Anti-rabbit IgG was used as secondary antibody and incubated for 30 minutes at 37oC. The tissue section was developed using an HRP secondary and DAB substrate.
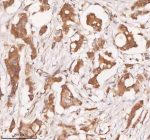
IHC analysis of SAMD9L using anti-SAMD9L antibody. SAMD9L was detected in a paraffin-embedded section of human rectum adenocarcinoma tissue. Heat mediated antigen retrieval was performed in EDTA buffer (pH 8.0, epitope retrieval solution). The tissue section was blocked with 10% goat serum. The tissue section was then incubated with 2 ug/ml rabbit anti-SAMD9L antibody overnight at 4oC. Peroxidase Conjugated Goat Anti-rabbit IgG was used as secondary antibody and incubated for 30 minutes at 37oC. The tissue section was developed using an HRP secondary and DAB substrate.
IHC staining of FFPE human spleen tissue with SAMD9L antibody, HRP-secondary and DAB substrate. HIER: boil tissue sections in pH8 EDTA for 20 min and allow to cool before testing.
IHC staining of FFPE human testicular seminoma tissue with SAMD9L antibody, HRP-secondary and DAB substrate. HIER: boil tissue sections in pH8 EDTA for 20 min and allow to cool before testing.
Immunofluorescent staining of FFPE human placental tissue with SAMD9L antibody (red) and DAPI nuclear stain (blue). HIER: steam section in pH8 EDTA buffer for 20 min.
Flow cytometry testing of fixed and permeabilized human U251 cells with SAMD9L antibody at 1ug/million cells (blocked with goat sera); Red=cells alone, Green=isotype control, Blue= SAMD9L antibody.
Availability 1-2 days
Species Reactivity Human
Format Lyophilized
Host Rabbit
Clonality Polyclonal (rabbit origin)
Isotype Rabbit IgG
Purity Immunogen affinity purified
Buffer Each vial contains 4 mg Trehalose, 0.9 mg NaCl, 0.2 mg Na2HPO4.
UniProt Q8IVG5
Localization Membrane, cytoplasm
Applications ELISA : 0.1-0.5ug/ml
Immunofluorescence : 5ug/ml
Immunohistochemistry : 2-5ug/ml
Western Blot : 0.25-0.5ug/ml
Flow Cytometry : 1-3ug/million cells
Limitations This SAMD9L antibody is available for research use only.
Review this product on BioCompare and get a $20 Amazon gift card

Description

SAMD9L antibody recognizes Sterile alpha motif domain-containing protein 9-like, encoded by the SAMD9L gene on chromosome 7q21.2. This protein belongs to a family of interferon-inducible proteins involved in innate immunity, cell proliferation regulation, and antiviral defense. SAMD9L contains a sterile alpha motif (SAM) domain that facilitates protein-protein interactions important for cellular signaling and homeostasis. Functional studies have demonstrated that SAMD9L suppresses cell growth and exerts antiviral activity by restricting viral replication within host cells. Pathogenic mutations in SAMD9L have been associated with myelodysplastic syndromes, ataxia-pancytopenia syndrome, and bone marrow failure. Germline mutations can predispose individuals to hematologic malignancies by impairing normal hematopoiesis. Somatic alterations and copy number changes in SAMD9L are also detected in myeloid neoplasms, suggesting a tumor suppressor function. The protein has also been studied in relation to interferon signaling, with increased expression observed following viral infection or inflammatory stimuli. The study of SAMD9L is important for understanding both immune defense and cancer biology. In cellular models, overexpression of SAMD9L inhibits cell proliferation, while knockdown promotes unchecked cell growth, reinforcing its tumor suppressive role. Additionally, SAMD9L mutations contribute to syndromes marked by cerebellar ataxia, pancytopenia, and predisposition to leukemia. This dual role in host defense and growth suppression underscores its biomedical importance. Tools such as SAMD9L antibody are essential for mapping protein expression in bone marrow, peripheral blood, and disease models, and for validating mechanistic insights into immune response pathways. SAMD9L antibodies have been used in western blot and immunohistochemical assays to detect expression changes in patient samples and experimental systems. The ability to track expression changes during interferon treatment or viral infection provides a window into its dynamic role in host-pathogen interactions. Given its links to immune defense and hematological disease, SAMD9L remains an active area of translational research, with implications for both diagnostic and therapeutic strategies.

Application Notes

Optimal dilution of the SAMD9L antibody should be determined by the researcher.

Immunogen

E.coli-derived human SAMD9L recombinant protein (Position: L1223-R1557) was used as the immunogen for the SAMD9L antibody.

Storage

After reconstitution, the SAMD9L antibody can be stored for up to one month at 4oC. For long-term, aliquot and store at -20oC. Avoid repeated freezing and thawing.

Cross
Bulk Quote Request Form
Name*:
Organization*:
Email*:
Phone Number*:
Catalog No.*:
Comments and Specifics(amount, formulation, etc.)*:
Validation code: Captchapackage Image


Can't read the image? click here to refresh.
    *required field

Your bulk quote request has been submitted successfully!

Please contact us if you have any questions.