• Tel: 858.663.9055
  • SeparatorEmail: info@nsjbio.com
  • Tel: 858.663.9055
  • Email: info@nsjbio.com
Home >> Antibodies >> SALL4 Antibody / ZNF797

SALL4 Antibody / ZNF797 [clone SALL4/7301] (V4047)

  Catalog No Formulation Size Price (USD)  
Image V4047-100UG 0.2 mg/ml in 1X PBS with 0.1 mg/ml BSA (US sourced), 0.05% sodium azide 100 ug 559
Image
V4047-20UG 0.2 mg/ml in 1X PBS with 0.1 mg/ml BSA (US sourced), 0.05% sodium azide 20 ug 259
Image
V4047SAF-100UG 1 mg/ml in 1X PBS; BSA free, sodium azide free 100 ug 559
Bulk quote request
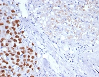
Immunohistochemistry analysis of SALL4 / ZNF797 antibody (clone SALL4/7301) in human pancreas tissue. FFPE human pancreas sections show nuclear HRP-DAB brown staining in a subset of epithelial cells, while surrounding stromal elements demonstrate minimal to no specific signal. The staining pattern is predominantly nuclear, consistent with the expected localization of Sal-like protein 4 as a zinc finger transcription factor. Background staining is low, and cellular morphology is well preserved. The negative control inset, in which PBS was used instead of primary antibody, shows absence of brown chromogenic signal, confirming specificity of primary antibody binding. Heat-induced epitope retrieval was performed by boiling tissue sections in pH 9 10mM Tris with 1mM EDTA for 20 min followed by cooling prior to immunostaining.
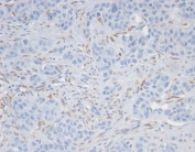
IHC staining of FFPE human kidney cancer tissue with SALL4 antibody (clone SALL4/7301). HIER: boil tissue sections in pH 9 10mM Tris with 1mM EDTA for 20 min and allow to cool before testing.
Availability 1-3 business days
Species Reactivity Human
Format Purified
Host Mouse
Clonality Monoclonal (mouse origin)
Isotype Mouse IgG1, kappa
Clone Name SALL4/7301
Purity Protein A/G affinity
UniProt Q9UJQ4
Localization Nucleus
Applications Immunohistochemistry (FFPE) : 1-2ug/ml
Limitations This SALL4 antibody is available for research use only.
Review this product on BioCompare and get a $20 Amazon gift card

Related Products

Description

SALL4 antibody, also known as Sal-like protein 4 antibody, recognizes a zinc finger transcription factor encoded by the SALL4 gene that is frequently referred to as ZNF797 in genomic databases. SALL4 is a nuclear protein belonging to the Spalt-like family of C2H2 zinc finger transcription factors and plays a central role in embryonic stem cell maintenance, pluripotency regulation, and early developmental patterning. The SALL4 gene is located on chromosome 20q13 and produces multiple isoforms through alternative splicing, with isoform-specific differences in transcriptional regulatory activity. SALL4 antibody is widely used in research and diagnostic pathology to evaluate stem cell-associated signaling pathways and oncofetal protein expression patterns.

SALL4 functions primarily in the nucleus, where it interacts with chromatin remodeling complexes and transcriptional regulators to control gene expression programs linked to self-renewal and differentiation. It forms regulatory networks with OCT4, NANOG, and other pluripotency factors, reinforcing stem-like transcriptional states. During embryogenesis, SALL4 expression is high in early progenitor populations and declines with terminal differentiation. In adult tissues, expression is generally low or absent, but it can be reactivated in certain malignancies, particularly germ cell tumors and subsets of hematologic and solid tumors. Because of this restricted normal tissue distribution and re-expression in cancer, SALL4 antibody is commonly utilized as a marker of germ cell lineage and embryonal differentiation in research settings.

ZNF797 is an alternate designation sometimes encountered in genomic and transcript annotation resources, reflecting its classification as a zinc finger protein. However, SALL4 remains the most widely used functional name in the literature. Structurally, the protein contains multiple zinc finger domains that mediate DNA binding and protein-protein interactions, enabling transcriptional repression or activation depending on cellular context. SALL4 participates in epigenetic regulation through recruitment of histone-modifying complexes, thereby influencing chromatin accessibility and developmental gene expression programs.

Aberrant SALL4 expression has been implicated in tumor progression, stemness maintenance, and resistance to differentiation signals. Studies suggest roles in leukemogenesis and in the pathogenesis of hepatocellular carcinoma and other epithelial malignancies. A SALL4 antibody is suitable for detecting nuclear SALL4 expression in cell lines, tissue sections, and other experimental systems investigating stem cell biology, developmental pathways, and cancer-associated transcriptional reprogramming.

Application Notes

Optimal dilution of the SALL4 antibody should be determined by the researcher.

Immunogen

A portion of amino acids 1-185 from the human protein was used as the immunogen for the SALL4 antibody.

Storage

Aliquot the SALL4 antibody and store frozen at -20oC or colder. Avoid repeated freeze-thaw cycles.

Cross
Bulk Quote Request Form
Name*:
Organization*:
Email*:
Phone Number*:
Catalog No.*:
Comments and Specifics(amount, formulation, etc.)*:
Validation code: Captchapackage Image


Can't read the image? click here to refresh.
    *required field

Your bulk quote request has been submitted successfully!

Please contact us if you have any questions.